相关产品推荐更多 >
万千商家帮你免费找货
0 人在求购买到急需产品
- 详细信息
- 文献和实验
- 技术资料
- 英文名:
Normal Human Bladder Fibroblasts
- 细胞类型:
人正常原代细胞
- 物种来源:
人源
- 器官来源:
人源
- 运输方式:
干冰或液氮
- 年限:
液氮储存10年以上
- 生长状态:
冻存
- 规格:
500,000 cells/vial
Lifeline® normal Human Bladder Fibroblasts provide an ideal cell system to establish serum free human feeder layers for human embryonic stem cell cultures or as a model to study wound healing, toxicology or basic cell biology.
Lifeline® Human Bladder Fibroblasts are isolated from the human urinary bladder. The cells have been isolated, plated and expanded in culture vessels twice before being harvested for cryopreservation to ensure the highest purity, viability and plating efficiency.
Our bladder fibroblasts are quality tested in FibroLife® S2 or FibroLife® Xeno-Free Medium and demonstrate optimal growth at rates equal to or greater than classical serum-supplemented media:
- Lifeline® bladder fibroblasts are tested for proper growth and morphology over a period of at least 15 population doublings.
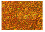
Human Bladder Fibroblasts grown in FibroLife S2 Medium, (100X)
Bladder fibroblasts can be grown in serum-free, phenol red-free, and antimicrobial-free conditions when cultured in FibroLife® Serum-Free Medium.
Lifeline® bladder fibroblasts need not be exposed to antimicrobials or phenol red when cultured in FibroLife® Medium, an advantage since these supplements can cause cell stress and “masking effects” that may negatively impact experimental results.
500,000 cells per vial
风险提示:丁香通仅作为第三方平台,为商家信息发布提供平台空间。用户咨询产品时请注意保护个人信息及财产安全,合理判断,谨慎选购商品,商家和用户对交易行为负责。对于医疗器械类产品,请先查证核实企业经营资质和医疗器械产品注册证情况。
文献和实验贮存尿液的囊性器官,其大小、形状、位置和膀胱壁的厚度均随尿液充盈程度而异。成人正常容量为 300~ 500毫升,最大容量可达 800毫升。空虚的膀胱位于小骨盆内,呈三棱锥体形,前上部称膀胱顶,后下部呈三角形称膀胱底,顶、底之间为膀胱体。当膀胱充盈时呈卵圆形,可超出小骨盆腔与腹前壁接触,触诊时可在腹下部摸到。膀胱壁由粘膜、粘膜下层、肌层和外膜组成。粘膜被覆于膀胱内面,除膀胱三角区外,经粘膜下层与肌层疏松连接。膀胱收缩时,粘膜聚集成皱襞,膀胱充盈时皱襞消失。在膀胱底部,左、右
膀胱为锥体形囊状肌性器官,位于小骨盆腔的前部。空虚时膀胱呈锥体形,充满时形状变为卵圆形,顶部可高出耻骨上缘。成人膀胱容量为300~500ml尿液。膀胱底的内面有三角形区,称为膀胱三角,位于两输尿管口和尿道内口三者连线之间。膀胱的下部,有尿道内口,膀胱三角的两后上角是输尿管开口的地方。 膀胱壁由三层组织组成,由内向外为粘膜层,肌层和外膜。肌层由平滑肌纤维构成,称为逼尿肌,逼尿肌收缩,可使膀胱内压升高,压迫尿液由尿道排出。在膀胱与尿道交界处有较厚的环形肌
分类分型 1急性膀胱炎 2慢性膀胱炎 临床表现 典型表现为尿频、尿急、尿痛,可伴有血尿或脓尿,耻骨上区可有压痛不适。 实验检查 尿常规检查出现红、白细胞,尿细菌培养阳性。 诊断依据 典型症状;尿液检查及尿培养结果;慢性患者膀胱镜及病理学结果;膀胱镜检查可见膀胱边缘不光滑。 治疗原则 一般治疗:1急性膀胱炎:多饮水,卧床休息,根据尿培养结果,选用抗生素。 2慢性膀胱
技术资料暂无技术资料 索取技术资料











