相关产品推荐更多 >
万千商家帮你免费找货
0 人在求购买到急需产品
- 详细信息
- 文献和实验
- 技术资料
- 免疫原:
Prokaryotic recombinant protein corresponding to 147 amino acids of the N-terminus of the human Oct-3/4 molecule.
- 亚型:
IgG1
- 形态:
Liquid
- 保存条件:
Store as concentrated solution. Centrifuge briefly prior to opening vial. Store at 4ºC. DO NOT FREEZE.
- 克隆性:
Monoclonal
- 标记物:
Unconjugated
- 适应物种:
Human
- 保质期:
12 months from the shipping date of the product.
- 抗原来源:
Human
- 目录编号:
GTX01931
- 级别:
Primary Antibodies
- 库存:
Available
- 供应商:
GeneTex
- 宿主:
Mouse
- 应用范围:
IHC-P
- 浓度:
>69 μg/ml (Please refer to the vial label for the specific concentration.)
- 靶点:
OCT4
- 抗体英文名:
Oct4 antibody [N1NK]
- 抗体名:
Oct4 抗体 [N1NK]
- 规格:
500 μl
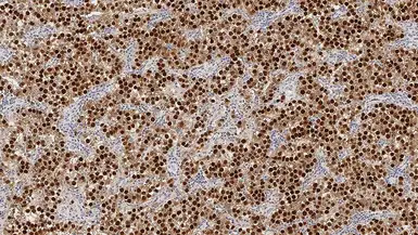
IHC-P analysis of human testes, seminoma tissue using GTX01931 Oct4 antibody [N1NK]. Note nuclear staining of neoplastic cells.
风险提示:丁香通仅作为第三方平台,为商家信息发布提供平台空间。用户咨询产品时请注意保护个人信息及财产安全,合理判断,谨慎选购商品,商家和用户对交易行为负责。对于医疗器械类产品,请先查证核实企业经营资质和医疗器械产品注册证情况。
文献和实验Assessing Licensing of NK Cells
, splenocytes are stimulated with plate-bound anti-NK1.1 monoclonal antibody in the presence of brefeldin A and then assessed for NK cell activation on a single-cell basis using intracellular cytokine interferon-γ staining and flow cytometry.
Outline : To measure NK cell killing, suitable target cells are labeled with 51 Cr, washed and incubated together with the killer cells (and treatments). Large amounts of label is released into the supernatant upon disruption
Outline : To measure NK cell killing, suitable target cells are labeled with 51 Cr, washed and incubated together with the killer cells (and treatments). Large amounts of label is released into the supernatant upon disruption
技术资料暂无技术资料 索取技术资料





![c-Jun antibody [5B1]](https://img1.dxycdn.com/2022/0328/055/7826579668992500453-14.jpg!wh200)





