相关产品推荐更多 >
万千商家帮你免费找货
0 人在求购买到急需产品
- 详细信息
- 文献和实验
- 技术资料
- 免疫原:
ATPase inhibitory factor 1
- 亚型:
IgG
- 形态:
liquid
- 保存条件:
-20℃ 12月
- 克隆性:
polyclonal
- 标记物:
未标记
- 适应物种:
Human, Mouse
- 保质期:
-20℃ 12月
- 抗原来源:
ATPase inhibitory factor 1
- 目录编号:
FNab00735
- 级别:
科研
- 库存:
100
- 供应商:
武汉菲恩生物科技有限公司
- 宿主:
Rabbit
- 应用范围:
ELISA, WB, IHC
- 靶点:
ATP5IF1
- 抗体英文名:
ATP5IF1 antibody
- 抗体名:
ATP5IF1抗体
- 规格:
50ug/100ug
| 规格: | 50ug | 产品价格: | ¥1140.0 |
|---|---|---|---|
| 规格: | 100ug | 产品价格: | ¥1900.0 |

产品介绍
| 产品名称 | ATP5IF1 antibody |
| 中文名称 | ATP5IF1抗体 |
| 货号 | FNab00735 |
| 规格 | 50ug/100ug |
| 宿主 | Rabbit |
| 反应种属 | Human, Mouse |
| 验证应用 | ELISA, WB, IHC |
| 状态 | liquid |
| 纯化方法 | Immunogen affinity purified |
| 纯度 | ≥95% as determined by SDS-PAGE |
| 克隆性 | polyclonal |
| 亚型 | IgG |
| 免疫原 | ATPase inhibitory factor 1 |
| 免疫原别称 | ATPase inhibitor, mitochondrial|ATP synthase F1 subunit epsilon|Inhibitor of F(1)F(o)-ATPase (IF(1), IF1)|ATP5IF1|ATPI|ATPIF1 |
| Uniprot ID | Q9UII2 |
| 分子量 | 12 kDa |
| 建议稀释比例 | WB: 1:500 - 1:2000; IHC: 1:50 - 1:100 |
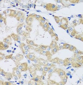
| 验证图片 | Immunohistochemistry of paraffin-embedded human stomach using FNab00735(ATPIF1 antibody) at dilution of 1:100 human liver tissue were subjected to SDS PAGE followed by western blot with FNab00735(ATPIF1 antibody) at dilution of 1:1000 |
| 存储 | PBS with 0.02% sodium azide and 50% glycerol pH 7.3, -20℃ for 12 months (Avoid repeated freeze / thaw cycles.) |
| 注意事项 | ATP5IF1 antibody仅供科研使用 |
菲恩生物抗体产品优势
种类齐全:有10000多种经过验证的免多抗和小鼠单抗,包括流式抗体、内参抗体、标签抗体、小分子化合物抗体、对照抗体等;
多种标记/非标记二抗:针对兔、羊、小鼠、大鼠、人等多个种属。100多种标记二抗,标记物包括HRP、Biotin、FITC、Cy3、Alexa Fluor 488、Alexa Fluor 594等,通过了蛋白质印迹、免疫荧光、免疫组织化学、流式细胞术和ELISA等免疫学相关应用的充分验证,可满足各种实验需求;
验证过多种实验:ELISA、WB、IHC、IF、IP、FC等应用,并进行了广泛的物种交叉实验。
风险提示:丁香通仅作为第三方平台,为商家信息发布提供平台空间。用户咨询产品时请注意保护个人信息及财产安全,合理判断,谨慎选购商品,商家和用户对交易行为负责。对于医疗器械类产品,请先查证核实企业经营资质和医疗器械产品注册证情况。
文献和实验「今年第三篇CNS」中山苏士成、许小丁、高志良团队解析非酒精性脂肪性肝炎新靶点
蛋白质与 circRNA SCAR 结合的蛋白质。由于 mPTP(线粒体通透性转换孔)的两个调控因子 ATP5A 和 ATP5B 被检测到,因此作者对他们进行了进一步验证。由于 ATP5A 与 ATP5B 结合,那么 circRNA SCAR 是否是直接与 ATP5A 或 / 和 ATP5B 结合呢?为了解决这个问题,作者采用了体外 RNA / 蛋白质相互作用测定法,发现 circRNA SCAR 仅在存在 ATP5B 的情况下才能下拉 ATP5A,提示 circRNA SCAR 直接结合的是 ATP5
抗肝肾微粒体抗体(LKM)是一种自身抗体。是诊断II型自身免疫性肝炎的血清学指标,靶抗原为LKM-1(细胞色素P450IID6)、LKM-2、LKM-3和肝微粒体。 自身免疫性肝炎按血清学标志至少可分为三型:Ⅰ型(“狼疮样”肝炎)以出现抗核抗体(ANA)、平滑肌抗体(ASMA)、肝细胞膜抗体(LMA抗体)为特征;Ⅱ型以出现LKM抗体为特征;Ⅲ型以出现可溶性肝抗原抗体(SLA抗体)为特征。 LKM-1抗体为自身免疫性肝炎Ⅱ型的血清
[资源] 所有的看家基因(housekeeping genes)列表+引物设计服务
_004889 Homo sapiens ATP synthase, H+ transporting, mitochondrial F0 complex, subunit f, isoform 2 (ATP5J2), mRNA 1513 NM_003769 Homo sapiens splicing factor, arginine/serine-rich 9 (SFRS9), mRNA 1207 NM_003910 Homo sapiens maternal G10 transcript
技术资料暂无技术资料 索取技术资料








