
APP/PS1小鼠 双转 老年鼠 老年痴呆小鼠 3-12月龄
万千商家帮你免费找货
0 人在求购买到急需产品
- 详细信息
- 用户评价
- 文献和实验
- 技术资料
- 提供商:
江苏艾菱菲生物科技有限公司
- 服务名称:
江苏艾菱菲生物科技有限公司
导语
APP/PS1是双转基因小鼠,模拟了AD患者在淀粉样斑块(amyloid plaques)形成和认知功能下降等方面的病理特征,广泛应用于AD的研究。本文从小鼠的体重、认知功能、海马Aβ、Telomere Longth(TL)等多个角度介绍。
——————————————————
随着我国逐渐进入老龄化社会,预计到 2030 年阿尔兹海默症( Alzheimer disease,AD) 的人数将达到1646万,约占全球总病例数的1/4 ,这将给家庭和社会带来沉重的医疗和经济负担。
AD的病理现象复杂、机制不清,目前临床抗AD药物仅能够延缓病理症状的加重, 并不能有效阻止、逆转疾病过程,并且停药后易复发,关于该疾病动物模型的发展和建立至关重要。所以今天为大家介绍AD疾病模型中广泛研究使用的,疾病动物模型——APP/PS1小鼠。
APP/PS1双转基因小鼠

图片来源于艾菱菲
APP/PS1是双转基因小鼠表达嵌合小鼠/人淀粉样前体蛋白(Mo/HuAPP695swe)和突变人早老素1 (PS1-dE9)。其模拟了AD患者在淀粉样斑块(amyloid plaques)形成和认知功能下降等方面的病理特征,广泛应用于AD的研究。
CNS由数十亿神经元组成,是神经元之间信息传递的结构基础。Mo/HuAPP695swe和PS1-dE9两者都针对CNS神经元。“人源化”Mo/HuAPP695swe转基因允许小鼠分泌人A-β肽。转基因肽和全蛋白都可以被对该区域内的人类序列特异的抗体检测到。转基因突变人早老素蛋白(PS1-dE9)在高水平取代可检测的内源性小鼠蛋白,也在全脑蛋白匀浆中免疫检测到。
在老化过程中,APP/PS1小鼠的大脑会出现淀粉样斑块的形成,同时表现出认知和行为功能下降,以及其他 AD 相关的病理改变。

其主要特征是 APP/PS1小鼠在老化过程中大脑中会出现异常的淀粉样斑块,学习和记忆能力的减退出现认知障碍,小鼠的大脑中可观察到神经元退化和突触损伤的改变,包括突触密度的减少和神经元丧失等。
小鼠随月龄增长体重差异
有研究发现同基因型和同月龄条件下除8月龄APP/PS1双转基因小鼠外,其余雌性小鼠体重均低于雄性小鼠。

同月龄不同基因型小鼠比较中,除14月龄APP/PS1双转基因小鼠外,其余小鼠伴随月龄的增长体重相对保持相对恒定水平,没有出现显著性差异。APP/PS1双转基因小鼠间的最大体重差异约7g,且所有小鼠体重均大于20g 且不超过40g。
APP/PS1双转基因小鼠认知能力下降幅度差异会伴随月龄增长而呈现出一定的缩短,月龄增加会导致认知能力下降。

水迷宫空间探索实验;图片来源【3】
14月龄对比6月龄,APP/PS1双转基因小鼠增加约20s,6月龄时小鼠逃避潜伏期最多高于WT小鼠19 s,平台跨越次数也随月龄增长而显著性减少。

水迷宫空间探索实验小鼠性别差异;图片来源【3】
同一表型条件下,雄性小鼠与雌性小鼠对比发现,APP/PS1双转基因雄性小鼠跨越平台次数均略高于雌性小鼠。月龄的增加也将在一定范围内降低雌性小鼠和雄性小鼠逃避潜伏期及跨越平台次数,但是在雄鼠与雌鼠间仍为表现出显著性差异。
小鼠海马Aβ生成随月龄增长而上升

月龄对 AD 组海马 Aβ 生成影响;图片来源【3】
ELISA 实验结果表明,APP/PS1双转基因小鼠伴随月龄增长,大脑海马中 Aβ40 和 Aβ42 的 含量会逐步递增,6-12 月龄时极显著升高。
APP/PS1组在6月龄时,Aβ40 和 Aβ42 沉积相对其他月龄而言处于较低水平,因此 Aβ42/Aβ40 比值与其他月龄相比出现升高,在8月龄时开始伴随月龄的增加,14 月龄 APP/PS1双转基因小鼠对比8月龄时增加了 4%。
伴随月龄增加,APP/PS1双转基因小鼠大脑海马区 Aβ40 和 Aβ42 在沉积增 加,Aβ42/Aβ40 比值逐渐升高,14 月龄对比6月龄,小鼠海马 Aβ40、Aβ42 和 Aβ42/Aβ40 比值差异水平达到统计学意义(P=0.003)。

