相关产品推荐更多 >
万千商家帮你免费找货
0 人在求购买到急需产品
- 详细信息
- 文献和实验
- 技术资料
- 免疫原:
Recombinant human full-length CD86 protein
- 亚型:
IgG
- 形态:
Liquid
- 保存条件:
Store as concentrated solution. Centrifuge briefly prior to opening vial. Store at 4ºC.
- 克隆性:
Monoclonal
- 标记物:
Unconjugated
- 适应物种:
Human, Mouse, Rat
- 保质期:
12 months from the shipping date of the product.
- 抗原来源:
Human
- 目录编号:
GTX02615
- 级别:
Primary Antibodies
- 库存:
Available
- 供应商:
GeneTex
- 宿主:
Rabbit
- 应用范围:
WB, ICC/IF, IHC-P, FACS, ELISA
- 浓度:
200 μg/ml (Please refer to the vial label for the specific concentration.)
- 靶点:
CD86
- 抗体英文名:
CD86 antibody [C86/2160R]
- 抗体名:
CD86 抗体 [C86/2160R]
- 规格:
100 μg
WB analysis of Ramos whole cell lysate using GTX02615 CD86 antibody [C86/2160R].
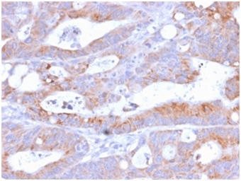
IHC-P analysis of human colon tissue section using GTX02615 CD86 antibody [C86/2160R].
FACS analysis of Ramos cells using GTX02615 CD86 antibody [C86/2160R].
Blue : Primary antibody
Red : Isotype control
ICC/IF analysis of Raji cells using GTX02615 CD86 antibody [C86/2160R].
Green : Primary antibody
Red : nuclear counterstain
风险提示:丁香通仅作为第三方平台,为商家信息发布提供平台空间。用户咨询产品时请注意保护个人信息及财产安全,合理判断,谨慎选购商品,商家和用户对交易行为负责。对于医疗器械类产品,请先查证核实企业经营资质和医疗器械产品注册证情况。
文献和实验Antibody Staining of Dissected Gonads
Antibody Staining of Dissected Gonads - From R. Francis - -Adapted by Min-Ho Lee- Antibody staining (in Tubes) 1. Using a pasteur pipette (drawn in flame and cut open), transfer worm carcasses with attached gonads
secondary antibody review -- data from 99 publications
cytometry used as a control to detect cell responses targeted antigen 7 Alexa Fluor 488 7 Cy3 8 goat IgG Alexa Fluor 488 1:2000 detect antibody binding in human embryonic kidney 293T cells Invitrogen 9 donkey
Notes on Making Rat x Y3 Monoclonal Antibody Producing Hybridomas
of one rat spleen (approx. 10**8 cells) together with 6 x 10**7 Y3/Ag1.2.3 per fusion (the other half of the spleen cells can be frozen as a backup in 90% FCS +10% DMS0). c) Try and keep all cells, PEG and medium components at 37 deg. C
技术资料暂无技术资料 索取技术资料









![beta 2 Microglobulin antibody [SPM617]](https://img1.dxycdn.com/2022/0328/544/0561605893500700453-14.jpg!wh200)
