相关产品推荐更多 >
万千商家帮你免费找货
0 人在求购买到急需产品
- 详细信息
- 文献和实验
- 技术资料
- 英文名:
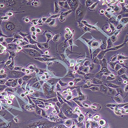
Human Kidney Cancer Cells
- 库存:
9999
- 供应商:
厦门逸漠生物科技有限公司
- 肿瘤类型:
详询
- 细胞类型:
贴壁生长
- 品系:
人源细胞系
- 组织来源:
肾细胞腺癌
- 相关疾病:
详询
- 物种来源:
详询
- 免疫类型:
详询
- 细胞形态:
上皮细胞样
- 是否是肿瘤细胞:
否
- 器官来源:
肾
- 运输方式:
复苏发货或干冰发货(顺丰快递)
- 年限:
长期
- 生长状态:
正常
一、细胞介绍
人干扰素可抑制其生长。ACHN或能用于人干扰素、干扰素诱导因子的抗肿瘤活性研究。
二、细胞特性
1) 来源:肾细胞腺癌
2) 形态:上皮细胞样
3) 含量:>1x106 个/mL
4) 污染:支原体、细菌、酵母和真菌检测为阴性
5) 规格:T25瓶或者1mL冻存管包装
三、运输和保存
可选择干冰运输及发送复苏存活细胞方式
(1)干冰运输,收到后立即转入液氮或者-80度冰箱冻存或直接复苏;
(2)存活细胞,收到后应继续生长,传代达到细胞生长状态良好时,再进行冻存。具体操作见细胞培养步骤。
(3)收到细胞后请拍照,3天内如果发现污染,请及时拍照与我们联系。
细胞用途:仅供科研使用。
四、细胞接收后的处理
1) 收到细胞后,请检查发货培养瓶的状况,若发现培养瓶破损、有液溢出及细胞有污染,请拍照后及时联系我们。
2) 在显微镜下确认细胞生长状态时,最好在低倍镜(4或5X物镜)下进行,能准确判断细胞的传代密度。看细胞的形态请在10X和20×物镜下,同时给刚收到的细胞拍照,(10×,20×)各2-3张以及培养瓶外观照片一张留存,作为细胞需要售后时提供收到细胞时细胞状态的依据。
3) 观察好细胞状态后,75%酒精消毒瓶壁将T25瓶置于37℃培养箱放置约2-3h。
4) 贴壁细胞:在运输过程中贴壁细胞会有脱落的现象,如发现贴壁细胞有脱落或者脱落后抱团生长,可将T25瓶置于37℃培养箱放置约2-3h,然后抽出瓶中的培养基和未贴壁细胞1000rpm离心5分钟,弃去上清重悬后接种到加有按照说明书细胞培养条件新配制的完全培养基的原培养瓶中(或新的培养瓶中)。
5) 悬浮细胞:T25瓶置于37℃培养箱放置约2-3h,然后抽出瓶中的培养基和细胞1000rpm离心5分钟,弃去上清重悬后接种到新的培养瓶中(加入按照说明书细胞培养条件新配制的完全培养基)。
6)备注:运输用的培养基(灌液培养基)不能再用来培养细胞,请换用按照说明书细胞培养条件新配制的完全培养基来培养细胞。 收到细胞后第一次传代建议1:2传代 。
五、细胞培养步骤
1.培养基及培养冻存条件准备:
1)准备MEM培养基;优质胎牛血清,10% ; 双抗,1%。
2)培养条件: 气相:空气,95%;二氧化碳,5%。 温度:37摄氏度,培养箱湿度为70%-80%。
3) 冻存液:90%血清,10%DMSO,现用现配。
2. 细胞处理:
1) 复苏细胞:将含有1mL细胞悬液的冻存管在37℃水浴中迅速摇晃解冻,加入4mL培养基混合均匀。在1000RPM条件下离心4分钟,弃去上清液,补加1-2mL培养基后吹匀。然后将所有细胞悬液加入培养瓶中培养过夜(或将细胞悬液加入250px皿中,加入约8ml培养基,培养过夜)。第二天换液并检查细胞密度。
