相关产品推荐更多 >
万千商家帮你免费找货
0 人在求购买到急需产品
- 详细信息
- 文献和实验
- 技术资料
- 免疫原:
Recombinant human DNMT1 protein fragment (around aa 767-912).
- 亚型:
IgG2b
- 形态:
Liquid
- 保存条件:
Store as concentrated solution. Centrifuge briefly prior to opening vial. For short-term storage (1-2 weeks), store at 4ºC. For long-term storage, aliquot and store at -20ºC or below. Avoid multiple freeze-thaw cycles.
- 克隆性:
Monoclonal
- 标记物:
Unconjugated
- 适应物种:
Human
- 保质期:
12 months from the shipping date of the product.
- 抗原来源:
Human
- 目录编号:
GTX02546
- 级别:
Primary Antibodies
- 库存:
Available
- 供应商:
GeneTex
- 宿主:
Mouse
- 应用范围:
IHC-P
- 浓度:
0.2 mg/ml (Please refer to the vial label for the specific concentration.)
- 靶点:
DNMT1
- 抗体英文名:
DNMT1 antibody [DNMT1/2061]
- 抗体名:
DNMT1 抗体 [DNMT1/2061]
- 规格:
100 μg
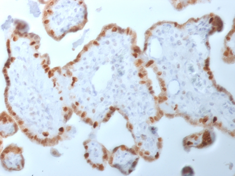
IHC-P anaylsis of human placenta tissue using GTX02546 DNMT1 antibody [DNMT1/2061].
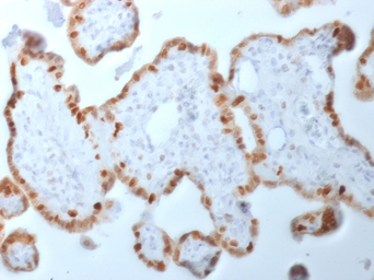
IHC-P anaylsis of human tonsil tissue using GTX02546 DNMT1 antibody [DNMT1/2061].
风险提示:丁香通仅作为第三方平台,为商家信息发布提供平台空间。用户咨询产品时请注意保护个人信息及财产安全,合理判断,谨慎选购商品,商家和用户对交易行为负责。对于医疗器械类产品,请先查证核实企业经营资质和医疗器械产品注册证情况。
文献和实验Quantitative immunoprecipitation of GFP-fusion proteins using the GFP-Trap
) (Abcam, Cambridge, UK; Sigma, St. Louis, USA.; Roche, Mannheim, Germany). We recently generated a GFP-binding protein (GBP) based on a single domain antibody derived from Lama alpaca (Rothbauer et al., 2008). This GFP-binding protein is characterized
物,引起基因组甲基化不足,导致游离DNMT1错误靶向CPG岛,反过来,基因组甲基化不足,引起DNMT1表达增加,更增加CPG岛的超甲基化。(三)甲基化下游因素的参与DNA甲基化和染色质结构变化之间存在一种环状反馈关系,DNA甲基化使染色质失活,反过来染色质失活导致DNA超甲基化,这提示改变染色质结构的因素也可引起甲基化状态的改变。已知ATRX基因与人ATRX综合征(X连锁的地中海贫血和精神呆滞)有关,ATRX基因的突变可引起整体甲基化的不同程度变化[10]。ATRX蛋白与染色质重定型
质中也能发挥抑制肿瘤的功能。这一发现可以帮助科学家更好地了解肿瘤细胞是如何被破坏的,有助于未来各种癌症治疗方法的开发[1]。 3.静默的基因DNA甲基化的现象 约翰霍普金斯大学医学院Bert Vogelstein教授在4月的《自然》月刊上发表了新的研究结果,在大肠癌细胞株HCT116中,抑癌基因受到 DNA甲基化的影响而失去表达。如果将细胞内负责DNA甲基化的酶 DNMT1与DNMT3b一同剔除(knockout),p16、p21等抑癌基因才能表现抑制癌细胞生长。如果只剔除DNMT1
技术资料暂无技术资料 索取技术资料











