相关产品推荐更多 >
万千商家帮你免费找货
0 人在求购买到急需产品
- 详细信息
- 技术资料
- 免疫原:
Recombinant protein of human ACTG1
- 亚型:
IgG
- 形态:
液体
- 保存条件:
Store at -20°C. Avoid freeze / thaw cycles.
- 克隆性:
Polyclonal Antibody
- 标记物:
Cytoplasm
- 适应物种:
Human Mouse
- 保质期:
3年;现询
- 目录编号:
K107706P
- 级别:
科研级别
- 库存:
99
- 供应商:
北京索莱宝科技有限公司
- 宿主:
Rabbit
- 应用范围:
WB IHC
- 浓度:
WB 1:1000-1:3000. IHC 1:50-200.
- 靶点:
ACTG1
- 抗体英文名:
Anti-ACTG1 Polyclonal Antibody
- 抗体名:
ACT, ACTB, ACTG, ACTG1, Actin, cytoplasmic 2, actin, gamma 1, Gamma actin
- 规格:
50ul/100ul
| 规格: | 50ul | 产品价格: | ¥960.0 |
|---|---|---|---|
| 规格: | 100ul | 产品价格: | ¥1600.0 |
Actins are highly conserved proteins that are involved in various types of cell motility, and maintenance of the cytoskeleton. In vertebrates, three main groups of actin isoforms, alpha, beta and gamma have been identified. The alpha actins are found in muscle tissues and are a major constituent of the contractile apparatus. The beta and gamma actins co-exist in most cell types as components of the cytoskeleton, and as mediators of internal cell motility. Actin, gamma 1, encoded by this gene, is a cytoplasmic actin found in non-muscle cells. Mutations in this gene are associated with DFNA20/26, a subtype of autosomal dominant non-syndromic sensorineural progressive hearing loss. Alternative splicing results in multiple transcript variants
实验图
Western blot analysis with ACTG1 antibody diluted at 1:2000;Lane: HeLa,K-562,293T,Jurkat,NIH/3T3, Mouse kidney,Mouse lung.
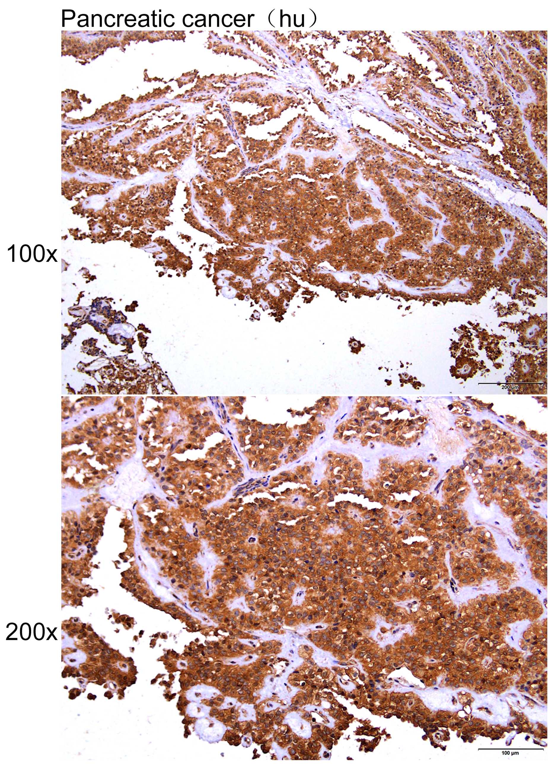
Immunohistochemistry of paraffin-embedded Human pancreatic cancer with ACTG1 antibody diluted at 1:100.
Immunohistochemistry of paraffin-embedded Human testis cancer with ACTG1 antibody diluted at 1:100.
风险提示:丁香通仅作为第三方平台,为商家信息发布提供平台空间。用户咨询产品时请注意保护个人信息及财产安全,合理判断,谨慎选购商品,商家和用户对交易行为负责。对于医疗器械类产品,请先查证核实企业经营资质和医疗器械产品注册证情况。











