相关产品推荐更多 >
万千商家帮你免费找货
0 人在求购买到急需产品
- 详细信息
- 文献和实验
- 技术资料
- 免疫原:
alpha-2-macroglobulin
- 亚型:
IgG
- 形态:
liquid
- 保存条件:
-20℃ 12月
- 克隆性:
polyclonal
- 标记物:
未标记
- 适应物种:
Human
- 保质期:
-20℃ 12月
- 抗原来源:
alpha-2-macroglobulin
- 目录编号:
FNab00340
- 级别:
科研
- 库存:
100
- 供应商:
武汉菲恩生物科技有限公司
- 宿主:
Rabbit
- 应用范围:
ELISA, WB, IHC, IP
- 靶点:
A2M
- 抗体英文名:
A2M antibody
- 抗体名:
A2M抗体
- 规格:
50ug/100ug
| 规格: | 50ug | 产品价格: | ¥1050.0 |
|---|---|---|---|
| 规格: | 100ug | 产品价格: | ¥1750.0 |

产品介绍
| 产品名称 | A2M antibody |
| 中文名称 | A2M抗体 |
| 货号 | FNab00340 |
| 规格 | 50ug/100ug |
| 宿主 | Rabbit |
| 反应种属 | Human |
| 验证应用 | ELISA, WB, IHC, IP |
| 状态 | liquid |
| 纯化方法 | Immunogen affinity purified |
| 纯度 | ≥95% as determined by SDS-PAGE |
| 克隆性 | polyclonal |
| 亚型 | IgG |
| 免疫原 | alpha-2-macroglobulin |
| 免疫原别称 | Alpha-2-macroglobulin (Alpha-2-M)|C3 and PZP-like alpha-2-macroglobulin domain-containing protein 5|A2M|CPAMD5 |
| Uniprot ID | P01023 |
| 分子量 | 185 kDa |
| 建议稀释比例 | WB: 1:2000-1:20000; IP: 1:200-1:1000; IF: 1:50-1:500; IHC: 1:20-1:200 |
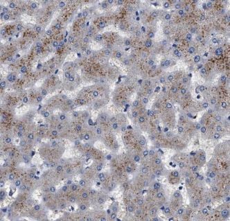
| 验证图片 |
Immunohistochemistry of paraffin-embedded human hepatocirrhosis tissue slide using FNab00340(A2M Antibody) at dilution of 1:50 IP Result of anti-Alpha-2-macroglobulin (IP:FNab00340, 5ug; Detection:FNab00340 1:500) with human plasma lysate 4000ug.
human blood tissue were subjected to SDS PAGE followed by western blot with FNab00340(A2M antibody) at dilution of 1:6000 |
| 存储 | PBS with 0.02% sodium azide and 50% glycerol pH 7.3, -20℃ for 12 months(Avoid repeated freeze / thaw cycles.) |
| 注意事项 | A2M antibody仅供科研使用 |
菲恩生物抗体产品优势
种类齐全:有10000多种经过验证的免多抗和小鼠单抗,包括流式抗体、内参抗体、标签抗体、小分子化合物抗体、对照抗体等;
多种标记/非标记二抗:针对兔、羊、小鼠、大鼠、人等多个种属。100多种标记二抗,标记物包括HRP、Biotin、FITC、Cy3、Alexa Fluor 488、Alexa Fluor 594等,通过了蛋白质印迹、免疫荧光、免疫组织化学、流式细胞术和ELISA等免疫学相关应用的充分验证,可满足各种实验需求;
验证过多种实验:ELISA、WB、IHC、IF、IP、FC等应用,并进行了广泛的物种交叉实验。
风险提示:丁香通仅作为第三方平台,为商家信息发布提供平台空间。用户咨询产品时请注意保护个人信息及财产安全,合理判断,谨慎选购商品,商家和用户对交易行为负责。对于医疗器械类产品,请先查证核实企业经营资质和医疗器械产品注册证情况。
文献和实验on the gamma1, gamma2, gamma3, and alpha2 heavy chains (they are designated as G1m, G2m, G3m, and A2m allotypes, respectively), and on the kappa light chain (Km allotypes). Gm-Am allotypes are inherited in fixed combinations, or Gm-Am haplotypes, owing
2H链已发现有A2m1和A2m2两种。A2m1在411、428、458和467位氨酸上分别为苯丙氨酸、天冬氨酸、亮氨酸、缬氨酸;A2m2则分别为苏氨酸、谷氨酸、异亮氨酸和丙氨酸。α1H链上尚未发现有同种异型存在。 3.ε链上的同种异型目前只发现Em1一种同种异型。 4.κ链上的同种异型 旧称为Inv,现分为Km1、2和3。Km1在153位和191位氨基酸上分别为缬氨酸和亮氨酸,Km2分别为丙氨酸和亮氨酸,Km3分别为丙氨和缬氨酸。λ轻链上尚未发现有同种异型。 (三)独特
可能同时具有一个以上的Gm标志,如白种人常常在γ1H链Cγ1区有G1mz,Fc部位有G1ma。由于人第14号染色体编码四种IgG亚类的C区基因Cγ1、Cγ2、Cγ3和Cγ4是密切连锁的,因此IgGH链各亚类Gm标记可作为间倍体(haplotype)遗传给子代。 2.α链上的同种异型 α2H链已发现有A2m1和A2m2两种。A2m1在411、428、458和467位氨酸上分别为苯丙氨酸、天冬
技术资料暂无技术资料 索取技术资料








