相关产品推荐更多 >
万千商家帮你免费找货
0 人在求购买到急需产品
- 详细信息
- 文献和实验
- 技术资料
- 免疫原:
Prokaryotic recombinant protein corresponding to 189 amino acids of the external domain of the folate receptor alpha molecule.
- 亚型:
IgG1
- 形态:
Liquid
- 保存条件:
Store as concentrated solution. Centrifuge briefly prior to opening vial. Store at 4ºC. DO NOT FREEZE.
- 克隆性:
Monoclonal
- 标记物:
Unconjugated
- 适应物种:
Human
- 保质期:
12 months from the shipping date of the product.
- 抗原来源:
Human
- 目录编号:
GTX01976
- 级别:
Primary Antibodies
- 库存:
Available
- 供应商:
GeneTex
- 宿主:
Mouse
- 应用范围:
IHC-P
- 浓度:
>67.5 μg/ml (Please refer to the vial label for the specific concentration.)
- 靶点:
Folate Receptor alpha
- 抗体英文名:
Folate Receptor alpha antibody [BN3.2]
- 抗体名:
Folate Receptor alpha 抗体 [BN3.2]
- 规格:
500 μl
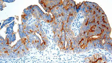
IHC-P analysis of ovarian tumor tissue using GTX01976 Folate Receptor alpha antibody [BN3.2]. Note intense cytoplasmic staining.
风险提示:丁香通仅作为第三方平台,为商家信息发布提供平台空间。用户咨询产品时请注意保护个人信息及财产安全,合理判断,谨慎选购商品,商家和用户对交易行为负责。对于医疗器械类产品,请先查证核实企业经营资质和医疗器械产品注册证情况。
文献和实验In situ hybridisation to alpha satellite sequences (chromosome specific)
Alpha satellite sequences, whilst highly repetitive, are specific to each individual chromosome. These sequences flank the centromeres and can present a target measured in megabases. In this protocol a biotin or digoxigenin labelled DNA
encephalomyelitis (EAE)—a model of multiple sclerosis (MS), collagen II (CII)-induced arthritis (CIA)—a model of rheumatoid arthritis (RA). Pathogenic T cells in EAE utilize a restricted repertoire of genes encoding the T-cell receptor (TCR) (1 ). For example
Characterization of Nuclear Receptor Ligands by Multiplexed Peptide Interactions
for each well. View Image Figure 13.6.2 Schematic representation of the multiplexed peptide–nuclear receptor interaction assay at a fixed
技术资料暂无技术资料 索取技术资料











