
Invitrogen CD3 Monoclonal Anti
body (eBioG4.18 (G4.18)), FITC, eBioscience™ 11-0030-81,11-0030-82,11-0030-85相关产品推荐更多 >
万千商家帮你免费找货
0 人在求购买到急需产品
- 详细信息
- 文献和实验
- 技术资料
- 库存:
Invitrogen CD3 Monoclonal Antibody (eBioG4.18 (G4.18)), FITC, eBioscience™ 11-0030-81,11-0030-82,11-0030-85
- 英文名:
Invitrogen CD3 Monoclonal Antibody (eBioG4.18 (G4.18)), FITC, eBioscience™ 11-0030-81,11-0030-82,11-0030-85
- CAS号:
Invitrogen CD3 Monoclonal Antibody (eBioG4.18 (G4.18)), FITC, eBioscience™ 11-0030-81,11-0030-82,11-0030-85
- 保质期:
Invitrogen CD3 Monoclonal Antibody (eBioG4.18 (G4.18)), FITC, eBioscience™ 11-0030-81,11-0030-82,11-0030-85
- 供应商:
上海辅泽商贸有限公司
- 保存条件:
Invitrogen CD3 Monoclonal Antibody (eBioG4.18 (G4.18)), FITC, eBioscience™ 11-0030-81,11-0030-82,11-0030-85
- 规格:
11-0030-81,50ug/11-0030-82,100ug/11-0030-85,500ug
| 规格: | 11-0030-81,50ug | 产品价格: | ¥666.0 |
|---|---|---|---|
| 规格: | 11-0030-82,100ug | 产品价格: | ¥1222.0 |
| 规格: | 11-0030-85,500ug | 产品价格: | ¥2528.0 |
数据图库
- 已发表图片 (1)
- 抗体检测数据 (1)
查看全部结果图片
FIGURE 1/2
CD3 Antibody (11-0030-81)
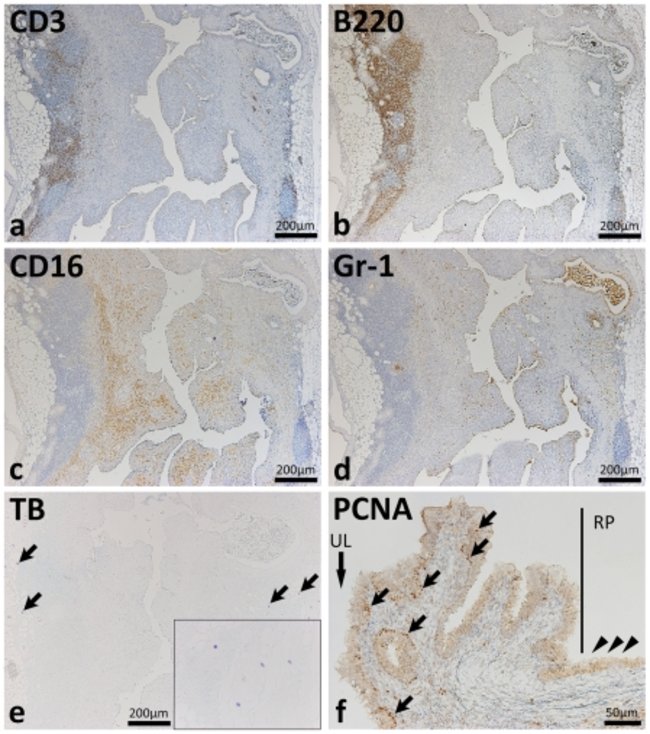
PloS one 2012 - Figure 3 Inflammatory cell infiltrations and proliferation of the epithelium in the ureters of F2 mice showing hydronephrosis. Diseased ureters of BDF2 mice showed severe mononuclear cell infiltrations predominated by B220-positive cells (panel b). B220-positive cells and CD3-positive cells were mainly observed in the perivascular portions at the adventitia of ureters (panels a and b). CD16-positive cells w... View more查看全部结果图片
点击以上链接,即可跳转到BenchSci网页。免责声明
数据图库
- 已发表图片 (1)
- 抗体检测数据 (1)
查看全部结果图片
FIGURE 2/2
CD3 Antibody (11-0030-81) in Flow
Staining of rat splenocytes with Anti-Rat CD45R (B220) PE (Product # 12-0460-82) and 0.25 µg of Mouse IgG3 Isotype Control FITC (Product # 11-4742-42) (left) or 0.25 µg of Anti-Rat CD3 FITC (right). Cells in the lymphocyte gate were used for analysis.
产品细节
已验证应用稀释倍数
流式细胞分析 (Flow)
0.5 µg/test
已发表应用
流式细胞分析 (Flow)
查看下方已发表的3篇文献
免疫组化 (IHC)
查看下方已发表的1篇文献
产品规格
种属反应
Rat
已发表种属
Rat
宿主/亚型
Mouse / IgG3, kappa
推荐的同型对照
Mouse IgG3 Isotype Control (B10), FITC, eBioscience™
分类
Monoclonal
类型
Antibody
克隆号
eBioG4.18 (G4.18)
偶联物
FITC
激发/发射光谱
查看光谱
形式
Liquid
浓度
0.5 mg/mL
纯化类型
Affinity chromatography
保存液
PBS, pH 7.2, with 0.1% gelatin
内含物
0.09% sodium azide
保存条件
4° C, store in dark, DO NOT FREEZE!
