相关产品推荐更多 >
万千商家帮你免费找货
0 人在求购买到急需产品
- 详细信息
- 文献和实验
- 技术资料
- 库存:
26
- 细胞类型:
原代细胞
- 物种来源:
人/大鼠/小鼠/其他
- 细胞形态:
上皮样/成纤维样/淋巴
- 运输方式:
常温运输/干冰运输
- 生长状态:
贴壁/悬浮
- 规格:
5ml-500ml

细胞类型:原代细胞
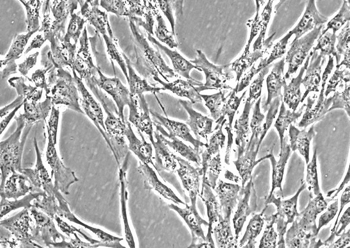
人滑膜细胞以下实验方案介绍了贴壁培养哺乳动物细胞传代的一般流程。请注意昆虫细胞与哺乳动物细胞传代的一些关键步骤有所不同。
1)装有贴壁细胞的培养容器
2)经过组织培养处理的培养瓶、培养板或培养皿
3)完全生长培养基,预热至 37°C
4)一次性无菌 15-mL 试管
5)37°C 培养箱,充有二氧化碳浓度为 5% 的湿化空气
6)平衡盐溶液,例如:杜尔贝科盐缓冲液 (DPBS),不含、镁和红
7)解离剂,例如:胰蛋白酶或 TrypLE™ Express,不含红
8)用于活细胞和总细胞计数的试剂和设备,例如:Countess® 自动细胞计数仪、台盼蓝染料和血球计数器,或者 Coulter Counter® (Beckman Coulter)

人滑膜细胞贴壁细胞传代的第一步是通过酶或机械方法将细胞从培养容器表面解离下来。
贴壁细胞传代流程
所有与细胞接触的溶液和设备均应为无菌状态。必须采用正确的无菌技术,并且在层流通风橱内工作。
1 .从培养容器中吸出用过的细胞培养基并丢弃。
2 .用不含和镁的平衡盐溶液冲洗细胞 (每 10 cm 2 培养表面积需要2 mL溶液)。从与贴壁细胞层相对的容器一侧轻轻加入冲洗液,以避免搅动细胞层,前后摇晃容器数次。
注:冲洗步骤可去除可能抑制解离剂作用的少量血清、和镁。
3 .从培养容器中吸出冲洗液并丢弃。
4 .向培养瓶中加入预热的解离剂 (例如:胰蛋白酶或 TrypLE™);试剂量应足以覆盖细胞层(每 10 cm 2 大约 0 .5 mL)。轻轻摇晃容器,使试剂完全覆盖细胞层。
5 .将培养容器在室温下孵育约 2 分钟。请注意实际孵育时间根据所用细胞系不同而有所差异。
6 .在显微镜下观察细胞解离情况。如果解离程度未达 90%,可将孵育时间延长几分钟,每30 秒钟检查一次解离情况。也可轻轻拍打培养容器以加快细胞解离。
7 .细胞解离程度大于等于 90% 时,倾斜培养容器,使细胞上液体尽快流尽。加入所用解离剂两倍体积的预热完全生长培养基。吹打细胞层表面数次,使培养基分散。
8 .将细胞转移到 15-mL 锥形管中,以 200 × g 的离心力离心 5 至 10 分钟。请注意离心速度和时间依细胞种类不同而有所差异。
9 . 用最少体积的预热完全生长培养基重新悬浮细胞沉淀,取出少量样品进行计数。
10 .采用血球计数器、细胞计数仪按照台盼蓝拒染法或者使用 Countess® 自动细胞计数仪测定总细胞数和活细胞百分比。必要时,可再次向细胞中加入生长培养基,以便达到所需的细胞浓度,并重新进行细胞计数。
注:我们建议使用 Countess® 自动细胞计数仪测定总细胞数和活细胞百分比。Countess®自动细胞计数仪计数所需的样本量与您目前使用的血球计数器所需量相同,且不到一分钟即可完成一个样本的典型细胞计数,适用于各种真核细胞。有关传统血球计数器使用的更多信息,请参阅第 41 页的"支持技术方案"部分。
11 .将细胞悬液稀释到该细胞系推荐的接种密度,并将适量体积的细胞悬液转移到新的细胞培养容器中,把细胞放回培养箱。
注:如果使用培养瓶,将其放入培养箱前应将瓶盖旋松,以便进行充分的气体交换,除非您使用的是通气式培养瓶和透气性瓶盖。

