相关产品推荐更多 >
万千商家帮你免费找货
0 人在求购买到急需产品
- 详细信息
- 文献和实验
- 技术资料
- 免疫原:
Prokaryotic recombinant antigen corresponding to a 116 amino acid region of the N-terminus of the p57 protein.
- 亚型:
IgG1
- 形态:
Liquid
- 保存条件:
Store as concentrated solution. Centrifuge briefly prior to opening vial. Store at 4ºC. DO NOT FREEZE.
- 克隆性:
Monoclonal
- 标记物:
Unconjugated
- 适应物种:
Human
- 保质期:
12 months from the shipping date of the product.
- 抗原来源:
Human
- 目录编号:
GTX01862
- 级别:
Primary Antibodies
- 库存:
Available
- 供应商:
GeneTex
- 宿主:
Mouse
- 应用范围:
WB, IHC-P
- 浓度:
>19 μg/ml (Please refer to the vial label for the specific concentration.)
- 靶点:
p57 Kip2
- 抗体英文名:
p57 Kip2 antibody [25B2]
- 抗体名:
p57 Kip2 抗体 [25B2]
- 规格:
500 μl
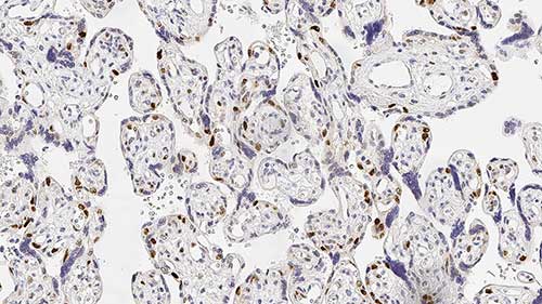
IHC-P analysis of human placenta tissue using GTX01862 p57 Kip2 antibody [25B2]. Note nuclear staining for cytotrophoblast and stromal cells of the villi.
风险提示:丁香通仅作为第三方平台,为商家信息发布提供平台空间。用户咨询产品时请注意保护个人信息及财产安全,合理判断,谨慎选购商品,商家和用户对交易行为负责。对于医疗器械类产品,请先查证核实企业经营资质和医疗器械产品注册证情况。
文献和实验Chang MC et al., Int Endod J 2021 (PMID:34420220)
In Vitro Methylation of Specific Regions in Recombinant DNA Constructs by Excision and Religation
(8 ,9 ). Moreover, analysis of imprinted gene expression in a methyltransferase knockout (Dnmt1 -/- ) mouse has shown that the imprint is lost in a number of cases, resulting in either two silent alleles (Igf2 , Igf2r and Kvlqt ) or two expressed alleles (H19 , p57 kip2
Evaluation of Alterations in the Tumor Suppressor Genes INK4A and INK4B in Human Bladder Tumors
, have been subdivided into two groups on the basis of sequence homology. The first CKI family includes p21 Cip1 (4 –6 ), p27 Kip1 (7 –9 ), and p57 Kip2 (10 ,11 ). The other CKI subgroup includes four members: p16 INK4A/MTS1/CDKN2A (12 ,13 ), p15 INK4B/MTS
细胞分化成心肌细胞和内皮细胞,并参与有功能组织的形成。而从骨骼肌分离出的SP细胞,移植后能参与重建受致死剂量放射性照射的小鼠的造血系统[14]。 第三,SP细胞对化疗药物的耐受能力很强。众所周知,HSCs一个重要特征是停滞在细胞周期的G0/G1期,处于静止状态,因此对细胞周期特异性的化疗药物不敏感。Umemoto等发现,尽管多种细胞周期蛋白和细胞周期依赖激酶(cyclin-dependent kinases Cdks)在SP细胞中表达增高,提示其有很高的增殖潜能,但是,Cdk抑制剂,尤其是p57Kip2表达增高
技术资料暂无技术资料 索取技术资料








![EP300 antibody [RW128]](https://img1.dxycdn.com/2022/0328/550/4535357342280400453-14.jpg!wh200)


