相关产品推荐更多 >
万千商家帮你免费找货
0 人在求购买到急需产品
- 详细信息
- 文献和实验
- 技术资料
- 免疫原:
arylacetamide deacetylase-like 1
- 亚型:
IgG
- 形态:
liquid
- 保存条件:
PBS with 0.02% sodium azide and 50% glycerol pH 7.3, -20℃ for 12 months(Avoid repeated freeze / thaw cycles.)
- 克隆性:
多克隆抗体
- 适应物种:
Human, Mouse, Rat
- 保质期:
-20℃ for 12 months(Avoid repeated freeze / thaw cycles.)
- 抗原来源:
arylacetamide deacetylase-like 1
- 目录编号:
FNab00017
- 级别:
科研
- 库存:
100
- 供应商:
武汉菲恩生物科技有限公司
- 宿主:
Rabbit
- 应用范围:
ELISA, WB, IHC, IP,IF
- 靶点:
arylacetamide deacetylase-like 1
- 抗体英文名:
NCEH1 antibody
- 抗体名:
NCEH1 antibody
- 规格:
50μg/100μg
| 规格: | 50μg | 产品价格: | ¥1050.0 |
|---|---|---|---|
| 规格: | 100μg | 产品价格: | ¥1750.0 |

NCEH1 antibody|NCEH1抗体宿主来源于Rabbit,克隆性:polyclonal,适用种属:Human, Mouse, Rat,验证应用:ELISA, WB, IHC, IP,IF
-------------------------------------------------------------------------------------------------------------------------
产品介绍
| 产品名称 | NCEH1 antibody |
|---|---|
| 货号 | FNab00017 |
| 规格 | 50μg, 100μg |
| 纯化方法 | Immunogen affinity purified |
| 纯度 | ≥95% as determined by SDS-PAGE |
| 宿主 | Rabbit |
| 克隆性 | polyclonal |
| 亚型 | IgG |
| 存储 | PBS with 0.02% sodium azide and 50% glycerol pH 7.3, -20℃ for 12 months(Avoid repeated freeze / thaw cycles.) |
| 分子量 | 50-55 kDa |
| Uniprot ID | Q6PIU2 |
| 适用种属 | Human, Mouse, Rat |
| 验证应用 | ELISA, WB, IHC, IP,IF |
| 建议稀释比例 | WB: 1:500-1:1000; IP: 1:500-1:1000; IHC: 1:20-1:200; IF: 1:10-1:100 |
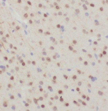
| 图片 | ![]() Immunohistochemistry of paraffin-embedded human brain using FNab00017(AADACL1 antibody) at dilution of 1:50 |
![]() COLO 320 cells were subjected to SDS PAGE followed by western blot with FNab00017(AADACL1 antibody) at dilution of 1:500 |
|
| 注意事项 | NCEH1 antibody|NCEH1抗体仅供科研使用 |

风险提示:丁香通仅作为第三方平台,为商家信息发布提供平台空间。用户咨询产品时请注意保护个人信息及财产安全,合理判断,谨慎选购商品,商家和用户对交易行为负责。对于医疗器械类产品,请先查证核实企业经营资质和医疗器械产品注册证情况。
文献和实验抗肝肾微粒体抗体(LKM)是一种自身抗体。是诊断II型自身免疫性肝炎的血清学指标,靶抗原为LKM-1(细胞色素P450IID6)、LKM-2、LKM-3和肝微粒体。 自身免疫性肝炎按血清学标志至少可分为三型:Ⅰ型(“狼疮样”肝炎)以出现抗核抗体(ANA)、平滑肌抗体(ASMA)、肝细胞膜抗体(LMA抗体)为特征;Ⅱ型以出现LKM抗体为特征;Ⅲ型以出现可溶性肝抗原抗体(SLA抗体)为特征。 LKM-1抗体为自身免疫性肝炎Ⅱ型的血清
附加FLAG tag、PA tag、IDH1 (IDH1-FLAG-PA)的骨肉瘤细胞裂解液为电泳样品。(A)泳道1在一次抗体中加入1μg/Mlnz-1,二抗使用抗大鼠Pa tag NZ-1抗体,泳道2在一抗中加入3.5μg/Mlm2,二抗使用抗小鼠FLAG抗体,这两个条件的样品的转录膜经CBB染色再进行比较。结果由于二抗不同产生了一些差别,用PA TAG/NZ-1法可以很好地见到目的条带。(B)在一抗中加入1μg/Mlnz-1,二抗使用抗大鼠Pa tag NZ-1抗体的条件下,对一次抗体
HBeAb(+)的HBV感染者中,加查前S1抗原是非常必要的。 三、为什么检测HBV-DNA还要检测前S1抗原? 1.前S1蛋白是乙型肝炎病毒(HBV)外膜蛋白的主要专长部分,它含有肝细胞受体,在HBV感染细胞和机体免疫应答方面起重要作用。在病毒感染机体的整个周期中,前S1蛋白的独特功能,使其能够较充分的反应机体的体液免疫状况,直至病程的转归过程(如早期诊断,急性肝炎前S1抗原阴转是病毒清除的最早迹象,反之疾病将发展至慢性肝炎等临床诊断以及前S1抗原阴转,前S1抗体出现等免疫
技术资料暂无技术资料 索取技术资料











