万千商家帮你免费找货
0 人在求购买到急需产品
- 详细信息
- 技术资料
- 库存:
大量
- 靶点:
IFT80
- 克隆性:
多克隆
- 抗原来源:
Rabbit
- 抗体英文名:
Anti-IFT80
- 抗体名:
细胞纤毛内转运同源蛋白80抗体
- 标记物:
HRP,AKP
- 宿主:
人,兔,羊,牛,狗等
- 适应物种:
Human, Mouse, Rat, Dog, Pig, Cow, Rabbit
- 免疫原:
KLH conjugated synthetic peptide derived from human IFT80
- 亚型:
IgG
- 形态:
冻干或液体
- 应用范围:
WB,ELISA,IP,ICC等
- 浓度:
1mg/1ml
- 保存条件:
-20 °C
- 规格:
0.2ml/200μg
细胞纤毛内转运同源蛋白80抗体产品简介:
英文名称 Anti-IFT80
中文名称 细胞纤毛内转运同源蛋白80抗体
别 名 ATD2; Ift80; IFT80_HUMAN; Intraflagellar transport 80 homolog (Chlamydomonas); Intraflagellar transport protein 80 homolog; KIAA1374; WD repeat domain 56; WD repeat-containing protein 56; WDR56.
浓 度 1mg/1ml
规 格 0.2ml/200μg
抗体来源 Rabbit
克隆类型 polyclonal
交叉反应 Human, Mouse, Rat, Dog, Pig, Cow, Rabbit
产品类型 一抗
研究领域 细胞生物 免疫学 转运蛋白
蛋白分子量 predicted molecular weight:
88kDa
性 状 Lyophilized or Liquid
免 疫 原 KLH conjugated synthetic peptide derived from human IFT80
亚 型 IgG
纯化方法 affinity purified by Protein A
储 存 液 Preservative: 15mM Sodium Azide, Constituents: 1% BSA, 0.01M PBS, pH 7.4
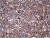
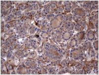
产品应用 WB=1:100-500 ELISA=1:500-1000 IP=1:20-100 IHC-P=1:100-500 IHC-F=1:100-500 ICC=1:100-500 IF=1:100-500
公司优势:
★专业营销进口或国产品牌的抗体试剂,种类齐全,数量繁多,涵盖各种生命科研项目,具体有一抗二抗,单抗多抗,标记抗体以及其他各种类型的抗体;
★服务经验丰富,我们提供标记服务,各种标本、种属、具体指标齐全,资深的专业背景和高素质的技术团队,准能让您感受到我们的专业水准;
★关于细胞纤毛内转运同源蛋白80抗体更多详情,请来电咨询!
细胞纤毛内转运同源蛋白80抗体抗体分子标记技术:
(一)原理
当应用化学氧化法时,碘化钠(NaI)遇强氧化剂,碘离子被氧化为碘分子,所生成的自由碘分子可与某些基团进行卤化反应。蛋白质分子可进行卤化反应的基团主要为酪氨酸残基,某些组氨酸残基也可能进行碘化。在应用氯胺T( Chloramine T)法的实验中,所用的氧化剂(1,3,4,6- tetrachloro-3a,6adipheny l-glucoluril)强挥发性的有机溶剂中。该溶剂加入试管后,先让其挥发(即让氧化剂将试管包被),然后把Na125I和蛋白质液加入包被好的试管中,反应完成即将混合液移入他管终止反应。
(二)准备
1.试剂
经亲和层析纯化的多克隆抗体或单克隆抗体;0.5mol/L磷酸钠缓冲液,pH7.5;无载体的Na125I3.7GBq/ml(100mCi/ml)的NaOH液;100g/L三氯醋酸;70%乙醇;新鲜制备的含2mg/m1氯络胺T的0.5mol/L磷酸钠缓冲液(pH7.5);氯胺T反应终止缓冲液;
2.仪器
凝胶过滤柱;¥-记数器;玻璃纤维滤。
(三)操作要点
1.用氯胺T法进行碘化,也可在大约pH7.0的缓冲液中进行;
2.如果氧化反应损伤蛋白质,可将抗体与异硫氰酸荧光素(FITC)偶联)胺T量减少到0.02mg/m,并将偏重亚硫酸液的浓度降到0.024mg/ml;
3. Iodogen-包被的试管可在干燥器中,于室温下保存多年;
4.1251标记的抗体,在制备后六周内均可使用(1251的半衰期为59.6天);
5.要注意保证所用的Na1251是新鲜的,陈旧制剂的比活性低;
6.酪氨酸的碘化偶尔会对抗原的抗体结合位点有干扰,因此降低其结合能力,但这种情况很少见。
