相关产品推荐更多 >
万千商家帮你免费找货
0 人在求购买到急需产品
- 详细信息
- 文献和实验
- 技术资料
- 免疫原:
Purified recombinant fragment of human Osteopontin (AA: 167-314) expressed in E. Coli.
- 亚型:
IgG1
- 形态:
Liquid
- 保存条件:
Store as concentrated solution. Centrifuge briefly prior to opening vial. For short-term storage (1-2 weeks), store at 4ºC. For long-term storage, aliquot and store at -20ºC or below. Avoid multiple freeze-thaw cycles.
- 克隆性:
Monoclonal
- 标记物:
Unconjugated
- 适应物种:
Human
- 保质期:
12 months from the shipping date of the product.
- 抗原来源:
Human
- 目录编号:
GTX60672
- 级别:
Primary Antibodies
- 库存:
Available
- 供应商:
GeneTex
- 宿主:
Mouse
- 应用范围:
WB, ICC/IF, IHC-P, ELISA
- 浓度:
1 mg/ml (Please refer to the vial label for the specific concentration.)
- 靶点:
Osteopontin
- 抗体英文名:
Osteopontin antibody [7C5H12]
- 抗体名:
Osteopontin 抗体 [7C5H12]
- 规格:
100 μg
ELISA analysis of antigen using GTX60672 Osteopontin antibody [7C5H12].
Black : Control antigen 100ng
Purple : Antigen 10ng
Blue : Antigen 50ng
Red : Antigen 100ng
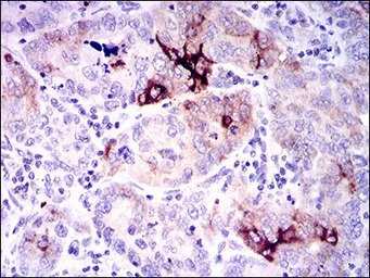
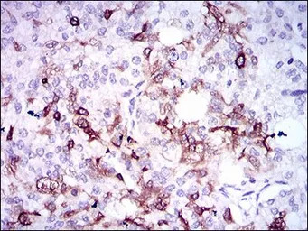
IHC-P analysis of prostate cancer tissue using GTX60672 Osteopontin antibody [7C5H12].
WB analysis of HEK293 (1) and Osteopontin (AA: 167-314)-hIgGFc transfected HEK293 (2) cell lysate using GTX60672 Osteopontin antibody [7C5H12].
IHC-P analysis of endometrial cancer tissue using GTX60672 Osteopontin antibody [7C5H12].
风险提示:丁香通仅作为第三方平台,为商家信息发布提供平台空间。用户咨询产品时请注意保护个人信息及财产安全,合理判断,谨慎选购商品,商家和用户对交易行为负责。对于医疗器械类产品,请先查证核实企业经营资质和医疗器械产品注册证情况。
文献和实验Fang Z et al., PLoS One 2013 (PMID:24023640)
Barry FP, et al. The monoclonal antibody SH-2, raised against human mesenchymal stem cells, recognizes an epitope on endoglin (CD105). Biochem.Biophys.Res
High‐Throughput, Multiplexed Analysis of 3‐Nitrotyrosine in Individual Proteins
. In addition, modifications in single?tissue?associated proteins released into blood can provide insight into the tissue localization of the inflammation or oxidative stress. We have developed an enzyme?linked immunosorbent assay antibody microarray platform
[资源] 所有的看家基因(housekeeping genes)列表+引物设计服务
NM_000175 Homo sapiens glucose phosphate isomerase (GPI), mRNA 1633 NM_001867 Homo sapiens cytochrome c oxidase subunit VIIc (COX7C), nuclear gene encoding mitochondrial protein, mRNA 3004 NM_001967 Homo sapiens eukaryotic translation initiation
技术资料暂无技术资料 索取技术资料





![GRASP1 antibody [N1N2], N-term](https://img1.dxycdn.com/2022/0328/674/0595540406024300453-14.jpg!wh200)
![N-Cadherin antibody [5D5]](https://img1.dxycdn.com/2022/0328/589/2952166490737500453-14.jpg!wh200)




