研选同类产品更多 >
万千商家帮你免费找货
0 人在求购买到急需产品
- 详细信息
- 用户评价
- 文献和实验
- 技术资料
- 应用范围:
WB, IP, IHC-P, IHC-F, IF-F, IF-IC, F, ChIP, ChIP-seq
- 适应物种:
H M R Mk
- 是否单克隆:
单克隆
- 抗体英文名:
β-Catenin (D10A8) XP®️ Rabbit mAb
- 级别:
详见MSDS文件
- 保存条件:
-20°c
- 供应商:
CST
特异性/敏感性β-Catenin (D10A8) XP® Rabbit mAb 可检测总 β 连环蛋白的内源水平。
物种反应性:人, 小鼠, 大鼠, 猴(基于 100% 序列同源性预测发生反应的物种:斑马鱼 , 牛 , 猪 , 豚鼠, 马)
产品使用信息
为了获得最佳的 ChIP 和 ChIP-seq 结果,每次免疫沉淀使用 20 μl 抗体和 10 μg 染色质(大约 4 x 106 个细胞)。该抗体已使用 SimpleChIP® Enzymatic Chromatin IP Kits 进行了验证。
| 应用 | 稀释度 |
|---|---|
| 蛋白质印迹法 | 1:1000 |
| 免疫沉淀 | 1:50 |
| 免疫组织化学(石蜡) | 1:100 |
| 免疫组织化学(冰冻) | 1:100 |
| 免疫荧光法(冰冻) | 1:100 |
| 免疫荧光法(免疫细胞化学) | 1:100 |
| 流式细胞术 | 1:50 |
| 染色质免疫沉淀法 | 1:25 |
| ChIP-seq | 1:25 |
来源/纯化 使用与人 β 连环蛋白 Pro714 周围残基相对应的合成肽,对动物进行免疫接种来产生单克隆抗体。
保存 保存在 10 mM sodium HEPES (pH 7.5)、150 mM NaCl、100 µg/ml BSA、50% 甘油和低于 0.02% 的NaN3中。存储温度为 -20℃。请不要分装抗体。
背景 β-Catenin是 Wnt 信号转导通路中的一个关键下游效应分子 (1)。它与脊椎动物的两个重要生物过程有关:早期胚胎发育 (2) 和肿瘤形成 (3)。CK1 可在 Ser45 位点磷酸化 β-Catenin。该磷酸化会导致 β-Catenin随后能被 GSK-3 磷酸化 (4-6)。GSK-3β 通过在 Ser33、Ser37 和 Thr41 位点磷酸化 β-Catenin以将其降解 (7)。这些位点发生突变会提高 β-Catenin的稳定性,并且已在多种肿瘤细胞系中发现了这些突变 (8)。
- Cadigan, K.M. and Nusse, R. (1997) Genes Dev 11, 3286-305.
- Wodarz, A. and Nusse, R. (1998) Annu Rev Cell Dev Biol 14, 59-88.
- Polakis, P. (1999) Curr Opin Genet Dev 9, 15-21.
- Amit, S. et al. (2002) Genes Dev 16, 1066-76.
- Liu, C. et al. (2002) Cell 108, 837-47.
- Yanagawa, S. et al. (2002) EMBO J 21, 1733-42.
- Yost, C. et al. (1996) Genes Dev 10, 1443-54.
- Morin, P.J. et al. (1997) Science 275, 1787-90.
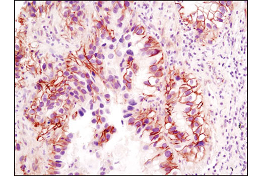
IHC-P (paraffin)
在对照肽(左图)或抗原特异性肽(右图)存在的情况下,使用 β-Catenin (D10A8) XP® Rabbit mAb 对石蜡包埋的小鼠结肠细胞进行免疫组织化学分析。
Flow Cytometry
使用 β-Catenin (D10A8) XP® 兔单克隆抗体(实线)或浓度匹配的 Rabbit Isotype Control #3900(虚线)对 NCI-H28(蓝色)和 HeLa 细胞(绿色)进行流式细胞分析。Anti-rabbit IgG (H+L), F(ab')2 Fragment (Alexa Fluor® 488 Conjugate) #4412 用作二抗。
IF-IC
使用 β-Catenin (D10A8) XP® Rabbit mAb(绿色)对 HeLa(左图)和 NCI-H28(右图)细胞进行共聚焦免疫荧光分析。蓝色伪彩 = DRAQ5® #4084(DNA 荧光染料)。
IF-F
使用 β-Catenin (D10A8) XP® Rabbit mAb(绿色)对小鼠结肠进行共聚焦免疫荧光分析。使用 DY-554 phalloidin(红色)标记肌动蛋白纤丝。蓝色伪彩 = DRAQ5® #4084(DNA 荧光染料)。
Chromatin IP
使用 SimpleChIP® Enzymatic Chromatin IP Kit (Magnetic Beads) #9005,对 HCT116 细胞中提取的交联染色质,在加入 β-Catenin (D10A8) XP® Rabbit mAb 或 Non-phospho (Active) β-Catenin (Ser33/37/Thr41) (D13A1) Rabbit mAb #8814 后进行染色质免疫沉淀。使用 SimpleChIP® ChIP-seq DNA Library Prep Kit for Illumina® #56795 制成 DNA 库。本图显示整个 AXIN2(β-Catenin的一个已知靶基因)范围内的结合作用(参见包含 ChIP-qPCR 数据的其他图)。如需了解其他 ChIP-seq 情况,请下载产品说明书。
