研选同类产品更多 >
万千商家帮你免费找货
0 人在求购买到急需产品
- 详细信息
- 用户评价
- 文献和实验
- 技术资料
- 规格:
100 µL
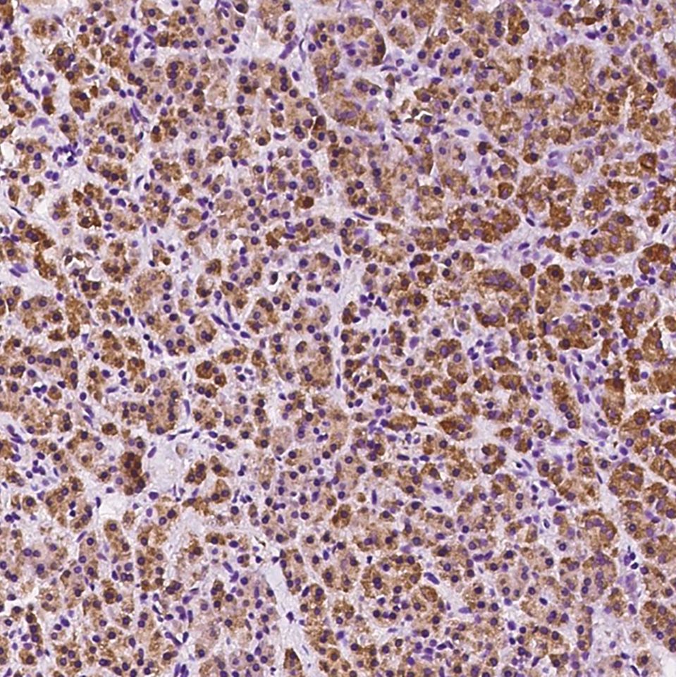
DHRSX 兔多抗 (抗原亲和纯化)(产品说明)
抗体种属:Human
抗体靶点:DHRSX
抗体应用:IHC-P
抗原描述:E. coli-derived Human DHRSX fragment
抗体宿主:Rabbit
抗体Ig类型:Rabbit IgG
抗体纯化方法:Protein A & Antigen Affinity
抗体制备:Produced in rabbits immunized with E. coli-derived Human DHRSX fragment, and purified by antigen affinity chromatography.
抗体特异性:Human DHRSX
抗体保存:This antibody can be stored at 2℃-8℃ for one month without detectable loss of activity. Antibody products are stable for twelve months from date of receipt when stored at -20℃ to -80℃. Avoid repeated freeze-thaw cycles.
风险提示:丁香通仅作为第三方平台,为商家信息发布提供平台空间。用户咨询产品时请注意保护个人信息及财产安全,合理判断,谨慎选购商品,商家和用户对交易行为负责。对于医疗器械类产品,请先查证核实企业经营资质和医疗器械产品注册证情况。
用户评价
暂无用户评价
文献和实验1, Li Z, et al. Intrinsic targeting of host RNA by Cas13 constrains its utility.Nature biomedical engineering, PubMed ID: 37872368
:分别是竞争性蛋白质结合分析法[3]、放射性免疫分析法[4]和薄层色谱法[5]。在80年代,放射性免疫分析法得到了广泛的应用和改进,由于这种方法采用放射性核素标记,应用范围受到一定限制,为了进一步提高检测的灵敏度和操作的安全性,进入90年代又陆续发明了各种酶标记法和化学发光法的竞争性ELISA检测试剂盒,这一类检测方法的根本原理都是基于抗体抗原的免疫反应,所有这些试剂盒中采用的抗体全部是兔抗血清或者是经过特异亲和提纯之后的抗cAMP或cGMP的兔多抗,毫无疑问,兔多抗在约四十年的cAMP,cGMP定量
性核素标记,应用范围受到一定限制,为了进一步提高检测的灵敏度和操作的安全性,进入90年代又陆续发明了各种酶标记法和化学发光法的竞争性ELISA检测试剂盒,这一类检测方法的根本原理都是基于抗体抗原的免疫反应,所有这些试剂盒中采用的抗体全部是兔抗血清或者是经过特异亲和提纯之后的抗cAMP或cGMP的兔多抗,毫无疑问,兔多抗在约四十年的cAMP,cGMP定量检测中做出了巨大贡献,但同时它也有着明显的缺陷: 1,兔多抗对cAMP,cGMP的特异性不高,会与其他核苷类似分子发生交叉
用于免疫检测的特殊配方的抗体稀释液,可以促进抗原抗体特异性结合,产生比传统方法高几倍或十几倍的信号强度,从而解决免疫检测实验中(比如免疫印迹,ELISA等)经常遇到的低灵敏度和高背景强度等问题,得到准确清晰的实验结果。 试剂盒操作简单方便,含有溶液1和2两种即用型溶液,分别用做一抗和二抗的稀释液,替代其他的传统稀释缓冲液,包括TBS,TBST,PBS,PBST等。其余操作均按照标准的免疫检测操作流程进行。此外,试剂盒中各组分对标记抗体的酶活性(辣根过氧化物酶HRP,碱性磷酸酶AP等)均没有影响
技术资料暂无技术资料 索取技术资料












