相关产品推荐更多 >
万千商家帮你免费找货
0 人在求购买到急需产品
- 详细信息
- 文献和实验
- 技术资料
- 英文名:
SV-HUC-1,HUC-1; SV-HUC; SVHUC
- 库存:
1×10^6
- 供应商:
澳音生物
- 肿瘤类型:
SV-HUC-1[HUC-1; SV-HUC; SVHUC]人输尿管上皮细胞
- 细胞类型:
上皮细胞
- 品系:
--
- 组织来源:
尿路,输尿管
- 相关疾病:
SV-HUC-1[HUC-1; SV-HUC; SVHUC]输尿管上皮细胞
- 物种来源:
--
- 免疫类型:
SV-HUC-1[HUC-1; SV-HUC; SVHUC]输尿管上皮细胞
- 细胞形态:
上皮样
- 是否是肿瘤细胞:
SV-HUC-1[HUC-1; SV-HUC; SVHUC]输尿管上皮细胞
- 器官来源:
尿路,输尿管
- 运输方式:
复苏发货或干冰冷冻发货
- 年限:
--
- 生长状态:
贴壁
- 规格:
T25
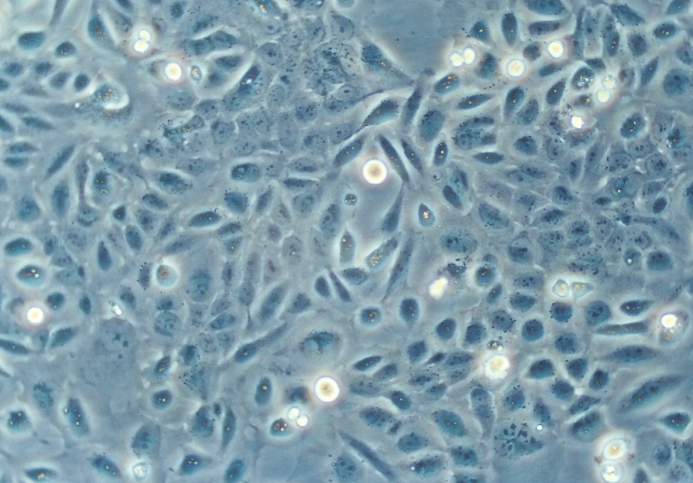
SV-HUC-1输尿管上皮细胞(通过STR鉴定)
以上产品图片均为本公司细胞出入库时拍摄
培养条件:F12K,10%FBS;空气95%,二氧化碳5%;37℃培养
细胞描述:该细胞是由正常尿上皮细胞(HUC)用SV40病毒转染建株的。 选择sv40转化HUC (SV-HUC)是根据其在衰老过程中存活的能力,而HUC衰老过程通常发生在4 ~ 6代。在第6代,100%的SV-HUC染色呈SV40 t抗原阳性。SV-HUC的上皮性质在所有细胞中均被人细胞质角蛋白阳性染色证实。与HUC相比,SV-HUC的生长特性有改变,包括在塑料上生长的能力,不依赖于胶原凝胶基质;失去对培养基补充物的依赖以获得最佳生长,失去对饲养细胞的依赖以获得无性系密度生长,以及在培养中明显无限的寿命(大于2年)。虽然与HUC相比,SV-HUC具有更高的活细胞比例和更高的饱和密度,但在log期SV-HUC的生成时间与HUC相似。SV-HUC培养物表面为上皮细胞,细胞大小和形状具有一定的形态学异质性。在超微结构上,SV-HUC有许多改变,如细胞核和核仁形状不规则,微绒毛多形性,细胞表面无糖原。与HUC不同的是,SV-HUC能够在软琼脂糖中生长,这一特性随着串联通道的增加而增加。然而,通过至少培养50代, SV-HUC仍然不具有致瘤性。
仅供研究之用。
STR位点信息:
BCRC参考图片:
收到货后处理方式:
1.细胞冻存管: 收到货物后,请检查箱子里面是否还有干冰。
● 若干冰已剩余不多,不能掩埋冻存管,请及时拍照,并第一时间联系销售。
● 若干冰充裕,可以安排复苏细胞,复苏方法参考【说明书】;不安排复苏,请将细胞冻存管转移到液氮进行保存。短期(一周内)的存放可以放在-80冰箱,建议最好保存在液氮中。
2.培养瓶的活细胞: 收到请检查培养瓶是否完好,是否有漏液,培养基是否浑浊
●若出现以上问题请于当天和我们销售取得联系,我们会第一时间为您处理。
● 若以上问题都没有出现:拆掉培养瓶的外包装,在显微镜下对细胞进行多个视野,不同倍镜拍照。然后用酒精对瓶身进行彻底消毒,放在37度二氧化碳培养箱中进行复温。1-2小时后,拿出在显微镜下观察,并进行多个视野不同倍镜拍照。若细胞达到了可以传代的密度,请按照【说明书】的传代方法进行操作。若细胞密度不能进行传代,请回收培养瓶中的培养基,留适量培养基在瓶中,并将培养瓶放在培养箱继续培养即可(个别细胞除外,详见说明书)
联系我们:
以上产品图片均为本公司细胞出入库时拍摄
培养条件:F12K,10%FBS;空气95%,二氧化碳5%;37℃培养
