相关产品推荐更多 >
万千商家帮你免费找货
0 人在求购买到急需产品
- 详细信息
- 文献和实验
- 技术资料
- 免疫原:
Prokaryotic recombinant protein corresponding to the external domain of the CD4 molecule.
- 亚型:
IgG1
- 形态:
Liquid
- 保存条件:
Store as concentrated solution. Centrifuge briefly prior to opening vial. Store at 4ºC. DO NOT FREEZE.
- 克隆性:
Monoclonal
- 标记物:
Unconjugated
- 适应物种:
Human
- 保质期:
12 months from the shipping date of the product.
- 抗原来源:
Human
- 目录编号:
GTX01951
- 级别:
Primary Antibodies
- 库存:
Available
- 供应商:
GeneTex
- 宿主:
Mouse
- 应用范围:
IHC-P
- 浓度:
>405 μg/ml (Please refer to the vial label for the specific concentration.)
- 靶点:
CD4
- 抗体英文名:
CD4 antibody [4B12]
- 抗体名:
CD4 抗体 [4B12]
- 规格:
500 μl
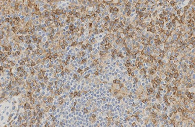
IHC-P analysis of T-Cell lymphoma tissue using GTX01951 CD4 antibody [4B12].
风险提示:丁香通仅作为第三方平台,为商家信息发布提供平台空间。用户咨询产品时请注意保护个人信息及财产安全,合理判断,谨慎选购商品,商家和用户对交易行为负责。对于医疗器械类产品,请先查证核实企业经营资质和医疗器械产品注册证情况。
文献和实验CD4 分子 CD4 常用单克隆抗体或代号:T4,Leu3a 主要表达细胞:Tsub,Msub,Thysub T细胞 分子质量(kDa)和结构:gp55(IgSF) 功 能:与MCHn类分子结合,信号转导,HIV受体 CD4 Aka OKT4, T helper/inducer On chromosome #12p Nonpolymorphous
Purification of Immature CD4+CD8+ Thymocytes by Panning with Anti-CD8 Antibody
Most T lymphocytes of the immune system differentiate within the thymus along the CD4/CD8 developmental pathway by a highly ordered process termed thymic selection ( 1 , 2 ). The maturation status of thymocytes is commonly assessed
Assessing CD4+Helper T-Lymphocyte Responses by Lymphoproliferation
CD4+ helper T cells play a central role in the development of malaria immune responses and a large number of epitopes from the sporozoite, sexual, and asexual stage of malaria proteins have been tabulated in both mice and humans
技术资料暂无技术资料 索取技术资料





![VGLUT2 antibody [S29-29]](https://img1.dxycdn.com/2022/0328/697/3194997500380800453-14.jpg!wh200)



![UBA6 antibody [N1N3]](https://img1.dxycdn.com/2022/0328/862/7146586158071300453-14.jpg!wh200)

