相关产品推荐更多 >
万千商家帮你免费找货
0 人在求购买到急需产品
- 详细信息
- 询价记录
- 技术资料
- 提供商:
中科光华(西安)智能生物科技有限公司
- 服务名称:
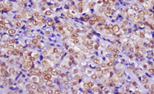
组织芯片
组织芯片(tissu microarray,TMA)与基因芯片、蛋白质芯片及细胞芯片等一样,属于一种特殊、新型的生物芯片,是一种新型的高通量、多样本的研究工具。它将数十个甚至上千个不同个体的组织标本集成在一张固相载体上,为医学分子生物学提供了一种高通量、大样本以及快速的分子水平的分析工具。研究者一次可有效利用成百上千份自然或出于疾病状态下的组织标本来研究特定基因及其所表达的蛋白质与疾病之间的相关关系,对于疾病的分子诊断,预后指标和治疗靶点的定位,抗体和药物的筛选等方面均有十分重要的实用价值。
| 芯片编号: | N783701 | |||||
| 芯片说明: | 脑各级胶质瘤、近端脑及正常脑组织芯片 | |||||
| 样本描述: | 含脑胶质瘤32例,匹配近端脑组织5例及正常脑组织2例 | |||||
| 取样方式: | 一例两点 | |||||
| 点数: | 34 | |||||
| 例数: | 78 | |||||
| 点样直径: | 1.5mm | |||||
| 检测片库存 | 50 | |||||
| 预实验片库存 | 50 | |||||
| H&E染色片库存 | 50 | |||||
| 组织固定方式: | 中性福尔马林固定24h | |||||
| QA/QC: | IHC | |||||
| 应用: |
常规组织学操作包括免疫组织化学(IHC)和原位杂交(ISH), 可以在我们的技术支持页面找到操作流程。 |
|||||
| 注意事项: |
1.收到产品后请在4°保存,并在3个月内使用; 2.请在实验前60°烤30分钟; 3.请选择温和的修复方式,以免造成组织脱落。 |
|||||
| 排列方式见下列资料下载: | 若需更多完整资料请点击客服 | |||||
风险提示:丁香通仅作为第三方平台,为商家信息发布提供平台空间。用户咨询产品时请注意保护个人信息及财产安全,合理判断,谨慎选购商品,商家和用户对交易行为负责。对于医疗器械类产品,请先查证核实企业经营资质和医疗器械产品注册证情况。
- 作者
- 内容
- 询问日期
脑各级胶质瘤、近端脑及正常脑组织芯片N783701
询价











