相关产品推荐更多 >
万千商家帮你免费找货
0 人在求购买到急需产品
- 详细信息
- 文献和实验
- 技术资料
- 免疫原:
Purified recombinant fragment of human ITGB1 expressed in E. Coli.
- 亚型:
IgG1
- 形态:
Liquid
- 保存条件:
Store as concentrated solution. Centrifuge briefly prior to opening vial. For short-term storage (1-2 weeks), store at 4ºC. For long-term storage, aliquot and store at -20ºC or below. Avoid multiple freeze-thaw cycles.
- 克隆性:
Monoclonal
- 标记物:
Unconjugated
- 适应物种:
Human, Monkey
- 保质期:
12 months from the shipping date of the product.
- 抗原来源:
Human
- 目录编号:
GTX60563
- 级别:
Primary Antibodies
- 库存:
Available
- 供应商:
GeneTex
- 宿主:
Mouse
- 应用范围:
WB, IHC-P, FACS, ELISA
- 浓度:
1 mg/ml (Please refer to the vial label for the specific concentration.)
- 靶点:
Integrin beta 1 / CD29
- 抗体英文名:
Integrin beta 1 / CD29 antibody [3B6]
- 抗体名:
Integrin beta 1 / CD29 抗体 [3B6]
- 规格:
100 μg
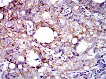
IHC-P analysis of cervical cancer tissue using GTX60563 Integrin beta 1 / CD29 antibody [3B6].
WB analysis of HeLa (1), HepG2 (2), A549 (3), Jurkat(4), L1210 (5) and Cos7 (6) cell lysate using GTX60563 Integrin beta 1 / CD29 antibody [3B6].
FACS analysis of HeLa cells using GTX60563 Integrin beta 1 / CD29 antibody [3B6].
Green : Integrin beta 1 / CD29
Red : negative control
IHC-P analysis of ovarian cancer tissue using GTX60563 Integrin beta 1 / CD29 antibody [3B6].
WB analysis of human ITGB1 (AA: 50-270) recombinant protein using GTX60563 Integrin beta 1 / CD29 antibody [3B6].
ELISA analysis of antigen using GTX60563 Integrin beta 1 / CD29 antibody [3B6].
Black : Control antigen 100ng
Purple : Antigen 10ng
Blue : Antigen 50ng
Red : Antigen 100ng
风险提示:丁香通仅作为第三方平台,为商家信息发布提供平台空间。用户咨询产品时请注意保护个人信息及财产安全,合理判断,谨慎选购商品,商家和用户对交易行为负责。对于医疗器械类产品,请先查证核实企业经营资质和医疗器械产品注册证情况。
文献和实验secondary antibody review -- data from 99 publications
cytometry used as a control to detect cell responses targeted antigen 7 Alexa Fluor 488 7 Cy3 8 goat IgG Alexa Fluor 488 1:2000 detect antibody binding in human embryonic kidney 293T cells Invitrogen 9 donkey
[资源] 所有的看家基因(housekeeping genes)列表+引物设计服务
phosphatase 2 (formerly 2A), catalytic subunit, beta isoform (PPP2CB), mRNA 1195 NM_004910 Homo sapiens phosphatidylinositol transfer protein, membrane-associated (PITPNM), mRNA 869 NM_004517 Homo sapiens integrin-linked kinase (ILK), mRNA 654 NM
【分享】Human press METHODS IN MOLECULAR BIOLOGY
Protocols Edited by Gartland, Kevan M. A., 1995 45. Monoclonal Antibody Protocols Edited by Davis, William C., 1995 46. Diagnostic Bacteriology Protocols Edited by Howard, Jenny, 1995 47. Electroporation Protocols for Microorganisms Edited
技术资料暂无技术资料 索取技术资料





![CD3 antibody [KT3] (Low endotoxin, azide free)](https://img1.dxycdn.com/2022/0328/326/7356297273704400453-14.jpg!wh200)


![Vimentin antibody [HL1506]](https://img1.dxycdn.com/2022/0815/180/5890284229010295653-14.jpg!wh200)

