相关产品推荐更多 >
万千商家帮你免费找货
0 人在求购买到急需产品
- 详细信息
- 文献和实验
- 技术资料
- 免疫原:
Full length recombinant human B2M protein
- 亚型:
IgG1
- 形态:
Liquid
- 保存条件:
Store as concentrated solution. Centrifuge briefly prior to opening vial. For short-term storage (1-2 weeks), store at 4ºC. For long-term storage, aliquot and store at -20ºC or below. Avoid multiple freeze-thaw cycles.
- 克隆性:
Monoclonal
- 标记物:
Unconjugated
- 适应物种:
Human, Primate
- 保质期:
12 months from the shipping date of the product.
- 抗原来源:
Human
- 目录编号:
GTX34436
- 级别:
Primary Antibodies
- 库存:
Available
- 供应商:
GeneTex
- 宿主:
Mouse
- 应用范围:
WB, ICC/IF, IHC-P, FACS
- 浓度:
0.2 mg/ml (Please refer to the vial label for the specific concentration.)
- 靶点:
beta 2 Microglobulin
- 抗体英文名:
beta 2 Microglobulin antibody [SPM617]
- 抗体名:
beta 2 Microglobulin 抗体 [SPM617]
- 规格:
100 μg
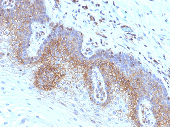
IHC-P analysis of human cervical carcinoma tissue using GTX34436 beta 2 Microglobulin antibody [SPM617].
WB analysis of THP1 and Raji cell lysates using GTX34436 beta 2 Microglobulin antibody [SPM617].
ICC/IF analysis of HeLa cells using GTX34436 beta 2 Microglobulin antibody [SPM617].
Green : Primary antibody
FACS analysis of PFA-fixed HeLa cells using GTX34436 beta 2 Microglobulin antibody [SPM617].
Blue : Primary antibody
Red : Isotype control
风险提示:丁香通仅作为第三方平台,为商家信息发布提供平台空间。用户咨询产品时请注意保护个人信息及财产安全,合理判断,谨慎选购商品,商家和用户对交易行为负责。对于医疗器械类产品,请先查证核实企业经营资质和医疗器械产品注册证情况。
文献和实验subsets, all noncovalently associated with 12 kd beta 2 microglobulin Function: restrict T cell responses to certain antigens; may mediate thymic T cell development Positive staining (normal): cortical thymocytes (70%), activated T cells
[资源] 所有的看家基因(housekeeping genes)列表+引物设计服务
of rudimentary homolog (Drosophila) (ERH), mRNA 1028 NM_004048 Homo sapiens beta-2-microglobulin (B2M), mRNA 4992 NM_000239 Homo sapiens lysozyme (renal amyloidosis) (LYZ), mRNA 796 NM_000269 Homo sapiens non-metastatic cells 1, protein (NM23A) expressed
技术资料暂无技术资料 索取技术资料









![Presenilin 2 antibody [7F8]](https://img1.dxycdn.com/2022/0328/035/3072398681489400453-14.jpg!wh200)