伴随月龄增加,性别对 AD 组海马 Aβ 生成影响;图片来源【3】
APP/PS1双转基因雌性和雄性小鼠的海马 Aβ40、Aβ42和 Aβ42/Aβ40 均伴随月龄增长而增加,APP/PS1双转基因雌性和雄性小鼠对比发现,雌雄对比下未出现显著性差异,Aβ40、Aβ42 含量和 Aβ42/Aβ40 比值相近。
小鼠TL 随月龄增长而缩短
实验测定小鼠6种器官或组织的细胞TL,包括神经组织中的前额叶、垂体、 海马和小脑,上皮组织的腹部皮肤及多组织构成的结肠。TL 检测结果显示APP/PS1双转基因小鼠6 种器官或组织的细胞TL变化均伴随月龄增长而出现缩短。

月龄增长对 AD 小鼠 TL 的影响;图片来源【3】
不同性别条件下,月龄增长对 AD 小鼠各组织细胞 TL 的结果表明同一表型条件下,雌性小鼠前额叶、垂体、海马和小脑四类脑细胞 TL 短于雄性小鼠。

月龄增长和性别差异 AD 小鼠 TL 的影响;图片来源于【3】
小鼠MNPCE发生率随月龄增长而上升
在利用 MNPCE 实验检测 AD 小鼠体内遗传损伤整体水平时,发现无论是 WT 还是 AD 组,伴随月龄的增加所有小鼠的骨髓嗜多染红细胞微核 (micronucleated polychromatic erythrocytes ,MNPCE)发生频率将会增加。

月龄增长对AD小鼠MNPCE 的影响及性别差异;图片来源【3】
当月龄到 10、12、14 月龄时与 6 月龄对比出现极显著升高。在同一表型条件下,雄性小鼠中对比雌性小鼠,同月龄不同性别的小鼠MNPCE均未出现显著性差异, MNPCE发生频率相近。
小鼠随月龄增长斑块沉积增加、胶质增生
APP/PS1小胶质细胞增生出现在斑块沉积之前,在小鼠3个月大时出现小胶质细胞增生,并在 4 个月和 6 个月大时进一步增加。大脑皮层中的淀粉样斑块约在4月龄时开始出现,在海马体中约在6月龄时开始出现,并随着年龄的增长而增加。

淀粉样蛋白β沉积在APP/PS1小鼠的大脑切片中;图片来源于【1】

APP/PS1小鼠大脑中对Aβ有反应的胶质增生反应;图片来源于【1】
小鼠8月开始出现神经丢失
APP/PS1小鼠的大脑中还可以观察到神经元退化和突触损伤的改变,包括突触密度的减少和神经元丧失。