2) 细胞传代:如果细胞密度达80%-90%,即可进行传代培养。
对于贴壁细胞,传代可参考以下方法:
a. 弃去培养上清,用不含钙、镁离子的PBS润洗细胞1-2次。
b. 加2ml消化液(0.25%Trypsin-0.53mM EDTA)于培养瓶中,置于37℃培养箱中消化1-2分钟,然后在显微镜下观察细胞消化情况,若细胞大部分变圆并脱落,迅速拿回操作台,轻敲几下培养瓶后加少量培养基终止消化。
c 按6-8ml/瓶补加培养基,轻轻打匀后吸出,在1000RPM条件下离心4分钟,弃去上清液,补加1-2mL培养液后吹匀。
d . 收到细胞后首次传代推荐将细胞悬液按1:2的比例分到新的含6ml培养基的新皿中或者瓶中,建议冻存一支备用,后续传代根据实际情况按1:2到1:5的比例进行。
3)细胞冻存:待细胞生长状态良好时,可进行细胞冻存。
下面T25瓶为例;
a.细胞冻存时,弃去培养基后,PBS清洗瓶底1-2次后加入1ml胰酶,细胞变圆脱落后,加入2ml完全培养基终止消化,可使用血球计数板计数。
d.1000RPM离心5分钟去掉上清。用血清重悬浮,加DMSO至最终浓度为10%。加入DMSO后迅速混匀,按每1ml的数量分配到冻存管中,注意冻存管做好标识。本公司按每个冻存管细胞数目大于1X106个细胞冻存。
c.将冻存管置于程序降温盒中,放入-80度冰箱,至少2个小时以后转入液氮灌储存。记录冻存管位置以便下次拿取。




风险提示:丁香通仅作为第三方平台,为商家信息发布提供平台空间。用户咨询产品时请注意保护个人信息及财产安全,合理判断,谨慎选购商品,商家和用户对交易行为负责。对于医疗器械类产品,请先查证核实企业经营资质和医疗器械产品注册证情况。
文献和实验-受体特异性结合的方式应用于靶向药物递送系统。短肽在各种受体介导的靶向药物递送系统中的作用受到越来越广泛的研究。 (1)蛙皮素(bombesh,BN)/胃泌素释放多肽(gastrin releasing peptide,GRP)受体介导的靶向药物递送系统:Keller等应用RT-PCR技术及放射配基结合实验对3种肾癌细胞株(A498、ACHN及786-0)进行了分析,结果表明这些细胞株的细胞膜上都有BN/GRP受体的表达。将一种蛙皮素Gln-Trp-Ala-Val-Gly-His-leu-p(CH
治愈的阶段,并且没有适当的肿瘤标记可以参考。不过在研究肾脏癌的病理组织时,发现有些蛋白质的表现在肾癌细胞中会消失,虽然还没有发现特定的标志蛋白质,不过还有许多可能与这种癌症的生成有关的蛋白质仍待鉴定。 食品生技:最近数年生技产业的突飞猛进,受到人类基因体计划成功的激励很大。以农业为例,目前全世界最热门的基因转殖食物,就是一个例子。基因转殖食品包括基因转殖微生物、粮食作物及家畜等。目前在食品领域中,利用基因转殖微生物进行生产酵素、氨基酸、维生素、香料及色素等食品添加剂已相当成熟。而在基因转
中的5000 种蛋白分离开,2DE在分离蛋白混合样品,比较差异方面有不可替代的作用,结合质谱鉴定技术可查明大型蛋白复合物各组组分。与其它生物技术如分子生物学、分子遗传工程、免疫学、微量蛋白质的自动氨基酸序列分析相结合,可以快速准确地发现和鉴定新的蛋白质。1、双向电泳技术应用过程中的关键步骤a. 样品制备(蛋白提取)(1) 细胞培养、处理和收集;(2) 将细胞在IEF裂解缓冲液中溶解;(3) 将样品离心以去除不溶的细胞碎片和DNA,提取上清,-80 ℃保存。b. 蛋白质定量和上样(1) 固相PH梯度干











