万千商家帮你免费找货
0 人在求购买到急需产品
- 详细信息
- 技术资料
- 提供商:
深圳拓普生物科技有限公司
- 服务名称:
甲状腺功能亢进动物模型
甲状腺功能亢进症(简称“甲亢”)是与遗传、精神、环境等因素有关的自身免疫性内分泌疾病,以血中甲状腺激素升高为特征,神经、心血管等系统兴奋性升高、代谢亢进和免疫系统异常为主要表现的全身性疾病。经典的造模方式有口服优甲乐和小肠结肠炎耶尔森氏菌尾静脉注射免疫造模。
观察指标
大鼠精神亢奋,相互撕咬,多饮多食,体重下降,垫料潮湿,体温升高等一般情况符合甲亢高代谢表现。FT4、FT3、TSH、TRH、甲状腺湿重、甲状腺湿重与体重比、甲状腺病理学检查等。
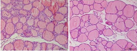
部分结果展示
Nomal Control
| 实验动物信息 | |
| 动物模型名称: | 甲状腺功能亢进动物模型 |
| 动物的种属、品系: | SD大鼠 |
| 动物性别: | ♂ |
| 动物年龄: | 6~8周龄 |
| 动物体重: | 180~220g |
观察指标
大鼠精神亢奋,相互撕咬,多饮多食,体重下降,垫料潮湿,体温升高等一般情况符合甲亢高代谢表现。FT4、FT3、TSH、TRH、甲状腺湿重、甲状腺湿重与体重比、甲状腺病理学检查等。
部分结果展示
风险提示:丁香通仅作为第三方平台,为商家信息发布提供平台空间。用户咨询产品时请注意保护个人信息及财产安全,合理判断,谨慎选购商品,商家和用户对交易行为负责。对于医疗器械类产品,请先查证核实企业经营资质和医疗器械产品注册证情况。
技术资料暂无技术资料 索取技术资料
甲状腺功能亢进动物模型
询价









