相关产品推荐更多 >
万千商家帮你免费找货
0 人在求购买到急需产品
- 详细信息
- 文献和实验
- 技术资料
- 免疫原:
Semi-Purified human mitochondrial preparation
- 亚型:
IgG
- 形态:
Liquid
- 保存条件:
Store as concentrated solution. Centrifuge briefly prior to opening vial. Store at 4ºC.
- 克隆性:
Monoclonal
- 标记物:
Unconjugated
- 适应物种:
Human
- 保质期:
12 months from the shipping date of the product.
- 抗原来源:
Human
- 目录编号:
GTX02767
- 级别:
Primary Antibodies
- 库存:
Available
- 供应商:
GeneTex
- 宿主:
Rabbit
- 应用范围:
IHC-P
- 浓度:
200 μg/ml (Please refer to the vial label for the specific concentration.)
- 靶点:
This antibody recognizes a 60kDa antigen associated with the mitochondria in human cells.,We do not recommend use of this product for Mouse,Rat.
- 抗体英文名:
Mitochondria antibody [MTC02/2860R]
- 抗体名:
Mitochondria 抗体 [MTC02/2860R]
- 规格:
100 μg
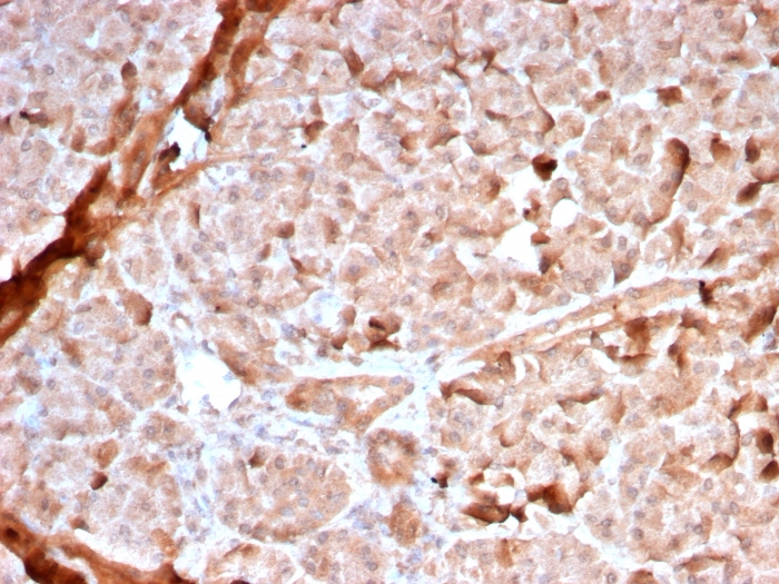
IHC-P analysis of human pancreas tissue section using GTX02767 Mitochondria antibody [MTC02/2860R].
风险提示:丁香通仅作为第三方平台,为商家信息发布提供平台空间。用户咨询产品时请注意保护个人信息及财产安全,合理判断,谨慎选购商品,商家和用户对交易行为负责。对于医疗器械类产品,请先查证核实企业经营资质和医疗器械产品注册证情况。
文献和实验secondary antibody review -- data from 99 publications
cytometry used as a control to detect cell responses targeted antigen 7 Alexa Fluor 488 7 Cy3 8 goat IgG Alexa Fluor 488 1:2000 detect antibody binding in human embryonic kidney 293T cells Invitrogen 9 donkey
抗子宫内膜抗体(endomethal antibody,EMAb)检测
01mol/LPBS封闭,45℃温育1h,洗涤后加1:2稀释的待测血清,45℃1h后洗涤,加底物(OPD-H2 02 )溶液,于37%避光反应5~15min,加H2 S04 终止反应后,测492nm波长吸光度(A)值。以A值的X十2S为正常上限,大于或等于上限者为阳性。 3.临床意义 正常妇女由于经血逆流人腹腔对免疫系统的刺激,血清中有低水平EMAb存在(阳性率3%—7%),以中年妇女的阳性率最高,闭经后EMAb水平下降
in mitochondria. O2 •– generation by ETC also induces oxidative damage with protein radical formation. Immunospin-trapping with anti-DMPO antibody and subsequent mass spectrometry are used to define the specific site of oxidative damage, indicating cysteine-206
技术资料暂无技术资料 索取技术资料





![CD63 antibody [LAMP3/968]](https://img1.dxycdn.com/2022/0328/280/1259080025599600453-14.jpg!wh200)
![NR0B2 antibody [N2C3]](https://img1.dxycdn.com/2022/0328/000/9373931951510300453-14.jpg!wh200)
![CSNK2A2 antibody [1E1]](https://img1.dxycdn.com/2022/0328/264/3037437946133500453-14.jpg!wh200)
![CDK6 antibody [DCS 83.1]](https://img1.dxycdn.com/2022/0329/242/5561920342626020453-14.jpg!wh200)