APP /PS1 和 WT 小鼠 OB 神经元的形态比较;图片来源【5】
应用领域
淀粉样斑块形成机制:APP/PS1小鼠可用于研究淀粉样斑块的形成过程、β-淀粉样蛋白的代谢及聚集机制,以及相关药物的干预策略。
认知和行为功能研究:通过行为学测试,可以评估APP/PS1小鼠在学习、记忆和认知功能方面的变化,从而研究AD发病机制和潜在治疗方法。
神经退化和突触损伤研究:APP/PS1 小鼠可用于研究 AD 中神经元退化和突触损伤的机制,以及神经保护策略的评估。
小鼠饲养注意事项
饲养繁育注意点:
1.APP/PS1小鼠好斗,饲养过程中需要多观察,如果遇到同笼小鼠有打架现象,将打架的小鼠分开饲养;如果打架严重出现咬伤,可以涂抹碘伏或抗生素药膏进行治疗;
2.可以在笼盒内放置消毒玩具,减少小鼠打架机率;
3.C57BL/6背景下的APP小鼠,死亡率在10-15 %;
————————————
参考文献:
[1]Chintapaludi SR, Uyar A, Jackson HM, et al. Staging Alzheimer's Disease in the Brain and Retina of B6.APP/PS1 Mice by Transcriptional Profiling. Journal of Alzheimer's Disease : JAD. 2020 ;73(4):1421-1434. DOI: 10.3233/jad-190793. PMID: 31929156; PMCID: PMC9066610.
[2]Kater MSJ, Huffels CFM, Oshima T, Renckens NS, Middeldorp J, Boddeke EWGM, Smit AB, Eggen BJL, Hol EM, Verheijen MHG. Prevention of microgliosis halts early memory loss in a mouse model of Alzheimer's disease. Brain Behav Immun. 2023 Jan;107:225-241. doi: 10.1016/j.bbi.2022.10.009. Epub 2022 Oct 18. PMID: 36270437.
[3]李剑飞. APP/PS1小鼠神经系统和其他器官组织遗传损伤特性分析[D].云南师范大学,2022.DOI:10.27459/d.cnki.gynfc.2022.001253.
[4]034832 - APP/PS1 菌株详情 (jax.org).
[5]陈搏雨,江锦祥,张家玮等.APP/PS1小鼠嗅球神经元的早期树突分支和长度及钾-氯离子共运转体2蛋白表达异常[J].解剖学报,2023,54(02):127-133.DOI:10.16098/j.issn.0529-1356.2023.02.001.
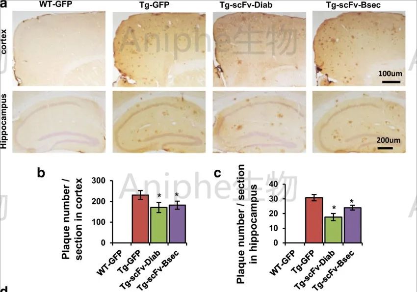
[6]He, Ping & Xin, Wei & Sierks, Michael. (2019). Bispecific Antibody Fragment Targeting APP and Inducing α-Site Cleavage Restores Neuronal Health in an Alzheimer’s Mouse Model. Molecular Neurobiology. 56. 10.1007/s12035-019-1597-z.
风险提示:丁香通仅作为第三方平台,为商家信息发布提供平台空间。用户咨询产品时请注意保护个人信息及财产安全,合理判断,谨慎选购商品,商家和用户对交易行为负责。对于医疗器械类产品,请先查证核实企业经营资质和医疗器械产品注册证情况。
用户评价
暂无用户评价
文献和实验【1】Serum-tolerant polymeric complex for stem-cell transfection and neural differentiation. Nat Commun. 2025 Feb 27;16(1):2022.
【2】Precise Modulation of Pericyte Dysfunction by a Multifunctional Nanoprodrug to Ameliorate Alzheimer's Disease. ACS Nano. 2024 Jun 4;18(22):14348-14366.
【3】Biomimetic elasticity compressed assembly controls rapid intracerebral drug release to reverse microglial dysfunction.Sci. Adv.11,eadr0656(2025).
【4】Serum-tolerant polymeric complex for stem-cell transfection and neural differentiation. Nat Commun 16, 2022 (2025).
Science:延长小鼠寿命 50%!提升 VEGF 水平可
通路的维持可改善组织灌注和氧合为了确定在衰老过程中不能维持足够的微血管密度是否由 VEGF 信号不足引起,他们采用双转基因「Tet-off」小鼠平台,即将肝细胞产生的转基因 VEGF 持续释放到体循环中。因此,在这些小鼠中,从成年早期到成年中期以及整个生命周期中,其循环 VEGF 水平是稳态下的两倍。检测结果表明,VEGF 信号在 24 月龄对照组小鼠中受到抑制,但在同窝的 VEGF 小鼠中没有受到抑制,并且其保持了年轻状态的 VEGF 受体 2(VEGF receptor 2, VEGFR2)磷酸
系培育,至1932年达26代,命名为BALB/c品系。安德尔文特(Andervont)等人使BALB/c广为传播和应用。1985年我国从美国NIH引进到中国医学科学院实验动物研究所,为BALB/c第180代。 主要特性: ①乳腺肿瘤自然发生率低,但用乳腺肿瘤病毒诱发时发病率高;卵巢、肾上腺和肺的肿瘤在该小鼠有一定的发生率。 ②易患慢性肺炎。 ③对放射线甚为敏感。 ④与其他近交系相比,肝、脾与体重的比值较大。20月龄的雄鼠脾脏有淀粉样变。 ⑤有自发高血压症,老年鼠心脏有病变,雌雄鼠均有动脉
,但用乳腺肿瘤病毒诱发时发病率高;卵巢、肾上腺和肺的肿瘤在该小鼠有一定的发生率。②易患慢性肺炎。③对放射线甚为敏感。④与其他近交系相比,肝、脾与体重的比值较大。20月龄的雄鼠脾脏有淀粉样变。⑤有自发高血压症,老年鼠心脏有病变,雌雄鼠均有动脉硬化。⑥对鼠伤寒沙门氏菌补体敏感,对麻疹病毒中度敏感。对利什曼原虫属、立克次氏体和百日咳组织胺易感因子敏感。 主要用途:广泛地应用于肿瘤学、生理学、免疫学、核医学研究,以及单克隆抗体的制备等。 C 57 BL 来源:1921年立特(Little)用艾比
技术资料暂无技术资料 索取技术资料