细胞描述:该细胞是由正常尿上皮细胞(HUC)用SV40病毒转染建株的。 选择sv40转化HUC (SV-HUC)是根据其在衰老过程中存活的能力,而HUC衰老过程通常发生在4 ~ 6代。在第6代,100%的SV-HUC染色呈SV40 t抗原阳性。SV-HUC的上皮性质在所有细胞中均被人细胞质角蛋白阳性染色证实。与HUC相比,SV-HUC的生长特性有改变,包括在塑料上生长的能力,不依赖于胶原凝胶基质;失去对培养基补充物的依赖以获得最佳生长,失去对饲养细胞的依赖以获得无性系密度生长,以及在培养中明显无限的寿命(大于2年)。虽然与HUC相比,SV-HUC具有更高的活细胞比例和更高的饱和密度,但在log期SV-HUC的生成时间与HUC相似。SV-HUC培养物表面为上皮细胞,细胞大小和形状具有一定的形态学异质性。在超微结构上,SV-HUC有许多改变,如细胞核和核仁形状不规则,微绒毛多形性,细胞表面无糖原。与HUC不同的是,SV-HUC能够在软琼脂糖中生长,这一特性随着串联通道的增加而增加。然而,通过至少培养50代, SV-HUC仍然不具有致瘤性。
仅供研究之用。
STR位点信息:
BCRC参考图片:
收到货后处理方式:
1.细胞冻存管: 收到货物后,请检查箱子里面是否还有干冰。
● 若干冰已剩余不多,不能掩埋冻存管,请及时拍照,并第一时间联系销售。
● 若干冰充裕,可以安排复苏细胞,复苏方法参考【说明书】;不安排复苏,请将细胞冻存管转移到液氮进行保存。短期(一周内)的存放可以放在-80冰箱,建议最好保存在液氮中。
2.培养瓶的活细胞: 收到请检查培养瓶是否完好,是否有漏液,培养基是否浑浊
●若出现以上问题请于当天和我们销售取得联系,我们会第一时间为您处理。
● 若以上问题都没有出现:拆掉培养瓶的外包装,在显微镜下对细胞进行多个视野,不同倍镜拍照。然后用酒精对瓶身进行彻底消毒,放在37度二氧化碳培养箱中进行复温。1-2小时后,拿出在显微镜下观察,并进行多个视野不同倍镜拍照。若细胞达到了可以传代的密度,请按照【说明书】的传代方法进行操作。若细胞密度不能进行传代,请回收培养瓶中的培养基,留适量培养基在瓶中,并将培养瓶放在培养箱继续培养即可(个别细胞除外,详见说明书)
联系我们:
风险提示:丁香通仅作为第三方平台,为商家信息发布提供平台空间。用户咨询产品时请注意保护个人信息及财产安全,合理判断,谨慎选购商品,商家和用户对交易行为负责。对于医疗器械类产品,请先查证核实企业经营资质和医疗器械产品注册证情况。
文献和实验相关实验
Posttranscriptional Regulation of Gene Expression in Epithelial Cells by Polyamines
of many labile mRNAs. Several RBPs, including AUF1, BRF1, TTP, and KSRP, promote ARE-mRNA decay through the recruitment of the ARE-bearing mRNA to sites of mRNA degradation, whereas RBPs such as HuR, HuB, HuC, and HuD stabilize target mRNAs and stimulate
技术资料暂无技术资料 索取技术资料
SV-HUC-1[HUC-1; SV-HUC; SVHUC]输尿管上皮细胞
¥1000




![MS1[MS1;MILE SVEN 1; Mile Sven 1; MILE SVEN1]小鼠胰岛内皮细胞](https://img1.dxycdn.com/2020/0412/761/3407370634555708019-14.jpg!wh200)





