相关产品推荐更多 >
万千商家帮你免费找货
0 人在求购买到急需产品
- 详细信息
- 询价记录
- 文献和实验
- 技术资料
- 免疫原:
interleukin 8
- 亚型:
IgG
- 形态:
liquid
- 保存条件:
-20℃ 12月
- 克隆性:
polyclonal
- 标记物:
未标记
- 适应物种:
Human, Mouse
- 保质期:
-20℃ 12月
- 抗原来源:
interleukin 8
- 目录编号:
FNab09864
- 级别:
科研
- 库存:
100
- 供应商:
武汉菲恩生物科技有限公司
- 宿主:
Rabbit
- 应用范围:
ELISA, IHC, WB
- 靶点:
CXCL8
- 抗体英文名:
CXCL8 antibody
- 抗体名:
CXCL8抗体
- 规格:
50ug/100ug
| 规格: | 50ug | 产品价格: | ¥1140.0 |
|---|---|---|---|
| 规格: | 100ug | 产品价格: | ¥1900.0 |

产品介绍
| 产品名称 | CXCL8 antibody |
| 中文名称 | CXCL8抗体 |
| 货号 | FNab09864 |
| 规格 | 50ug/100ug |
| 宿主 | Rabbit |
| 反应种属 | Human, Mouse |
| 验证应用 | ELISA, IHC, WB |
| 状态 | liquid |
| 纯化方法 | Immunogen affinity purified |
| 纯度 | ≥95% as determined by SDS-PAGE |
| 克隆性 | polyclonal |
| 亚型 | IgG |
| 免疫原 | interleukin 8 |
| 免疫原别称 | Interleukin-8 (IL-8)|C-X-C motif chemokine 8|Chemokine (C-X-C motif) ligand 8|Emoctakin|Granulocyte chemotactic protein 1 (GCP-1)|Monocyte-derived neutrophil chemotactic factor (MDNCF)|Monocyte-derived neutrophil-activating peptide (MONAP)|Neutrophil-activating protein 1 (NAP-1)|Protein 3-10C|T-cell chemotactic factor|MDNCF-a Alternative names: GCP/IL-8 protein IV|IL8/NAP1 form I|Interleukin-8 Alternative names: (Ala-IL-8)77|GCP/IL-8 protein II|IL-8(1-77)|IL8/NAP1 form II|MDNCF-b|IL-8(5-77)|IL-8(6-77) Alternative names: (Ser-IL-8)72|GCP/IL-8 protein I|IL8/NAP1 form III|Lymphocyte-derived neutrophil-activating factor (LYNAP)|MDNCF-c|Neutrophil-activating factor (NAF)|IL-8(7-77) Alternative names: GCP/IL-8 protein V|IL8/NAP1 form IV|IL-8(8-77) Alternative names: GCP/IL-8 protein VI|IL8/NAP1 form V|IL-8(9-77) Alternative names: GCP/IL-8 protein III|IL8/NAP1 form VI|CXCL8|IL8 |
| Uniprot ID | P10145 |
| 分子量 | 11 kDa |
| 建议稀释比例 | WB: 1:500 - 1:2000; IHC: 1:50 - 1:200 |
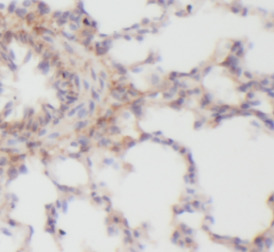
| 验证图片 | Immunohistochemistry of paraffin-embedded mouse lung using FNab09864(CXCL8/IL8 antibody) at dilution of 1:100 A-431 cells were subjected to SDS PAGE followed by western blot with FNab09864(CXCL8/IL8 antibody) at dilution of 1:1000 |
| 存储 | PBS with 0.02% sodium azide and 50% glycerol pH 7.3, -20℃ for 12 months (Avoid repeated freeze / thaw cycles.) |
| 注意事项 | CXCL8 antibody仅供科研使用 |
菲恩生物抗体产品优势
种类齐全:有10000多种经过验证的免多抗和小鼠单抗,包括流式抗体、内参抗体、标签抗体、小分子化合物抗体、对照抗体等;
多种标记/非标记二抗:针对兔、羊、小鼠、大鼠、人等多个种属。100多种标记二抗,标记物包括HRP、Biotin、FITC、Cy3、Alexa Fluor 488、Alexa Fluor 594等,通过了蛋白质印迹、免疫荧光、免疫组织化学、流式细胞术和ELISA等免疫学相关应用的充分验证,可满足各种实验需求;
验证过多种实验:ELISA、WB、IHC、IF、IP、FC等应用,并进行了广泛的物种交叉实验。
风险提示:丁香通仅作为第三方平台,为商家信息发布提供平台空间。用户咨询产品时请注意保护个人信息及财产安全,合理判断,谨慎选购商品,商家和用户对交易行为负责。对于医疗器械类产品,请先查证核实企业经营资质和医疗器械产品注册证情况。
- 作者
- 内容
- 询问日期
文献和实验上海西唐生物科技有限公司 021-55229872, 65333639 www.westang.com 人CXCL8 (CXCL-8)ELISA 试剂盒 ( 用于血清、血浆、细胞培养上清液和其它生物体液内 ) 原理 本实验采用双抗体夹心 ABC-ELISA 法。用抗人 CXCL-8 单抗包被于酶标板上,标准品和样品中的 CXCL-8与单抗结合,加入生物素化的抗人 CXCL
上海西唐生物科技有限公司 021-55229872, 65333639 www.westang.com 小鼠CXCL3 ( CXCL - 3 )ELISA 试剂盒 ( 用于血清、血浆、细胞培养上清液和其它生物体液内 ) 原理 本实验采用双抗体夹心 ABC-ELISA 法。用抗小鼠CXCL3 单抗包被于酶标板上,标准品和样品中的 CXCL3与单抗结合,加入生物
在免疫反应方面,基于抗原的刺激在体内形成、并与抗原作特异性结合的蛋白质之总称。其化学实质是免疫球蛋白。抗体,按照抗原抗体反应的类型可分别称为沉淀素、凝集素、溶血素、溶菌素、抗毒素、中和抗体等,但这些并不等于有相应的不同抗体存在,一般多只表明抗体反应的多样性而已。抗体在血清中含量最多(体液抗体=humoral antibody);含有某特定抗体的血清称为抗血或免疫血清。
技术资料暂无技术资料 索取技术资料








