相关产品推荐更多 >

phospho-FADD (Ser194) Recombinant Rabbit mAb(bsm-60717R)-50ul/100ul/25ul
¥800
Glutathione Transferase zeta 1 Rabbit pAb, AP conjugated(bs-13442R-AP)-100ul
¥2980
PTBP2 Rabbit pAb(bs-11928R)-50ul/100ul/200ul
¥1180
Ferritin Light Chain Mouse mAb(bsm-41189M)-50ul/100ul/200ul/200ug
¥1180
HDAC3 Rabbit pAb, BF750 conjugated(bs-10024R-BF750)-100ul
¥2980
万千商家帮你免费找货
0 人在求购买到急需产品
- 详细信息
- 文献和实验
- 技术资料
- 应用范围:
产品信息以Bioss网站为准
- 规格:
50ul/100ul/200ul
| 规格: | 50ul | 产品价格: | ¥1180.0 |
|---|---|---|---|
| 规格: | 100ul | 产品价格: | ¥1980.0 |
| 规格: | 200ul | 产品价格: | ¥2800.0 |
| 产品编号 | bs-22227R |
| 英文名称 | CDCA7 Rabbit pAb |
| 中文名称 | 细胞分裂周期相关蛋白 |
| 英文别名 | CDCA7; CDCA 7; CDCA-7; Cell division cycle associated 7; JPO1; CDCA7_HUMAN. |
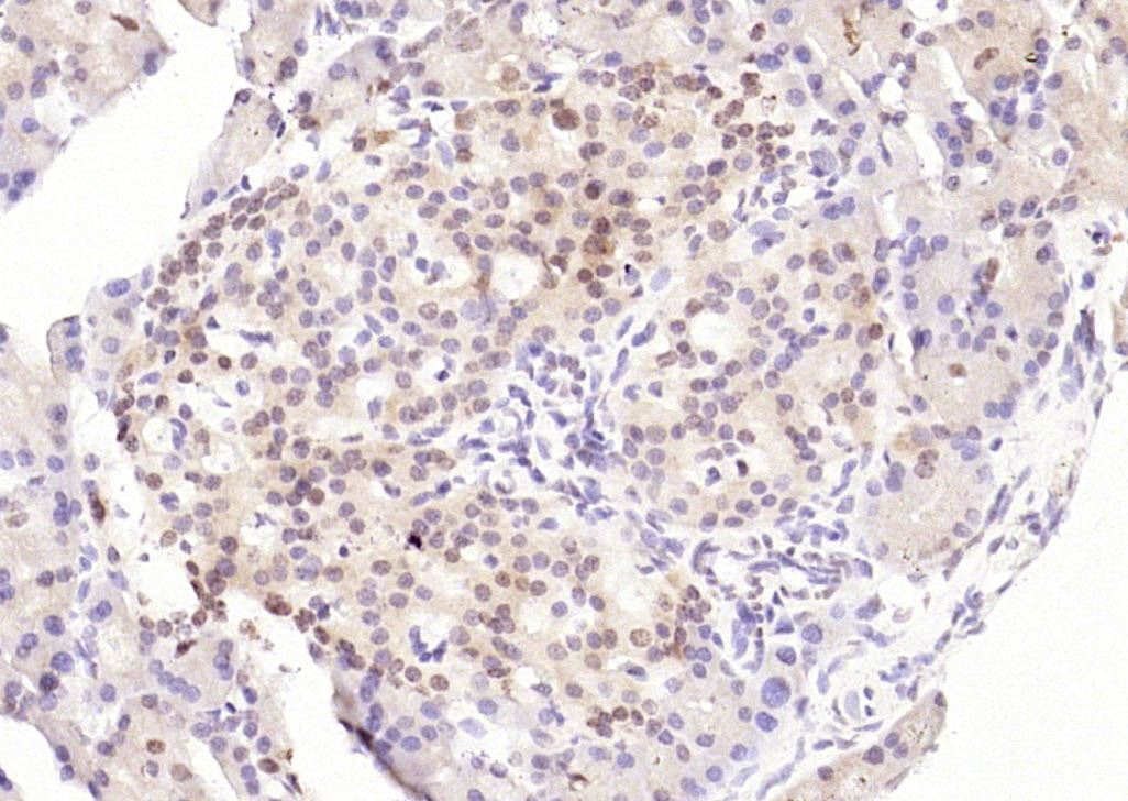
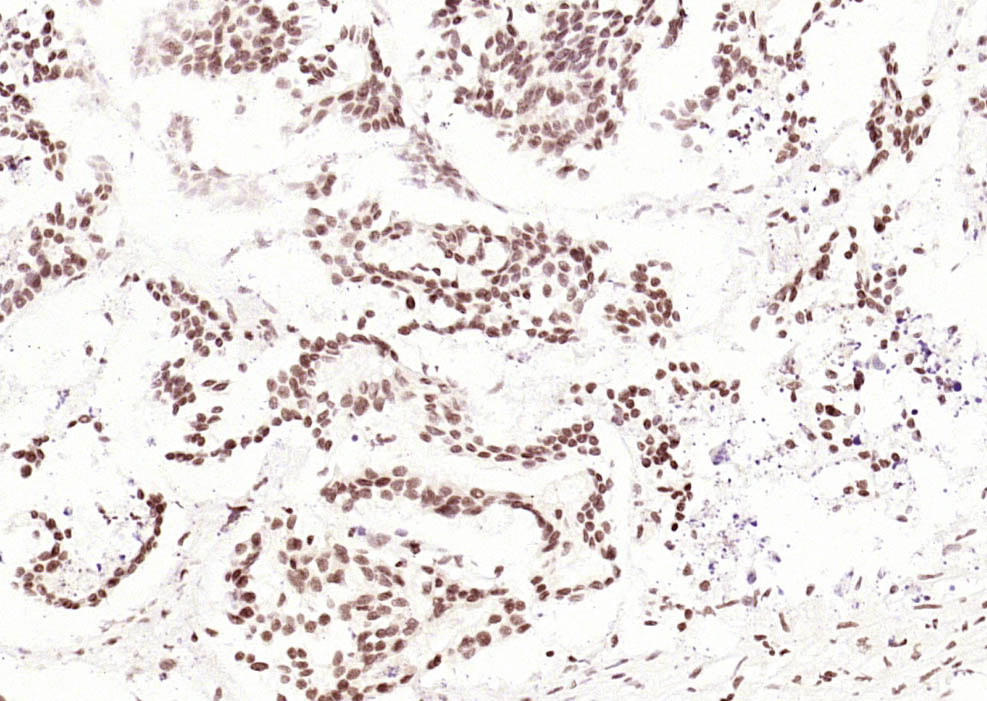
| 产品应用 | IHC-P=1:100-500, IHC-F=1:100-500, IF=1:100-500 Not yet tested in other applications. |
| 交叉反应 | Human, Mouse, Rat (Pig, Cow, Rabbit, Sheep) |
| 抗体来源 | Rabbit |
| 免疫原 | KLH conjugated synthetic peptide derived from human CDCA7 |
| 亚型 | IgG |
| 性状 | Liquid |
| 纯化方法 | affinity purified by Protein A |
| 克隆类型 | Polyclonal |
| 理论分子量 | 43 kDa |
| 浓度 | 1mg/ml |
| 储存液 | 0.01M TBS (pH7.4) with 1% BSA, 0.02% Proclin300 and 50% Glycerol. |
| 研究领域 | Cancer > Tumor biomarkers Epigenetics and Nuclear Signaling > Transcription > Other factors |
| 亚细胞定位 | Nuclear |
| 组织特异性 | Ubiquitous with higher level in thymus and small intestine. Overexpressed in a large number of tumors, in blood from patients with acute myelogenous leukemia (AML) and in chronic myelogenous leukemia (CML) blast crisis. |
| 功能 | Participates in MYC-mediated cell transformation; induces anchorage-independent growth and clonogenicity in lymphoblastoid cells. Insufficient to induce tumorigenicity when overexpressed but contributes to MYC-mediated tumorigenesis. May play a role as transcriptional regulator. |
