相关产品推荐更多 >
万千商家帮你免费找货
0 人在求购买到急需产品
- 详细信息
- 文献和实验
- 技术资料
- 免疫原:
A synthesized peptide derived from human SMO, corresponding to a region within N-terminal amino acids.
- 亚型:
IgG
- 形态:
Liquid
- 保存条件:
Store as concentrated solution. Centrifuge briefly prior to opening vial. For short-term storage (1-2 weeks), store at 4ºC. For long-term storage, aliquot and store at -20ºC or below. Avoid multiple freeze-thaw cycles.
- 克隆性:
Polyclonal
- 标记物:
Unconjugated
- 适应物种:
Human, Mouse, Rat
- 保质期:
12 months from the shipping date of the product.
- 抗原来源:
Human
- 目录编号:
GTX02530
- 级别:
Primary Antibodies
- 库存:
Available
- 供应商:
GeneTex
- 宿主:
Rabbit
- 应用范围:
WB, ICC/IF, IHC-P
- 浓度:
1 mg/ml (Please refer to the vial label for the specific concentration.)
- 靶点:
Smoothened homolog
- 抗体英文名:
Smoothened homolog antibody
- 抗体名:
Smoothened homolog 抗体
- 规格:
100 μl
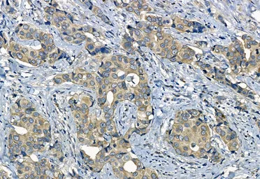
IHC-P analysis of human colorectal cancer tissue using GTX02530 Smoothened homolog antibody.
Antigen retrieval : Heat mediated antigen retrieval step in citrate buffer was performed.
Dilution : 1:100
ICC/IF analysis of PFA-fixed HUVEC cells using GTX02530 Smoothened homolog antibody.
Permeabilization : 0.1% Triton X-100
Dilution : 1:200
WB analysis of extracts from HUVEC cells using GTX02530 SMO antibody. The lane on the left was treated with the antigen-specific peptide.
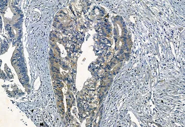
IHC-P analysis of human mammary cancer tissue using GTX02530 Smoothened homolog antibody.
Antigen retrieval : Heat mediated antigen retrieval step in citrate buffer was performed.
Dilution : 1:100
IHC-P analysis of mouse spleen tissue using GTX02530 Smoothened homolog antibody.
Antigen retrieval : Heat mediated antigen retrieval step in citrate buffer was performed.
Dilution : 1:100
IHC-P analysis of rat skin tissue using GTX02530 Smoothened homolog antibody.
Antigen retrieval : Heat mediated antigen retrieval step in citrate buffer was performed.
Dilution : 1:100
风险提示:丁香通仅作为第三方平台,为商家信息发布提供平台空间。用户咨询产品时请注意保护个人信息及财产安全,合理判断,谨慎选购商品,商家和用户对交易行为负责。对于医疗器械类产品,请先查证核实企业经营资质和医疗器械产品注册证情况。
文献和实验Natalia Garcia et al., Reprod Sci 2022 (PMID:34642915)
Epitope Mapping Using Homolog-Scanning Mutagenesis
of antibody-binding sites using serial chimeric proteins of different homologs, a technique termed homolog-scanning mutagenesis (HSM), has proven to be especially useful in mapping conformational epitopes.
in cellular proliferation. Indeed, the identification of the involvement of c-mos in meiosis is an excellent example of the manner in which oocytes have proven useful for establishing gene function (1,2) . c-mos is the cellular homolog of the viral mos
populations of cells for subsequent molecular analysis. The polycomb group (PcG) protein, enhancer of zeste homolog 2 (EzH2), a methyl-transferase that plays a key role in �transcriptional gene repression, is frequently overexpressed in several malignant
技术资料暂无技术资料 索取技术资料









![S100A12 antibody [MSVA-812M] HistoMAX](https://custom.dxycdn.com/trademd/upload/pic/2013/11/12/A1383891150.jpg!small.t.1)
