相关产品推荐更多 >
万千商家帮你免费找货
0 人在求购买到急需产品
- 详细信息
- 技术资料
- 供应商:
上海信裕生物科技有限公司
- 库存:
50
- 克隆性:
多克隆
- 抗原来源:
Rabbit
- 保质期:
一年
- 抗体英文名:
SIN3A Rabbit Polyclonal Antibody
- 抗体名:
SIN3A Rabbit Polyclonal Antibody
- 保存条件:
SIN3A Rabbit Polyclonal Antibody -20ºC保存,Western一抗稀释液-20ºC或4ºC保存,一年有效。Western一抗稀释液优先推荐4ºC保存,长期不使用可以考虑-20ºC保存,但冻融可能会导致出现轻微的浑浊和少量不溶物。
WB, Western blot; IP, Immunoprecipitation; IF, Immunofluorescence; IHC, Immunohistochemistry; ICC, Immunocytochemistry; FC, Flow Cytometry; ChIP, Chromatin Immunoprecipitation Assay; ChIP-seq, ChIP-sequencing.
H, Human; M, Mouse; R, Rat; C, Chicken; Cw, Cow; Dg, Dog; Gp, Guinea pig; Hm, Hamster; Hr, Horse; Mk, Monkey; Pg, Pig; Rb, Rabbit; S, Sheep; Z, Zebrafish; All, all species expected.
配套提供了Western一抗稀释液,可以用于Western检测或其它适当用途时的一抗稀释。
建议抗体使用时的稀释比例如下(实际使用时需根据抗原水平的高低作适当调整):
| WB | IP | IF | IHC | ICC | FC | ChIP | ChIP-seq |
| 1:500-1:2000 | - | - | 1:50-1:200 | 1:50-1:200 | - | - | - |
抗体详细信息如下::
| About this Antibody | |
| Name | SIN3A Rabbit Polyclonal Antibody |
| Category | Rabbit Polyclonal Antibody (pAb); Primary antibody |
| Isotype | IgG |
| Purification method | Affinity purification |
| Positive samples | 293T |
| Cellular location | Nucleus, nucleolus |
| Customer validation | - |
| About the Immunogen | |
| Immunogen | Recombinant fusion protein containing a sequence corresponding to amino acids 1-120 of human SIN3A (NP_056292.1). |
| Sequence | MKRRLDDQESPVYAAQQRRIPGSTEAFPHQHRVLAPAPPVYEAVSETMQSATGIQYSVTPSYQVSAMPQSSGSHGPAIAAVHSSHHHPTAVQPHGGQVVQSHAHPAPPVAPVQGQQQFQR |
| Gene ID | 25942 |
| Swiss Prot | Q96ST3 |
| Synonyms | SIN3A; WITKOS; paired amphipathic helix protein Sin3a |
| Category | Transcription Factors; Protein Acetylation; Histone Methylation; Epigenetics |
| Background | SIN3 was originally identified as a negative regulator of transcription in budding yeast. Since then, three isoforms of the SIN3 proteins have been identified in mammalian cells, as products of two different genes, SIN3A and SIN3B. Both SIN3A and SIN3B are nuclear proteins that function as scaffolding subunits for the multi-subunit SIN3 transcriptional repressor complex, containing SIN3A or SIN3B, HDAC1, HDAC2, SDS3, RBBP4/RBAP48, RBBP7/RBAP46, SAP30, and SAP18. SIN3 proteins contain four paired amphipathic alpha-helix (PAH) motifs that function in the recruitment of the SIN3 complex to target genes by binding a multitude of DNA-binding transcriptional repressor proteins, including Mad1, p53, E2F4, HCF-1, AML1, Elk-1, NRSF, CTCF, ERα, and MeCP2. In addition, SIN3 proteins contain an HDAC interaction domain (HID), which mediates binding of HDAC1 and HDAC2 via the SDS3 bridging protein, and a highly conserved region (HCR) at the carboxy terminus, which contributes to repressor protein binding. RBBP4 and RBBP7 proteins also bind to SDS3 and contribute to nucleosome binding