相关产品推荐更多 >
万千商家帮你免费找货
0 人在求购买到急需产品
- 详细信息
- 文献和实验
- 技术资料
- 免疫原:
A recombinant fragment of human SDC1 (AA: 28-171) expressed in E. coli.
- 亚型:
IgG1
- 形态:
Liquid
- 保存条件:
Store as concentrated solution. Centrifuge briefly prior to opening vial. For short-term storage (1-2 weeks), store at 4ºC. For long-term storage, aliquot and store at -20ºC or below. Avoid multiple freeze-thaw cycles.
- 克隆性:
Monoclonal
- 标记物:
Unconjugated
- 适应物种:
Human, Mouse
- 保质期:
12 months from the shipping date of the product.
- 抗原来源:
Human
- 目录编号:
GTX00451
- 级别:
Primary Antibodies
- 库存:
Available
- 供应商:
GeneTex
- 宿主:
Mouse
- 应用范围:
WB, ICC/IF, IHC-P, FACS, ELISA
- 浓度:
Batch dependent (Please refer to the vial label for the specific concentration.)
- 靶点:
Syndecan-1 / CD138
- 抗体英文名:
Syndecan-1 / CD138 antibody [1A3H4]
- 抗体名:
Syndecan-1 / CD138 抗体 [1A3H4]
- 规格:
100 μl
ELISA analysis of antigen using GTX00451 Syndecan-1 / CD138 antibody [1A3H4].
Black : Control antigen 100ng
Purple : Antigen 10ng
Blue : Antigen 50ng
Red : Antigen 100ng
WB analysis of various samples using GTX00451 Syndecan-1 / CD138 antibody [1A3H4].
Lane 1 : MCF-7 cell lysate
Lane 2 : HeLa cell lysate
Lane 3 : HepG2 cell lysate
Lane 4 : T47D cell lysate
Lane 5 : SW620 cell lysate
Lane 6 : Jurkat cell lysate
Lane 7 : NIH/3T3 cell lysate
ICC/IF analysis of HepG2 cells using GTX00451 Syndecan-1 / CD138 antibody [1A3H4].
Green : Primary antibody
Blue: DRAQ5 fluorescent DNA dye
WB analysis of various samples using GTX00451 Syndecan-1 / CD138 antibody [1A3H4].
Lane 1 : HEK293 cell lysate
Land 2 : SDC1 (AA: 28-171)-hIgGFc transfected HEK293 cell lysate
FACS analysis of HepG2 cells using GTX00451 Syndecan-1 / CD138 antibody [1A3H4].
Green : Primary antibody
Red : Negative control (without primary antibody)
IHC-P analysis of ovarian cancer tissues using GTX00451 Syndecan-1 / CD138 antibody [1A3H4].
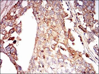
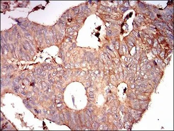
IHC-P analysis of rectum cancer tissues using GTX00451 Syndecan-1 / CD138 antibody [1A3H4].
风险提示:丁香通仅作为第三方平台,为商家信息发布提供平台空间。用户咨询产品时请注意保护个人信息及财产安全,合理判断,谨慎选购商品,商家和用户对交易行为负责。对于医疗器械类产品,请先查证核实企业经营资质和医疗器械产品注册证情况。
文献和实验Notes on Making Rat x Y3 Monoclonal Antibody Producing Hybridomas
Although Y3/Ag1.2.3 has its own myeloma light chain, their are numerous characteristics that make this a better parent line for making hybridomas than the 'Y0' chain loss variants or using NS0 to make rat x mouse hybrids. These are: a) Hybridomas
人可溶性CD138分子(sCD138)ELISA试剂盒 说明书
上海西唐生物科技有限公司 021-55229872, 65333639 www.westang.com 人可溶性CD138 分子 ( sCD138 )ELISA 试剂盒 ( 用于血清、血浆、细胞培养上清液和生物体液内 ) 原理 本实验采用双抗体夹心 ABC-ELISA 法。用抗人 sCD138/Syndecan-1 单抗包被于酶标板上,标准品和样品中的 sCD138与单抗结合
ChIP protocol for X. laevis Lens1/FoxE3 enhancer
to agarose beads in chromatin samples prior to antibody reaction. (17) Pellet the agarose beads by brief centrifugation (3000-5000 x g (ex. 6600 rpm at Eppendorf table top centrifuge) for 1 min)). (18) Collect supernatants into new tubes. Remove
技术资料暂无技术资料 索取技术资料





![Ubiquitin B antibody [3C12]](https://img1.dxycdn.com/2022/0328/161/5984460721123500453-14.jpg!wh200)

![Cytokeratin 7 antibody [OV-TL 12/30]](https://img1.dxycdn.com/2022/0328/255/4733966832934500453-14.jpg!wh200)


