相关产品推荐更多 >
万千商家帮你免费找货
0 人在求购买到急需产品
- 详细信息
- 文献和实验
- 技术资料
- 免疫原:
Prokaryotic recombinant protein corresponding to 111 amino acids of the N-terminal region of the MITF-M molecule.
- 亚型:
IgG1
- 形态:
Liquid
- 保存条件:
Store as concentrated solution. Centrifuge briefly prior to opening vial. Store at 4ºC.
- 克隆性:
Monoclonal
- 标记物:
Unconjugated
- 适应物种:
Human
- 保质期:
12 months from the shipping date of the product.
- 抗原来源:
Human
- 目录编号:
GTX01904
- 级别:
Primary Antibodies
- 库存:
Available
- 供应商:
GeneTex
- 宿主:
Mouse
- 应用范围:
IHC-P, IHC-Fr
- 浓度:
Batch dependent (Please refer to the vial label for the specific concentration.)
- 靶点:
This antibody recognizes human microphthalmia transcription factor, MITF-M isoform.
- 抗体英文名:
MITF antibody [34CA5]
- 抗体名:
MITF 抗体 [34CA5]
- 规格:
500 μl
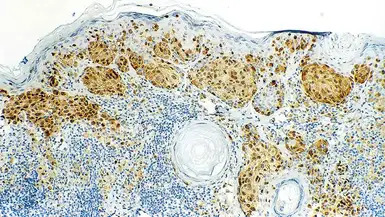
IHC-P analysis of human malignant melanoma tissue using GTX01904 MITF antibody [34CA5]. Note nuclear staining of melanoma cells.
风险提示:丁香通仅作为第三方平台,为商家信息发布提供平台空间。用户咨询产品时请注意保护个人信息及财产安全,合理判断,谨慎选购商品,商家和用户对交易行为负责。对于医疗器械类产品,请先查证核实企业经营资质和医疗器械产品注册证情况。
文献和实验Preparation of Cytotoxic Antibody-Toxin Conjugates
(1 ). Ricin and abrin are protein toxins consisting of two different polypeptide subunits, the A and B chains, which are of similar size (between 30 and 34 kDa) and are joined by a single disulfide bond. The A chain is a ribosome-inactivating protein (RIP
for 10 min at 400 x g to remove excess DETACHaBEAD. 14) Resuspend the cells in Buffer or Culture Medium. 15) The isolated cells are pure, viable and free from antibody bound to the surface, and may be used in any downstream application
secondary antibody review -- data from 99 publications
cytometry used as a control to detect cell responses targeted antigen 7 Alexa Fluor 488 7 Cy3 8 goat IgG Alexa Fluor 488 1:2000 detect antibody binding in human embryonic kidney 293T cells Invitrogen 9 donkey
技术资料暂无技术资料 索取技术资料







![YB1 antibody [rYBX1/2430]](https://img1.dxycdn.com/2022/0328/741/4836587427589700453-14.jpg!wh200)
![Desmoglein 1 antibody [MSVA-544M] HistoMAX](https://custom.dxycdn.com/trademd/upload/pic/2013/11/12/A1383891150.jpg!small.t.1)