RRID
AB_464877
产品详细信息
Description: The eBioG4.18 monoclonal antibody recognizes the rat CD3 protein. CD3 is a critical component of the T-cell receptor (TCR) and is a marker of the T-cell lineage. CD3 is a complex of several subunits and, upon binding of a TCR ligand, participates in transduction of signals from the TCR to the nucleus which results in a variety of cellular responses including transcription of IL-2 and clonal expansion. in vitro, immobilized G4.18 monoclonal antibody has been demonstrated to activate T cells, while soluble G4.18 inhibited allogeneic mixed-lymphocyte proliferative responses and cell-mediated cytotoxicity to allogeneic target cells. in vivo, G4.18 was demonstrated to induce long-term specific tolerance to an organ allograft.
Applications Reported: This eBioG4.18 (G4.18) antibody has been reported for use in flow cytometric analysis.
Applications Tested: This eBioG4.18 (G4.18) antibody has been tested by flow cytometric analysis of rat splenocytes. This can be used at less than or equal to 0.5 µg per test. A test is defined as the amount (µg) of antibody that will stain a cell sample in a final volume of 100 µL. Cell number should be determined empirically but can range from 10^5 to 10^8 cells/test. It is recommended that the antibody be carefully titrated for optimal performance in the assay of interest.
Excitation: 488 nm; Emission: 520 nm; Laser: Blue Laser.
Filtration: 0.2 µm post-manufacturing filtered.
靶标信息
The CD3 subunit complex which is crucial in transducing antigen-recognition signals into the cytoplasm of T cells and in regulating the cell surface expression of the TCR complex. T cell activation through the antigen receptor (TCR) involves the cytoplasmic tails of the CD3 subunits CD3 gamma, CD3 delta, CD3 epsilon and CD3 zeta. These CD3 subunits are structurally related members of the immunoglobulins super family encoded by closely linked genes on human chromosome 11. The CD3 components have long cytoplasmic tails that associate with cytoplasmic signal transduction molecules and this association is mediated at least in part by a double tyrosine-based motif present in a single copy in the CD3 subunits. CD3 may play a role in TCR-induced growth arrest, cell survival and proliferation. The CD3 antigen is present on 68-82% of normal peripheral blood lymphocytes, 65-85% of thymocytes and Purkinje cells in the cerebellum. It is never expressed on B or NK cells. Decreased percentages of T lymphocytes may be observed in some autoimmune diseases. The genes encoding the CD3 epsilon, gamma and delta polypeptides are located on chromosome 11. Defects in the CD3 gene are associated with CD3 immunodeficiency.
仅用于科研。不用于诊断过程。未经明确授权不得转售。
引用文献 (4)
您曾在文献中引用过此抗体吗?如果有,请告诉我们, 以便在说明书中引用。
BMC immunology
"11-0030 was used in Flow cytometry/Cell sorting to investigate the immunological mechanisms underlying chronic renal allograft rejection in a model of non-adherence to immunosuppressive therapy."
Authors Kühne L,Jung B,Poth H,Schuster A,Wurm S,Ruemmele P,Banas B,Bergler T
Species
Rat
Dilution
Not Cited
Year2017
Molecular medicine reports
"11003082 was used in flow cytometry to examine T cell populations in a rat model of spinal nerve ligation"
Authors Sun C,Zhang J,Chen L,Liu T,Xu G,Li C,Yuan W,Xu H,Su Z
Species
Rat
Dilution
1:100
Year2017
Molecular vision
NK cell depletion delays corneal allograft rejection in baby rats.
"11-0030 was used in Flow cytometry/Cell sorting to compare immune cells responses to allogeneic keratoplasty after depletion of natural killer cells."
Authors Schwartzkopff J,Schlereth SL,Berger M,Bredow L,Birnbaum F,Böhringer D,Reinhard T
Species
Rat
Dilution
Not Cited
Year2010
生物信息学
蛋白别名: CD3 antigen delta polypeptide; CD3 antigen, gamma polypeptide; CD3 gamma-chain; CD3 molecule delta polypeptide; CD3 molecule, gamma polypeptide; CD3d; CD3g; T-cell receptor T3 delta chain; T-cell receptor T3 gamma chain; T-cell surface glycoprotein CD3 delta chain; T-cell surface glycoprotein CD3 gamma chain
基因别名: Cd3d; Cd3g; T3d
UniProt ID: (Rat) P19377, (Rat) Q64159
Entrez Gene ID: (Rat) 25710, (Rat) 300678
分子生物学功能:
cytokine receptor
defense/immunity protein
immunoglobulin receptor superfamily
receptor
风险提示:丁香通仅作为第三方平台,为商家信息发布提供平台空间。用户咨询产品时请注意保护个人信息及财产安全,合理判断,谨慎选购商品,商家和用户对交易行为负责。对于医疗器械类产品,请先查证核实企业经营资质和医疗器械产品注册证情况。
文献和实验secondary antibody review -- data from 99 publications
cytometry used as a control to detect cell responses targeted antigen 7 Alexa Fluor 488 7 Cy3 8 goat IgG Alexa Fluor 488 1:2000 detect antibody binding in human embryonic kidney 293T cells Invitrogen 9 donkey
(杨希峰),Yang CY(杨春瑛) et al. Generation and characterization of monoclonal antibody against HIT3a (抗CD3单克隆抗体HIT3a的制备和特异性鉴定), Acta Academiae Medicinae Sinicae (中国医学科学院学报),1993, 15:157-162.[6] Xiong D S(熊冬生),Yang C Z(杨纯正),Shao X F(邵晓枫)et al. Generation
Intracellular Cytokine Staining Protocol
Antibody Order Info Comments T Lymphocytes CD3 145-2C11 14-0031 pan, developmentally regulated T Subsets
技术资料暂无技术资料 索取技术资料