| 保存条件 | Shipped at 4℃. Store at -20℃ for one year. Avoid repeated freeze/thaw cycles. |
| 注意事项 | This product as supplied is intended for research use only, not for use in human, therapeutic or diagnostic applications. |
| 背景资料 | CDCA7 is a nuclear protein without a known function, although its high homology with the transcription factor JPO2 or RAM2 suggests that it is also a transcription factor. CDCA7 is one of many target genes regulated by the c-Myc transcription factor. Overexpression of CDCA7 occurs in a significant proportion of cancers and it may play an important role in tumorigenesis. Normally it is periodically expressed in the cell cycle, peaking at the G1 to S phase transition. |
| 应用 | 推荐稀释比例 |
| {IHC-P} | {1:100-500} |
| {IHC-F} | {1:100-500} |
| {IF} | {1:100-500} |




风险提示:丁香通仅作为第三方平台,为商家信息发布提供平台空间。用户咨询产品时请注意保护个人信息及财产安全,合理判断,谨慎选购商品,商家和用户对交易行为负责。对于医疗器械类产品,请先查证核实企业经营资质和医疗器械产品注册证情况。
文献和实验[IF={{ 5.307 }}] {Jian Chen. et al. Novel isatin-based hybrids as potential anti-rheumatoid arthritis drug candidates: Synthesis and biological evaluation. BIOORG CHEM. 2022 Nov;128:106063} {IHC} {Mouse}
[IF={{ 2.9 }}] {Wei Ding. et al. Roles of the CDCA gene family in breast carcinoma. SCI PROGRESS-UK. ;():} {WB,IHC} {Human}
= NAL), appears to form upon oxidative cyclization of the nonfluorescent 2:1 lysine-HNE Michael adduct-Schiff base cross-link (Scheme 1). Polyclonal antibody (PAb) to the NAL-HNE fluorophore was raised in rabbit and found to be highly specific
GE Healthcare Benzamidine Sepharose™ 6B is p-aminobenzamidine covalently attached to Sepharose 6B by the epoxy coupling method. p-Aminobenzamidine (PAB), is a synthetic inhibitor of trypsin-like serine protease. Trypsin and trypsin
Nucleic Acid Programmable Protein Arrays: Versatile Tools for Array‐Based Functional Protein Studies
.g., Sigma) 50 mg/ml bis‐sulfosuccinimdylsuberate (BS3 ;Pierce, cat. no. PI 21580) in dimethylsulfoxide (DMSO) 5 mg/ml
技术资料暂无技术资料 索取技术资料






