相关产品推荐更多 >
万千商家帮你免费找货
0 人在求购买到急需产品
- 详细信息
- 技术资料
- 供应商:
上海晅科生物科技有限公司
- 库存:
100
- 英文名:
BxPC-3
- 生长状态:
贴壁/悬浮
- 年限:
详见说明书
- 运输方式:
常温运输/干冰运输
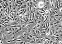
产品名称:人原位胰腺腺癌细胞,BxPC-3
产品简称:BxPC-3
产品规格:1 x 10^6cells/T25培养瓶
细胞冻存:低温冻存
产品用途:仅用于科研实验,不做临床等其他用途!
产品价格:本页面展示的价格不代表产品实际价格,还请客户来电询价!
人原位胰腺腺癌细胞,BxPC-3细胞特性:
1)来源:胰腺导管腺癌;女性
2)培养基:
3)种属:人
4)状态:贴壁
5)规格:T25瓶或者1mL冻存管包装
我司细胞产品优势:
1)供货及时,只要您下了订单,我们就会在短期内将产品送到您手上;
3)价格实惠,批量越大,优惠也就越多,欢迎广大客户来电询价!
4)我司拥有多年的销售经验,能给您提供完整的售前和售后服务;
5)我司拥有实力充足的专业技术人才,如遇技术问题可联系我司技术部。
人原位胰腺腺癌细胞,BxPC-3在进行细胞科研实验的过程中,是少不了超声波细胞粉碎机这样一种仪器的。超声波细胞粉碎机基本原理是利用超声波在液体中的分散效应,使液体产生空化的作用,从而使液体中的固体颗粒或细胞组织破碎。具体使用方法如下:
⒈ 使用前,用清水清洗超声波探头,并用纸将探头擦干净。
⒉ 将烧杯装的待破碎溶液与盒装冰水混合物放入探头下,抬升底座,使探头插入溶液内,
并与烧杯的底部保持1CM间距。
⒊ 打开仪器开关,连续按两次设置键,设置总时间、超声时间和超声间隔时间,然后按
确定键。
⒋ 点击“开”,通过玻璃观察超声情况,如有异常,立即点“停”,然后重新摆放,待确认无误后,开始超声。
⒌ 超声结束后,拿出破碎溶液,用20%乙醇清洗超声波探头。
超声波细胞粉碎机在使用过程中需要注意的事项:
A.严禁在超声波探头未插入溶液中时开机,以免损坏仪器设备。
B.根据细胞破碎的量的多少,选择时间长短。
C.盒装冰水混合物中的水不能超过烧杯中待破摔液的高度,以免导致烧杯不停的旋转。
D.烧杯底部与探头的间距不能太接近,否则会导致烧杯底部破裂。
除了人原位胰腺腺癌细胞,BxPC-3,我司还提供其他相关产品:
产品简称:BxPC-3
产品规格:1 x 10^6cells/T25培养瓶
细胞冻存:低温冻存
产品用途:仅用于科研实验,不做临床等其他用途!
产品价格:本页面展示的价格不代表产品实际价格,还请客户来电询价!
人原位胰腺腺癌细胞,BxPC-3细胞特性:
1)来源:胰腺导管腺癌;女性
2)培养基:
3)种属:人
4)状态:贴壁
5)规格:T25瓶或者1mL冻存管包装
我司细胞产品优势:
1)供货及时,只要您下了订单,我们就会在短期内将产品送到您手上;
3)价格实惠,批量越大,优惠也就越多,欢迎广大客户来电询价!
4)我司拥有多年的销售经验,能给您提供完整的售前和售后服务;
5)我司拥有实力充足的专业技术人才,如遇技术问题可联系我司技术部。
人原位胰腺腺癌细胞,BxPC-3在进行细胞科研实验的过程中,是少不了超声波细胞粉碎机这样一种仪器的。超声波细胞粉碎机基本原理是利用超声波在液体中的分散效应,使液体产生空化的作用,从而使液体中的固体颗粒或细胞组织破碎。具体使用方法如下:
⒈ 使用前,用清水清洗超声波探头,并用纸将探头擦干净。
⒉ 将烧杯装的待破碎溶液与盒装冰水混合物放入探头下,抬升底座,使探头插入溶液内,
并与烧杯的底部保持1CM间距。
⒊ 打开仪器开关,连续按两次设置键,设置总时间、超声时间和超声间隔时间,然后按
确定键。
⒋ 点击“开”,通过玻璃观察超声情况,如有异常,立即点“停”,然后重新摆放,待确认无误后,开始超声。
⒌ 超声结束后,拿出破碎溶液,用20%乙醇清洗超声波探头。
超声波细胞粉碎机在使用过程中需要注意的事项:
A.严禁在超声波探头未插入溶液中时开机,以免损坏仪器设备。
B.根据细胞破碎的量的多少,选择时间长短。
C.盒装冰水混合物中的水不能超过烧杯中待破摔液的高度,以免导致烧杯不停的旋转。
D.烧杯底部与探头的间距不能太接近,否则会导致烧杯底部破裂。
除了人原位胰腺腺癌细胞,BxPC-3,我司还提供其他相关产品:
| 人结肠腺癌细胞,SW480 [SW-480] | |
| 人结肠癌细胞,SW620 | |
| 人结肠癌细胞,COLO 205 | |
| 人结肠腺癌肺转移细胞,T84 | |
| 人结直肠腺癌细胞,COLO 320DM | |
| 人结肠腺癌细胞,CW-2 | |
| 人结直肠腺癌上皮细胞,DLD-1 | |
| 人盲肠腺癌细胞(未分化),Hce-8693 | |
| 人结肠癌细胞,HCT 116 | |
| 人结直肠腺癌细胞,HCT-15 |
风险提示:丁香通仅作为第三方平台,为商家信息发布提供平台空间。用户咨询产品时请注意保护个人信息及财产安全,合理判断,谨慎选购商品,商家和用户对交易行为负责。对于医疗器械类产品,请先查证核实企业经营资质和医疗器械产品注册证情况。
技术资料暂无技术资料 索取技术资料
人原位胰腺腺癌细胞,BxPC-3
询价