公司提供:
内质网氨肽酶2 多克隆抗体 ERAP2 Polyclonal Antibody
内着丝粒蛋白 多克隆抗体 INCE Polyclonal Antibody
内收蛋白γ 多克隆抗体 Adducin γ Polyclonal Antibody
内收蛋白β 多克隆抗体 Adducin β Polyclonal Antibody
内收蛋白α/β 多克隆抗体 Adducin α/β Polyclonal Antibody
内收蛋白α/β (phospho Ser726/713) 多克隆抗体 Adducin α/β (phospho Ser726/713) Polyclonal Antibody
内切核酸酶G 多克隆抗体 NUCG Polyclonal Antibody
磷酸化混合系激酶域样 (S358) 小鼠单克隆抗体(6B4) phospho-MLKL (S358) Mouse Monoclonal Antibody(6B4)
磷酸化ERK 1/2 (Y222/205)小鼠单克隆抗体(4G3) Phospho-ERK 1/2 (Y222/205)Mouse Monoclonal Antibody(4G3)
磷酸甘油酸酯激酶2 多克隆抗体 PGK2 Polyclonal Antibody
磷酸二酯酶7A 多克隆抗体 PDE7A Polyclonal Antibody
磷酸二酯酶5A 多克隆抗体 PDE5A Polyclonal Antibody
磷酸二酯酶3B 多克隆抗体 PDE3B Polyclonal Antibody
磷酸二酯酶3A 多克隆抗体 PDE3A Polyclonal Antibody
细胞纤毛内转运同源蛋白80抗体人REST协阻抑因子3(RCOR3)ELISA试剂盒 96T/48T 免费代测
人Rho家族GTP酶1(RND1)ELISA试剂盒 96T/48T 免费代测
人S100B蛋白(S-100B)ELISA试剂盒 96T/48T 免费代测
人S100蛋白(S-100)ELISA试剂盒 96T/48T 免费代测
人S100钙结合蛋白A9/钙粒蛋白B(S100A9)ELISA试剂盒 96T/48T 免费代测
人S100钙结合蛋白A9/钙粒蛋白B(S100A9)ELISA试剂盒 96T/48T 免费代测
人多药耐药相关蛋白(MRP)ELISA试剂盒 96T/48T 免费代测
人儿茶酚胺(CA)ELISA试剂盒 96T/48T 免费代测
人二胺氧化酶(DAO)ELISA试剂盒 96T/48T 免费代测
人二级淋巴组织趋化因子(SLC/CCL21)ELISA试剂盒 96T/48T 免费代测
人二磷酸腺苷(ADP)ELISA试剂盒 96T/48T 免费代测
人二氢嘧啶酶样2(DPYSL2)ELISA试剂盒 96T/48T 免费代测
英文名称 Anti-IFT80
中文名称 细胞纤毛内转运同源蛋白80抗体
别 名 ATD2; Ift80; IFT80_HUMAN; Intraflagellar transport 80 homolog (Chlamydomonas); Intraflagellar transport protein 80 homolog; KIAA1374; WD repeat domain 56; WD repeat-containing protein 56; WDR56.
浓 度 1mg/1ml
规 格 0.2ml/200μg
抗体来源 Rabbit
克隆类型 polyclonal
交叉反应 Human, Mouse, Rat, Dog, Pig, Cow, Rabbit
产品类型 一抗
研究领域 细胞生物 免疫学 转运蛋白
蛋白分子量 predicted molecular weight:
88kDa
性 状 Lyophilized or Liquid
免 疫 原 KLH conjugated synthetic peptide derived from human IFT80
亚 型 IgG
纯化方法 affinity purified by Protein A
储 存 液 Preservative: 15mM Sodium Azide, Constituents: 1% BSA, 0.01M PBS, pH 7.4
产品应用 WB=1:100-500 ELISA=1:500-1000 IP=1:20-100 IHC-P=1:100-500 IHC-F=1:100-500 ICC=1:100-500 IF=1:100-500
公司优势:
★专业营销进口或国产品牌的抗体试剂,种类齐全,数量繁多,涵盖各种生命科研项目,具体有一抗二抗,单抗多抗,标记抗体以及其他各种类型的抗体;
★服务经验丰富,我们提供标记服务,各种标本、种属、具体指标齐全,资深的专业背景和高素质的技术团队,准能让您感受到我们的专业水准;
★关于细胞纤毛内转运同源蛋白80抗体更多详情,请来电咨询!