悬浮细胞的传代
悬浮细胞传代比贴壁细胞传代稍微简单一些。由于细胞已经在生长培养基中悬浮,因此无需通过酶的作用使其从培养容器表面脱离,整个过程较为迅速,对细胞的损伤也较小。悬浮培养时不进行生长培养基的更换;而是每 2 到 3 天加料一次,直到细胞汇合。可以直接在培养瓶中稀释细胞,然后继续培养扩增,或者也可以从培养瓶中取出一部分细胞,将余下的细胞稀释到该细胞系适宜的接种密度。悬浮细胞传代后的延滞期一般比贴壁细胞短。

人滑膜细胞悬浮培养容器
悬浮培养可采用未经组织培养处理的无菌培养瓶 (例如:不带折流板的摇瓶) 进行;但是,专为悬浮细胞培养设计的转瓶 (即:搅拌瓶)具有出色的气体交换功能,可进行较大规模的细胞培养。
转瓶有两种基本设计;其培养基由悬挂的搅拌棒或者垂直的叶轮搅拌 (即搅动)。垂直叶轮的换气效果更佳。转瓶总培养体积不能超过转瓶标示体积的一半,以便换气充分(例如:500 mL 转瓶中培养液体不能超过 250 mL)。

细胞说明书请直接向我司客服索取
晅科生物生产的细胞质量佳,发货速度快,售后有保证。

人滑膜细胞新产品:
| 人肺腺癌细胞吉非替尼耐药株 |
| 人肺腺癌顺铂耐药性细胞 |
| 人肺腺癌紫杉醇耐药性细胞 |
| 人结直肠癌紫杉醇耐药株 |
| 人乳腺癌细胞-绿色标记 |
| 人乳腺癌细胞-红色标记 |
| 人鼻咽癌细胞-荧光素酶标记 |
| 人乳腺癌细胞-绿色标记 |
| 人宫颈癌细胞-绿色标记 |
| 小鼠皮肤黑色素瘤细胞-红色标记 |
风险提示:丁香通仅作为第三方平台,为商家信息发布提供平台空间。用户咨询产品时请注意保护个人信息及财产安全,合理判断,谨慎选购商品,商家和用户对交易行为负责。对于医疗器械类产品,请先查证核实企业经营资质和医疗器械产品注册证情况。
文献和实验我养过人类原代滑膜细胞,探讨传代经验:其实最好还是在细胞长满时、还没有接触性抑制之前传代为好1、预温0.25% trypsin, 0.02%EDTA2、用Ca-free的PBS洗涤贴壁细胞三次3、用1份0.25% trypsin, 0.02%EDTA和3份PBS室温下消化(不要用全量消化液因为对于细胞的悬浮作用不但未见有增强作用而且对细胞本身没有好处)4、在倒置显微镜下观察细胞悬浮情况,约有半数以上细胞开始漂浮就用移液管(滴管)移出,置入离心管中5、离心1000rpm,10min6、上清液移回
实验材料: 1. 实验动物:大鼠、兔,人手术切除的关节等; 2. 清洗液:不含Ca2+ 和Mg2+ 的1×PBS,添加100IU/ml青霉素、100µg/ml链霉素,pH7.2; 3. 培养液:RPMI1640培养基,补加15%小牛血清; 实验方法: 1. 将大鼠处死后,用75%酒精消毒; 2. 用手术剪剖开其四肢皮肤与肌肉,暴露长骨两端的关节,取出关节面滑膜组织置于盛有缓冲液的培养皿中; 3. 剔除滑膜组织外层结构及周边软骨组织,用缓冲液洗2—3次;
1500-2000转离心6分钟,最后一次用记数板观察细胞并计数。细胞最终悬浮于α-MEM含有10%胎牛血清中,接种到培养瓶中培养。8、必要时可做第三管细胞收集;并立即作原代滑膜细胞培养。9、每2-3天换液一次。体会:1、虽然国内外文献有组织块培养法获得滑膜细胞,但我试过,没有获得滑膜细胞,可能方法没掌握好或实验条件不同;2、我探索过用0.25% trypsin或0.25% trypsin+ 0.02%EDTA 或 collagenaseⅠ或collagenaseⅡ消化细胞或合用,只有单用
技术资料暂无技术资料 索取技术资料









