万千商家帮你免费找货
0 人在求购买到急需产品
- 详细信息
- 文献和实验
- 技术资料
- 亚型:
IgG
- 形态:
说明书
- 保存条件:
Store at -20 °C
- 库存:
100
- 供应商:
上海研生
- 应用范围:
公司产品仅用于科研
- 浓度:
1mg/1ml
- 抗体英文名:
ABIN-1 Antibody
- 抗体名:
ABIN-1 Antibody
- 规格:
100 ul
a.提取的动物 Ig
b.弗氏完全佐剂和弗氏不完全佐剂
c.青霉素和链霉素
d.实验动物 兔
e.其它材料及试剂
2、选择实验活体。
3、进行动物免疫实验。
4、试取血样进行测试,查看免疫效果。
5、如果免疫成功,杀死实验活体,采集全部血清。
6、纯化出抗体。
7、鉴定抗体。胎牛血清(无菌采制)
抗体的制备过程:
1. 免疫原的制备 普通的大分子蛋白,通过分子克隆构建载体并在大肠杆菌中进行诱导表达获得重组蛋白,纯化鉴定后可直接作为免疫原。 小分子蛋白或化合物等分子量小,需要偶联载体对该分子进行改造才能使其成为具有免疫原性的抗原,常见偶联载体如BSA、OVA、HAS等。
2. 免疫动物
常用于制备抗血清的动物有豚鼠、家兔、鸡、大小鼠等,大量时需要用到狗、绵羊、山羊等。
3. 免疫血清的收集
一般家兔、绵羊、山羊可采用静动脉采血,家兔、豚鼠、大鼠、鸡可采用心脏采血,家兔、山羊、绵羊可采用静脉采血。
4. 免疫血清的纯化与鉴定
得到的抗血清需要进一步的纯化,利用偶联了抗原的亲和柱进行层析,具有高效,特异性强,纯度高的特定。接着要鉴定纯化蛋白的含量、相对分子的质量、纯度以及特异性。
5. 免疫血清的保存
建议将抗体分装后进行保存。抗体一般比较稳定,在-80℃ ~-20 ℃可以保存约5年而不会影响效价,而真空干燥保存时间可以更久。保存前需经除菌并添加防腐剂。
抗体的生活习性:
(1)结合特异性抗原:抗体与其他免疫球蛋白分子区别,就在于抗体能与相应抗原发生特异性结合,在体内导致生理或病理效应;在体外产生各种直接或间接的可见的抗原抗体结合反应。抗体是靠其分子上的特殊的结合部位与抗原结合的。
(2)激活补体:抗体与相应抗原结合后,借助暴露的补体结合点去激活补体系统、激发补体的溶菌、溶细胞等免疫作用。
(3)结合细胞:不同类别的免疫球蛋白,可结合不同种的细胞,产生不同的疚,参与免疫应答。
(4)可通过胎盘及粘膜:免疫球蛋白G(IgG)能通过胎盘进入胎儿血流中,使胎儿形成自然被动免疫。免疫球蛋白A(IgA)可通过消化道及呼吸道粘膜,是粘膜局部抗感染免疫的主要因素。
(5)具有抗原性:抗体分子是一种蛋白质,也具有刺激机体产生免疫应答的性能。不同的免疫球蛋白分子,各具有不同的抗原性。
(6)抗体对理化因子的抵抗力与一般球蛋白相同:不耐热,60~70℃即被破坏。各种酶及能使蛋白质凝固变性的物质,均能破坏抗体的作用。抗体可被中性盐类沉淀。在上常可用硫酸铵或硫酸钠从免疫血清中沉淀出含有抗体的球蛋白,再经透析法将其纯化。
一抗和二坑的区别:
第一抗体就是平常所说的抗体,即能和抗原特异性结合。 第二抗体是能和抗体结合的,即抗体的抗体。主要用于检测抗体的存在。
一抗是针对抗原的抗体,二抗是针对一抗的抗体。即抗体也可以充当抗原刺激机体产生抗体。也就是说,抗原进入机体刺激机体免疫系统产生免疫应答,由B细胞可以产生与相应抗原发生特异性结合的特殊蛋白质。
一抗二抗都是一种可以特异结合别的物质的基团,而且一抗可以至少结合两种其他基团(底物和二抗)。
一抗:可以特异结合底物,就是识别出我们想要检测的东西。一抗和底物结合与否用肉眼是看不出来的。
二抗:可以和一抗结合,并带有可以被检测出的标记(如带荧光、放射性、化学发光或显色基团),作用是检测一抗。 如果一抗自己带有可以被检测出的标记(如带荧光、放射性、化学发光或显色基团),则不需要二抗。但这样成本很高,因为一种一抗只识别一种底物。所以如今的设计一般是二抗带上可检测标记,再来检测一抗。而一抗识别底物。这样,当一抗结合到底物上,就可以通过二抗检测出来。
风险提示:丁香通仅作为第三方平台,为商家信息发布提供平台空间。用户咨询产品时请注意保护个人信息及财产安全,合理判断,谨慎选购商品,商家和用户对交易行为负责。对于医疗器械类产品,请先查证核实企业经营资质和医疗器械产品注册证情况。
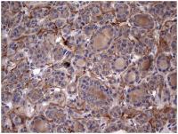
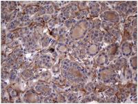
文献和实验Cellular Expression of A20 and ABIN-3 in Response to Toll-Like Receptor-4 Stimulation
levels of the NF-κB inhibitory proteins A20 and ABIN-3 in response to TLR4 stimulation by lipopolysaccharide (LPS).
Generation of Antibody Molecules Through Antibody Engineering
been overcome to a large extent using genetic-engineering techniques to produce chimeric mouse/human and completely human antibodies. Such an approach is particularly suitable because of the domain structure of the antibody molecule ( 2 ), where functional
The importance of antibody molecules was first recognized in the 1890s, when it was shown that immunity to tetanus and diphtheria was caused by antibodies against the bacterial exotoxins (1 ). Around the same time, it was shown that antisera
技术资料暂无技术资料 索取技术资料