细胞纤毛内转运同源蛋白80抗体抗体分子标记技术:
(一)原理
当应用化学氧化法时,碘化钠(NaI)遇强氧化剂,碘离子被氧化为碘分子,所生成的自由碘分子可与某些基团进行卤化反应。蛋白质分子可进行卤化反应的基团主要为酪氨酸残基,某些组氨酸残基也可能进行碘化。在应用氯胺T( Chloramine T)法的实验中,所用的氧化剂(1,3,4,6- tetrachloro-3a,6adipheny l-glucoluril)强挥发性的有机溶剂中。该溶剂加入试管后,先让其挥发(即让氧化剂将试管包被),然后把Na125I和蛋白质液加入包被好的试管中,反应完成即将混合液移入他管终止反应。
(二)准备
1.试剂
经亲和层析纯化的多克隆抗体或单克隆抗体;0.5mol/L磷酸钠缓冲液,pH7.5;无载体的Na125I3.7GBq/ml(100mCi/ml)的NaOH液;100g/L三氯醋酸;70%乙醇;新鲜制备的含2mg/m1氯络胺T的0.5mol/L磷酸钠缓冲液(pH7.5);氯胺T反应终止缓冲液;
2.仪器
凝胶过滤柱;¥-记数器;玻璃纤维滤。
(三)操作要点
1.用氯胺T法进行碘化,也可在大约pH7.0的缓冲液中进行;
2.如果氧化反应损伤蛋白质,可将抗体与异硫氰酸荧光素(FITC)偶联)胺T量减少到0.02mg/m,并将偏重亚硫酸液的浓度降到0.024mg/ml;
3. Iodogen-包被的试管可在干燥器中,于室温下保存多年;
4.1251标记的抗体,在制备后六周内均可使用(1251的半衰期为59.6天);
5.要注意保证所用的Na1251是新鲜的,陈旧制剂的比活性低;
6.酪氨酸的碘化偶尔会对抗原的抗体结合位点有干扰,因此降低其结合能力,但这种情况很少见。
公司提供:
内质网氨肽酶2 多克隆抗体 ERAP2 Polyclonal Antibody
内着丝粒蛋白 多克隆抗体 INCE Polyclonal Antibody
内收蛋白γ 多克隆抗体 Adducin γ Polyclonal Antibody
内收蛋白β 多克隆抗体 Adducin β Polyclonal Antibody
内收蛋白α/β 多克隆抗体 Adducin α/β Polyclonal Antibody
内收蛋白α/β (phospho Ser726/713) 多克隆抗体 Adducin α/β (phospho Ser726/713) Polyclonal Antibody
内切核酸酶G 多克隆抗体 NUCG Polyclonal Antibody
磷酸化混合系激酶域样 (S358) 小鼠单克隆抗体(6B4) phospho-MLKL (S358) Mouse Monoclonal Antibody(6B4)
磷酸化ERK 1/2 (Y222/205)小鼠单克隆抗体(4G3) Phospho-ERK 1/2 (Y222/205)Mouse Monoclonal Antibody(4G3)
磷酸甘油酸酯激酶2 多克隆抗体 PGK2 Polyclonal Antibody
磷酸二酯酶7A 多克隆抗体 PDE7A Polyclonal Antibody
磷酸二酯酶5A 多克隆抗体 PDE5A Polyclonal Antibody
磷酸二酯酶3B 多克隆抗体 PDE3B Polyclonal Antibody
磷酸二酯酶3A 多克隆抗体 PDE3A Polyclonal Antibody
细胞纤毛内转运同源蛋白80抗体人REST协阻抑因子3(RCOR3)ELISA试剂盒 96T/48T 免费代测
人Rho家族GTP酶1(RND1)ELISA试剂盒 96T/48T 免费代测
人S100B蛋白(S-100B)ELISA试剂盒 96T/48T 免费代测
人S100蛋白(S-100)ELISA试剂盒 96T/48T 免费代测
人S100钙结合蛋白A9/钙粒蛋白B(S100A9)ELISA试剂盒 96T/48T 免费代测
人S100钙结合蛋白A9/钙粒蛋白B(S100A9)ELISA试剂盒 96T/48T 免费代测
人多药耐药相关蛋白(MRP)ELISA试剂盒 96T/48T 免费代测
人儿茶酚胺(CA)ELISA试剂盒 96T/48T 免费代测
人二胺氧化酶(DAO)ELISA试剂盒 96T/48T 免费代测
人二级淋巴组织趋化因子(SLC/CCL21)ELISA试剂盒 96T/48T 免费代测
人二磷酸腺苷(ADP)ELISA试剂盒 96T/48T 免费代测
人二氢嘧啶酶样2(DPYSL2)ELISA试剂盒 96T/48T 免费代测
风险提示:丁香通仅作为第三方平台,为商家信息发布提供平台空间。用户咨询产品时请注意保护个人信息及财产安全,合理判断,谨慎选购商品,商家和用户对交易行为负责。对于医疗器械类产品,请先查证核实企业经营资质和医疗器械产品注册证情况。
技术资料暂无技术资料 索取技术资料
细胞纤毛内转运同源蛋白80抗体
询价