使用 SimpleChIP® Enzymatic Chromatin IP Kit (Magnetic Beads) #9003 对 HCT 116 细胞的交联染色质,在加入 β-Catenin (D10A8) XP® Rabbit mAb 或 Normal Rabbit IgG #2729 后进行染色质免疫沉淀法分析。使用 SimpleChIP®Human Axin2 Intron 1 Primers #8973、SimpleChIP®Human CaMK2D Intron 3 Primers #5111、human c-Myc promoter primers 和 SimpleChIP® Human α Satellite Repeat Primers #4486 并通过实时 PCR 对富集的 DNA 进行定量分析。每份样品的免疫沉淀 DNA 含量,用染色质投入总量(相当于 1)相对应的信号进行表示。
应用缩写:
物种交叉反应性缩写:
H-人 M-小鼠 R-大鼠 Hm- 仓鼠 Mk-猴子 Mi-水貂 C-鸡 Dm-黑腹果蝇 X-爪蟾 Z-斑马鱼 B-牛 DG-狗 PG-猪 Sc-酿酒酵母 Ce-秀丽隐杆线虫 Hr-马 All-预期所有物种仅供研究使用。不得用于诊断流程。
Cell Signaling Technology 是 Cell Signaling Technology, Inc. 的商标。
SignalStain 是 Cell Signaling Technology, Inc. 的商标。
SimpleChIP 是 Cell Signaling Technology, Inc. 的注册商标。
XP 是 Cell Signaling Technology, Inc. 的注册商标。
DRAQ5 是 Biostatus Limited 的注册商标。
Illumina 是 Illumina, Inc 的注册商标。
风险提示:丁香通仅作为第三方平台,为商家信息发布提供平台空间。用户咨询产品时请注意保护个人信息及财产安全,合理判断,谨慎选购商品,商家和用户对交易行为负责。对于医疗器械类产品,请先查证核实企业经营资质和医疗器械产品注册证情况。
用户评价
暂无用户评价
文献和实验- Cadigan, K.M. and Nusse, R. (1997) Genes Dev 11, 3286-305.
- Wodarz, A. and Nusse, R. (1998) Annu Rev Cell Dev Biol 14, 59-88.
- Polakis, P. (1999) Curr Opin Genet Dev 9, 15-21.
- Amit, S. et al. (2002) Genes Dev 16, 1066-76.
- Liu, C. et al. (2002) Cell 108, 837-47.
- Yanagawa, S. et al. (2002) EMBO J 21, 1733-42.
- Yost, C. et al. (1996) Genes Dev 10, 1443-54.
- Morin, P.J. et al. (1997) Science 275, 1787-90.
Citations:
https://www.citeab.com/antibodies/125282-8480-catenin-d10a8-xp-rabbit-mab?utm_campaign=Widget+All+Citations&utm_medium=Widget&utm_source=Cell+Signaling+Technology&utm_term=Cell+Signaling+Technology
h)即可。2. 修复大法——不仅仅是「煮一煮」微波炉修复:简单易行效果好,CST 推荐使用微波炉完成修复。合适的修复液:根据抗体说明书使用合适的修复液。用柠檬酸修复后,切片需浸泡在修复液中,自然冷却;而用 EDTA 修复后,切片可直接从修复缸中取出,直接进行下一步。注:使用不同的修复方式和不同生产商的抗体检测人肺癌组织中 EGFR 的表达。第一排为 CST 的 EGF Receptor (D38B1) XP® Rabbit mAb(#4267),EDTA 的修复方式明显优于柠檬酸盐及胃蛋白
Wnt/β-catenin信号通路在实验性大鼠肝癌形成过程中的作用
Wnt /β-catenin信号转导通路是一条在生物进化中极为保守的通路。在正常的体细胞中,β-catenin只是作为一种细胞骨架蛋白在胞膜处与E-cadherin形成复合体对维持同型细胞的黏附、防止细胞的移动发挥作用。只有当细胞外Wnt信号分子与细胞膜上特异性受体Frizzled蛋白结合激活胞内的d ishevelled(散乱的)蛋白导致GSK3B失活,使α-catenin避免被磷酸化而遭降解的命运 , β-catenin才能在胞质中积累起来。当胞质中B-catenin的浓度达到一定水平
v468.Chapter 8 采用 b-Catenin/TCF基本转录通讯结构对b-Catenin/TCF转录进行分析
of several pathway components. As the characterization of the Wnt/β-catenin pathway turnedto identifying modifiers of the core pathway components, theneed for a more sensitive reporter developed. This niche wasfilled by Ajamete Kaykas in the Moon lab
技术资料暂无技术资料 索取技术资料












