相关产品推荐更多 >
万千商家帮你免费找货
0 人在求购买到急需产品
- 详细信息
- 文献和实验
- 技术资料
- 免疫原:
complement component 4A(Rodgers blood group)
- 亚型:
IgG
- 形态:
liquid
- 保存条件:
-20℃ 12月
- 克隆性:
polyclonal
- 标记物:
未标记
- 适应物种:
Human
- 保质期:
-20℃ 12月
- 抗原来源:
complement component 4A(Rodgers blood group)
- 目录编号:
FNab01111
- 级别:
科研
- 库存:
100
- 供应商:
武汉菲恩生物科技有限公司
- 宿主:
Rabbit
- 应用范围:
ELISA, WB, IHC
- 靶点:
C4(alpha chain)
- 抗体英文名:
C4(alpha chain) antibody
- 抗体名:
C4(alpha chain)抗体
- 规格:
50ug/100ug
| 规格: | 50ug | 产品价格: | ¥1050.0 |
|---|---|---|---|
| 规格: | 100ug | 产品价格: | ¥1750.0 |

产品介绍
| 产品名称 | C4(alpha chain) antibody |
| 中文名称 | C4(alpha chain)抗体 |
| 货号 | FNab01111 |
| 规格 | 50ug/100ug |
| 宿主 | Rabbit |
| 反应种属 | Human |
| 验证应用 | ELISA, WB, IHC |
| 状态 | liquid |
| 纯化方法 | Immunogen affinity purified |
| 纯度 | ≥95% as determined by SDS-PAGE |
| 克隆性 | polyclonal |
| 亚型 | IgG |
| 免疫原 | complement component 4A(Rodgers blood group) |
| 免疫原别称 | Complement C4-A|Acidic complement C4|C3 and PZP-like alpha-2-macroglobulin domain-containing protein 2|Complement C4 beta chain|Complement C4-A alpha chain|C4a anaphylatoxin|C4b-A|C4d-A|Complement C4 gamma chain|C4A|CO4|CPAMD2 |
| Uniprot ID | P0C0L4 |
| 分子量 | 95 kDa |
| 建议稀释比例 | WB: 1:1000-1:6000; IHC: 1:50-1:500 |
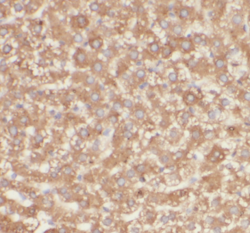
| 验证图片 | Immunohistochemistry of paraffin-embedded human liver tissue slide using FNab01111( C4 (alpha chain) antibody at dilution of 1:200 human blood tissue were subjected to SDS PAGE followed by western blot with FNab01111( C4 (alpha chain) antibody at dilution of 1:3000 |
| 存储 | PBS with 0.02% sodium azide and 50% glycerol pH 7.3, -20℃ for 12 months(Avoid repeated freeze / thaw cycles.) |
| 注意事项 | C4(alpha chain) antibody仅供科研使用 |
菲恩生物抗体产品优势
种类齐全:有10000多种经过验证的免多抗和小鼠单抗,包括流式抗体、内参抗体、标签抗体、小分子化合物抗体、对照抗体等;
多种标记/非标记二抗:针对兔、羊、小鼠、大鼠、人等多个种属。100多种标记二抗,标记物包括HRP、Biotin、FITC、Cy3、Alexa Fluor 488、Alexa Fluor 594等,通过了蛋白质印迹、免疫荧光、免疫组织化学、流式细胞术和ELISA等免疫学相关应用的充分验证,可满足各种实验需求;
验证过多种实验:ELISA、WB、IHC、IF、IP、FC等应用,并进行了广泛的物种交叉实验。
风险提示:丁香通仅作为第三方平台,为商家信息发布提供平台空间。用户咨询产品时请注意保护个人信息及财产安全,合理判断,谨慎选购商品,商家和用户对交易行为负责。对于医疗器械类产品,请先查证核实企业经营资质和医疗器械产品注册证情况。
文献和实验上海西唐生物科技有限公司 021-55229872, 65333639 www.westang.com 大鼠补体 C4(C4)ELISA 试剂盒 ( 用于血清、血浆、细胞培养上清液和尿液生物体液内 ) 原理 本实验采用双抗体夹心 ABC-ELISA 法。用抗大鼠 C4 单抗包被于酶标板上,标准品和样品中的 C4 与单抗结合,加入生物素化的抗大鼠 C4 ,形成免疫复合物连接在板上,辣根
Antibody Affinity Maturation by Chain Shuffling
Phage display can be used to increase the affinity of antibodies more than 1,000-fold (1 ,2 ). The starting point is typically a specific antibody isolated from a phage antibody library (see Chapter 8 ). To accomplish affinity maturation
Human Complement Components C4A and C4B Genetic Diversities: Complex Genotypes and Phenotypes
for 3.5 hr. The heterogeneities of C4 protein samples were the results of complex glycosylations and incomplete processing of the α‐ and β‐chain carboxyl termini. Notice that neuraminidase and carboxyl peptidase B digests greatly reduced the complexity of C4
技术资料暂无技术资料 索取技术资料








