相关产品推荐更多 >
万千商家帮你免费找货
0 人在求购买到急需产品
- 详细信息
- 文献和实验
- 技术资料
- 免疫原:
Nuclei of Burkitt's cells
- 亚型:
IgG
- 形态:
Liquid
- 保存条件:
Store as concentrated solution. Centrifuge briefly prior to opening vial. Store at 4ºC.
- 克隆性:
Monoclonal
- 标记物:
Unconjugated
- 保质期:
12 months from the shipping date of the product.
- 目录编号:
GTX02766
- 级别:
Primary Antibodies
- 库存:
Available
- 供应商:
GeneTex
- 宿主:
Rabbit
- 应用范围:
ICC/IF, IHC-P, FACS
- 浓度:
200 μg/ml (Please refer to the vial label for the specific concentration.)
- 靶点:
This antibody recognizes the double stranded DNA in human cells. It can be used to stain the nuclei in cell or tissue preparations and can be used as a nuclear marker in human cells.
- 抗体英文名:
DNA antibody [DSD/4054R]
- 抗体名:
DNA 抗体 [DSD/4054R]
- 规格:
100 μg
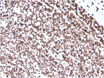
IHC-P analysis of human colon carcinoma section using GTX02766 dsDNA antibody [DSD/4054R].
IHC-P analysis of human tonsil tissue section using GTX02766 dsDNA antibody [DSD/4054R].
风险提示:丁香通仅作为第三方平台,为商家信息发布提供平台空间。用户咨询产品时请注意保护个人信息及财产安全,合理判断,谨慎选购商品,商家和用户对交易行为负责。对于医疗器械类产品,请先查证核实企业经营资质和医疗器械产品注册证情况。
文献和实验Production of Monoclonal Antibody by DNA Immunization with Electroporation
DNA immunization with in vivo electroporation is an efficient alternative protocol for the production of monoclonal antibodies (mAb). Generation of mAb by DNA immunization is a novel approach to circumvent the following technical hurdles
Antibody Screening of Bacteriophage gt11 DNA Expression Libraries
from one species, it can be used to probe cDNA libraries from other species using DNA hybridization techniques. Alternatively, degenerate oligonucleotides can be designed from amino acid sequences from regions of proteins that are conserved across species
Antibody Screening of Bacteriophage gt-11 DNA Expression Libraries
from one species, it can be used to probe cDNA libraries from other species using DNA hybridization techniques. Alternatively, degenerate oligonucleotides can be designed from amino acid sequences from regions of proteins that are conserved across species
技术资料暂无技术资料 索取技术资料





![PODXL antibody [5F5]](https://img1.dxycdn.com/2022/0328/859/9793000134692500453-14.jpg!wh200)
![PEG10 antibody [1B1C4]](https://img1.dxycdn.com/2022/0328/459/6984618467947500453-14.jpg!wh200)

![IL2 Receptor alpha antibody [MRC OX-39] (PE)](https://img1.dxycdn.com/2022/0329/275/9974217740536020453-14.gif!wh200)