of the complex. The SIN3 complex functions to repress transcription, in part, by deacetylating histones at target gene promoters. In addition, recent studies have shown that SIN3 is recruited to the coding regions of repressed and active genes, where it deacetylates histones and suppresses spurious transcription by RNA polymerase II. In addition to histone deacetylase activity, the SIN3 complex associates with histone methyltransferase (ESET), histone demethylase (JARID1A/RBP2), ATP-dependent chromatin remodeling (SWI/SNF), methylcytosine dioxygenase (TET1), and O-GlcNAc transferase (OGT) activities, all of which appear to contribute to the regulation of target genes. The SIN3 complex is critical for proper regulation of embryonic development, cell growth and proliferation, apoptosis, DNA replication, DNA repair, and DNA methylation (imprinting and X-chromosome inactivation). |
包装清单:
| 产品编号 | 产品名称 | 包装 |
| XY-7979 | SIN3A Rabbit Polyclonal Antibody | 50μl |
| XY-050 | Western一抗稀释液 | 50ml |
| — | 说明书 | 1份 |
保存条件:
SIN3A Rabbit Polyclonal Antibody -20ºC保存,Western一抗稀释液-20ºC或4ºC保存,一年有效。Western一抗稀释液优先推荐4ºC保存,长期不使用可以考虑-20ºC保存,但冻融可能会导致出现轻微的浑浊和少量不溶物。
注意事项:
如果本抗体用于Western blot (WB)、免疫荧光(IF)、免疫细胞化学(ICC)等实验,请注意回收使用过的稀释抗体。回收的抗体通常至少可以重复使用5-10次。稀释后的抗体,包括已经使用过的稀释抗体,请4℃保存。
回收后重复使用的抗体,使用方法同新鲜稀释的抗体。如果在重复使用过程中发现抗体出现轻微混浊现象,可以10,000g离心1-3分钟,取上清用于后续检测。如果回收的抗体出现明显的絮状物或长霉长菌等情况,则可以考虑废弃该抗体。
提供的Western一抗稀释液也可以用于免疫荧光(IF)、免疫组化(IHC)、免疫细胞化学(ICC)等适当用途。如果希望获得最佳的检测效果,请考虑使用上述检测专用的一抗稀释液。
本产品仅限于专业人员的科学研究用,不得用于临床诊断或治疗,不得用于食品或药品,不得存放于普通住宅内。
为了您的安全和健康,请穿实验服并戴一次性手套操作。
使用说明:
请根据抗体的实际用途选择相应的使用方法。
1. Western检测:
a. 按照推荐的稀释比例用信裕生物提供的Western一抗稀释液稀释抗体。
b. 把经过封闭的蛋白膜与稀释好的一抗4℃缓慢摇动过夜或室温缓慢摇动2小时,确保稀释的抗体至少能在摇动的瞬间覆盖蛋白膜。
c. 回收稀释的一抗,4℃保存以备下次继续使用。
d. 按照Western的实验步骤进行后续的洗涤、二抗孵育、洗涤和检测等操作。
2. 免疫染色:
可以使用信裕生物生产的免疫染色一抗稀释液(P0103)稀释抗体,使用后注意回收稀释好的一抗
3. 其它实验操作请自行参考适当的protocol进行。
4. 代表性图片:
![]() |
![]() |
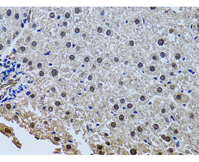
| Fig. 1. Western blot analysis of extracts of 293T cells, using SIN3A antibody at 1:1000 dilution. Secondary antibody: HRP-labeled Goat Anti-Rabbit IgG(H+L) (A0208) at 1:10000 dilution. Lysates/proteins:25µg per lane. Blocking buffer: QuickBlock™ Blocking Buffer (P0231) Detection: ECL Enhanced Kit. Exposure time:1s. | Fig. 2. Immunohistochemistry of paraffin-embedded rat liver using SIN3A antibody at dilution of 1:100 (40x lens). |
![]() |
![]() |
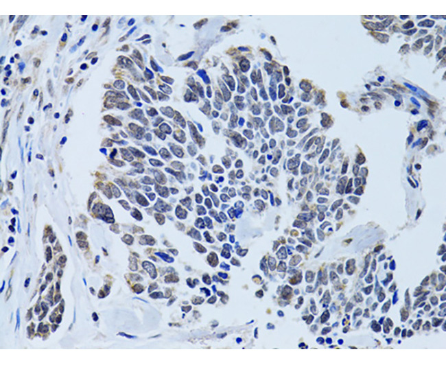
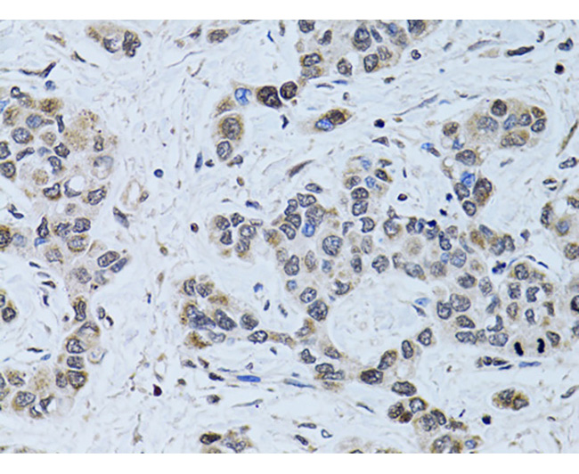
| Fig. 3. Immunohistochemistry of paraffin-embedded human lung cancer using SIN3A antibody at dilution of 1:100 (40x lens). | Fig. 4. Immunohistochemistry of paraffin-embedded human liver cancer using SIN3A antibody at dilution of 1:100 (40x lens). |
风险提示:丁香通仅作为第三方平台,为商家信息发布提供平台空间。用户咨询产品时请注意保护个人信息及财产安全,合理判断,谨慎选购商品,商家和用户对交易行为负责。对于医疗器械类产品,请先查证核实企业经营资质和医疗器械产品注册证情况。
技术资料暂无技术资料 索取技术资料










