相关产品推荐更多 >
万千商家帮你免费找货
0 人在求购买到急需产品
- 详细信息
- 文献和实验
- 技术资料
- 品系:
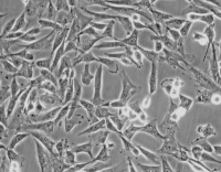
NCI-H292 人肺癌细胞(淋巴结转移)
- 细胞类型:
NCI-H292 人肺癌细胞(淋巴结转移)
- 肿瘤类型:
NCI-H292 人肺癌细胞(淋巴结转移)
- 供应商:
上海晅科生物科技有限公司
- 库存:
10
- 英文名:
Human Lung Cancer Cells ,H292
- 生长状态:
上皮细胞样,贴壁生长
- 年限:
尽快解冻复苏细胞进行培养
- 运输方式:
快递形式
- 器官来源:
NCI-H292 人肺癌细胞(淋巴结转移)
- 是否是肿瘤细胞:
/
- 细胞形态:
上皮细胞样,贴壁生长
- 免疫类型:
NCI-H292 人肺癌细胞(淋巴结转移)
- 物种来源:
NCI-H292 人肺癌细胞(淋巴结转移)
- 相关疾病:
NCI-H292 人肺癌细胞(淋巴结转移)
- 组织来源:
肺
- 规格:
1x10^6
细胞详述
此细胞株源自肺粘膜上皮细胞癌的淋巴结转移灶。这个细胞系用化学合成培养基分离得到,并转换成含血清培养液培养。此细胞在培养时在亚显微结构上保留了粘膜上皮细胞的特性,并表现出鳞状分化的多种标记。
细胞特性:1) 来源:肺
2) 形态:上皮细胞样,贴壁生长
3) 含量:>1x10^6 细胞数
4) 规格:T25瓶或者1mL冻存管包装
5) 用途:仅供科研使用。
运输和保存
干冰运输及复苏好存活细胞
(1)1mL冻存管包装干冰运输,收到后-80度冰箱保存过夜后转入液氮或直接复苏,若发现干冰已挥发干净、冻存管瓶盖脱落、破损及细胞有污染,请立即与我们联系。
(2)T25瓶复苏的存活细胞常温发货,收到后按照细胞接收后的处理方法操作。
1、您收到细胞后,请按照以下方法进行操作:
取出25cm2培养瓶,75%酒精擦拭培养瓶,拆下封口膜,放入37℃,5%CO2细胞培养箱中静置2-3小时以稳定细胞状态,然后换用新鲜完全培养液继续培养或进行传代。

2、细胞传代:
1)细胞生长至覆盖培养瓶的90%面积时,弃25cm2培养瓶中的培养液,用PBS清洗细胞一次;
2)添加0.25%胰蛋白酶消化液约1ml至培养瓶中,倒置显微镜下观察,待细胞回缩变圆后加入完全培养液终止消化,再轻轻吹打细胞使之脱落,然后将悬液转移至15ml离心管中,1500rpm离心5min;
3)弃上清,沉淀细胞用12ml完全培养基重悬,然后按1:2比例进行分瓶传代,最后放入37℃,5%CO2细胞培养箱中培养;
4)待细胞完全贴壁后,观察培养结果,之后进行换液培养或传代。


3、细胞冻存:
1)细胞生长至覆盖培养瓶的90%面积时,弃25cm2培养瓶中的培养液,用PBS清洗细胞一次;
2)添加0.25%胰蛋白酶消化液约1ml至培养瓶中,倒置显微镜下观察,待细胞回缩变圆后加入完全培养液终止消化,再轻轻吹打细胞使之脱落,然后将悬液转移至15ml离心管中,1500rpm离心5min;
3)用适量的冻存液(基础培养基:FBS:DMSO=5:4:1)重悬细胞,并放置于冻存管中;
4)先将细胞冻存管放置于-20℃ 1.5h,然后将其移入-80℃过夜,24h后转入液氮中进行长期保存。

4、细胞复苏:
1)从液氮中取出细胞冻存管(注意:佩戴防爆管面具),快速将其置入37℃水浴中解冻,直至冻存管中无结晶,然后用75%的酒精擦拭冻存管外壁;
2)将冻存管中的细胞移至含5ml完全培养基的15ml离心管中, 1500rpm离心5min;
3)弃上清,沉淀用5ml完全培养基重悬,接种25cm2培养瓶,于37℃,5%CO2细胞培养箱中培养;
4)第二天,换用新鲜完全培养基继续培养。

NCI-H292 人肺癌细胞(淋巴结转移)注意事项
产品使用
1)本产品仅能用于科研
2) 本产品未通过直接用于活体动物和人的审核
3)本产品未通过用于活体诊断的审核
风险提示:丁香通仅作为第三方平台,为商家信息发布提供平台空间。用户咨询产品时请注意保护个人信息及财产安全,合理判断,谨慎选购商品,商家和用户对交易行为负责。对于医疗器械类产品,请先查证核实企业经营资质和医疗器械产品注册证情况。
文献和实验都是贴壁细胞,在消化传代过程中,步骤如下:倒尽旧的培养液->用无血清的培养基清洗一两次->加入一定量的胰酶,置于37度培养箱中5--10分钟,使细胞悬浮->显微镜下观察,待细胞大部分变圆时,回到超静台->加入一定量的含血清的新培养液,以终止胰酶作用->反复吹打细胞->再置显微镜下观察,直到细胞全部悬浮起来->吸出一部分加入新的培养瓶中->最后再补充加入一定量新的培养液。注意: 1、吹细胞时尽量多吹边角儿,此处细胞生长的多。2、吸出细胞前要混匀,可以剧烈震荡培养瓶。3、我们用的是DMEM
potential loss and cell cycle arrest》的论文。文章了评估 epicatechin 对 NCI-H2172 非小型细胞肺癌细胞的抗癌作用,重点观测其对自噬细胞死亡、线粒体膜电位 (m) 丧失和细胞周期阻滞的影响。图片来源于 Molecular Medicine Reports 官网然而,就在发表后的第二天,PubPeer 网站上的匿名网友指出,文章 Fig4 中的多个细胞为复制细胞。匿名网友指出,相同颜色圈出的细胞是相同的细胞。图片来源于 PubPeer 官网,相同圈中细胞
5 小鼠 Mo-MuLv感染的3T3细胞 400元 MRC-5 GNHu12 人 胚肺细胞 800元 Mv.1.Lu(NBL-7) GNO 8 貂 貂肺上皮细胞 400元 NAMALWA TCHu 75 人 Burkitt's淋巴瘤细胞 400元 NCI-H292 TCHu122 人 肺癌细胞(淋巴结转移) 1000元 NCI-H446 [H446] TCHu 38 人 小细胞肺癌细胞 400元 NCI-H460 [H460] TCHu
技术资料暂无技术资料 索取技术资料









