相关产品推荐更多 >
万千商家帮你免费找货
0 人在求购买到急需产品
- 详细信息
- 文献和实验
- 技术资料
F-10共焦激光扫描检眼镜产品特点:
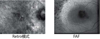
利用Retro模式和眼底自发荧光(FAF)非侵入测量获得的眼底图像。
利用不同波长光源获得不同深度的眼底图和彩色SLO眼底图。
荧光素血管造影(FA)和吲哚青绿眼底血管造影(IA)的高对比度图像。
荧光素血管造影(FA)和吲哚青绿眼底血管造影(IA)的高速录影。
增强的光学系统(反射/折射光学系统)可减少图像形变。
利用Retro模式和眼底自发荧光(FAF)非侵入测量获得的眼底图像。

Retro模式和眼底自发荧光(FAF)成像无需向患者注射针剂,即可获得优质的图像进行病理检测。
利用不同波长光源获得不同深度的眼底图和彩色SLO眼底图。
F-10拥有四个不同波长的光源,使用不同的波长共可提供4个不同深度的眼底图像,使用3个波长获得一个SLO彩色图像。

荧光素血管造影(FA)和吲哚青绿眼底血管造影(IA)的高对比度图像。

荧光素血管造影(FA)和吲哚青绿眼底血管造影(IA)的高对比度图像。二者的同步成像能够清晰观察视网膜的细节,甚至是毛细血管。
荧光素血管造影(FA)和吲哚青绿眼底血管造影(IA)的高速录影。
高帧频(最大26Hz)拍摄可提供流畅的画面来观察荧光素的流动。

增强的光学系统(反射/折射光学系统)可减少图像形变。

优化的反射/折射光学系统可拍摄无形变的图像,从而能够得到无扭曲的全景图。
F-10共焦激光扫描检眼镜产品性能结构及组成:
该产品由主机(内含激光发生器、光学系统、扫描摄像系统)、广角镜、工作台、及脚踏开关组成。
F-10共焦激光扫描检眼镜产品适用范围:
产品临床适用于眼科对患者眼底进行扫描拍摄,为诊断提供电子图像信息
风险提示:丁香通仅作为第三方平台,为商家信息发布提供平台空间。用户咨询产品时请注意保护个人信息及财产安全,合理判断,谨慎选购商品,商家和用户对交易行为负责。对于医疗器械类产品,请先查证核实企业经营资质和医疗器械产品注册证情况。
文献和实验肿瘤 F-10, 15% 马血清和2.5% 胎牛血清 BALB/3T3 成纤维细胞 小鼠 胚胎 DMEM, 10% 胎牛血清 BHK-21 成纤维细胞 仓鼠 肾 GMEM, 10% 胎牛血清 或MEM, 10% 胎牛血清 和NEAA BHL-100 上皮细胞 人 乳房 McCoy'5A, 10% 胎牛血清 BT 成纤维细胞 牛 鼻甲骨细胞 MEM, 10% 胎牛血清 和 NEAA Caco-2 上皮细胞 人 结肠腺癌 MEM, 20% 胎牛
SOLID TUMOR CULTURES FOR CHROMOSOME ANALYSIS
for identification of cultural artifacts and psuedo vs real mosaicism. B. Cultures are grown in complete Nutrient Mix F-10. Media should be fresh (less than 4 days old) and be prewarmed and at pH 7.0 - 7.5. All cultures are incubated in a wet, 5% CO2 incubator
biopsy should be taken and placed in a vial containing 8 ml of transport media (F-10, Eagle's, MEM, etc.). For cases of stillbirth, the preferred tissues are skin, fascia, kidney, and lung. The tube should be labeled with the patient's name and delivered
技术资料暂无技术资料 索取技术资料










