相关产品推荐更多 >
万千商家帮你免费找货
0 人在求购买到急需产品
- 详细信息
- 文献和实验
- 技术资料
- 免疫原:
Recombinant Human ASGPR1 protein
- 亚型:
IgG
- 形态:
Liquid
- 保存条件:
Store as concentrated solution. Centrifuge briefly prior to opening vial. For short-term storage (1-2 weeks), store at 4ºC. For long-term storage, aliquot and store at -20ºC or below. Avoid multiple freeze-thaw cycles.
- 克隆性:
Monoclonal
- 标记物:
Unconjugated
- 适应物种:
Human
- 保质期:
12 months from the shipping date of the product.
- 抗原来源:
Human
- 目录编号:
GTX02021
- 级别:
Primary Antibodies
- 库存:
Available
- 供应商:
GeneTex
- 宿主:
Rabbit
- 应用范围:
IHC-P
- 浓度:
Batch dependent (Please refer to the vial label for the specific concentration.)
- 靶点:
ASGPR1
- 抗体英文名:
ASGPR1 antibody [011]
- 抗体名:
ASGPR1 抗体 [011]
- 规格:
100 μl
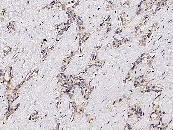
IHC-P analysis of human hepatoma tissue section using GTX02021 ASGPR1 antibody [011].
Dilution : 1:200
IHC-P analysis of human cirrhosis tissue section using GTX02021 ASGPR1 antibody [011].
Dilution : 1:200
风险提示:丁香通仅作为第三方平台,为商家信息发布提供平台空间。用户咨询产品时请注意保护个人信息及财产安全,合理判断,谨慎选购商品,商家和用户对交易行为负责。对于医疗器械类产品,请先查证核实企业经营资质和医疗器械产品注册证情况。
文献和实验AntibodyDrug Conjugate (ADC) Clinical Pipeline: A Review
game, requiring thoughtful combination of antibody, linker, and drugs in the context of a target and a defined cancer indication. Lessons learned from the first-generation antibody–drug conjugate (ADC) and improvement of the technology guided the design
confirmation. A. Protein microarray hybridization with 8F1. The OriGene overexpression protein microarray chip was immunostained with the most commonly used 8F1 monoclonal anti-ERCC1 antibody. The positive reactive proteins are highlighted with red arrows
Sequential RNA and DNA fluorescence in situ hybridization
with 1XSSC 3 times for 5 minutes each at 60 °C; Incubate with 1% H2 O2 in PBS for 30 minutes at RT (comment 1); Block with 3% BSA/ 2XSSC/ 0.1% Tween 20 for 15 minutes at RT; Incubate with a fluorophore-conjugated anti-DIG antibody diluted
技术资料暂无技术资料 索取技术资料








![Strep epitope Tag antibody [HL1251]](https://img1.dxycdn.com/2022/0329/236/0639814689409020453-14.jpg!wh200)


