相关产品推荐更多 >
万千商家帮你免费找货
0 人在求购买到急需产品
- 详细信息
- 文献和实验
- 技术资料
- 免疫原:
fumarate hydratase
- 亚型:
IgG
- 形态:
liquid
- 保存条件:
-20℃ 12月
- 克隆性:
polyclonal
- 标记物:
未标记
- 适应物种:
Human, Mouse, Rat
- 保质期:
-20℃ 12月
- 抗原来源:
fumarate hydratase
- 目录编号:
FNab03106
- 级别:
科研
- 库存:
100
- 供应商:
武汉菲恩生物科技有限公司
- 宿主:
Rabbit
- 应用范围:
ELISA, WB, IHC, IF, FC, IP
- 靶点:
FH
- 抗体英文名:
FH antibody
- 抗体名:
FH抗体
- 规格:
50ug/100ug
| 规格: | 50ug | 产品价格: | ¥1050.0 |
|---|---|---|---|
| 规格: | 100ug | 产品价格: | ¥1750.0 |

产品介绍
| 产品名称 | FH antibody |
| 中文名称 | FH抗体 |
| 货号 | FNab03106 |
| 规格 | 50ug/100ug |
| 宿主 | Rabbit |
| 反应种属 | Human, Mouse, Rat |
| 验证应用 | ELISA, WB, IHC, IF, FC, IP |
| 状态 | liquid |
| 纯化方法 | Immunogen affinity purified |
| 纯度 | ≥95% as determined by SDS-PAGE |
| 克隆性 | polyclonal |
| 亚型 | IgG |
| 免疫原 | fumarate hydratase |
| 免疫原别称 | Fumarate hydratase, mitochondrial (Fumarase, HsFH)|FH |
| Uniprot ID | P07954 |
| 分子量 | 50 kDa |
| 建议稀释比例 | WB: 1:500-1:2000; IP: 1:500-1:2000; IHC: 1:20-1:200; IF: 1:10-1:100 |
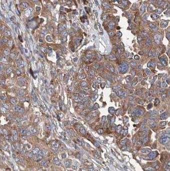
| 验证图片 |
Immunohistochemistry of paraffin-embedded human ovary tumor using FNab03106(FH antibody) at dilution of 1:50
Immunofluorescent analysis of HepG2 cells using FNab03106 (FH antibody) at dilution of 1:25 and Alexa Fluor 488-conjugated Goat Anti-Rabbit IgG(H+L) IP Result of anti-FH (IP: FNab03106, 4ug; Detection: FNab03106 1:1000) with HepG2 cells lysate 2000ug.
HeLa cells were subjected to SDS PAGE followed by western blot with FNab03106(FH antibody) at dilution of 1:1000 |
| 存储 | PBS with 0.02% sodium azide and 50% glycerol pH 7.3, -20℃ for 12 months(Avoid repeated freeze / thaw cycles.) |
| 注意事项 | FH antibody仅供科研使用 |
菲恩生物抗体产品优势
种类齐全:有10000多种经过验证的免多抗和小鼠单抗,包括流式抗体、内参抗体、标签抗体、小分子化合物抗体、对照抗体等;
多种标记/非标记二抗:针对兔、羊、小鼠、大鼠、人等多个种属。100多种标记二抗,标记物包括HRP、Biotin、FITC、Cy3、Alexa Fluor 488、Alexa Fluor 594等,通过了蛋白质印迹、免疫荧光、免疫组织化学、流式细胞术和ELISA等免疫学相关应用的充分验证,可满足各种实验需求;
验证过多种实验:ELISA、WB、IHC、IF、IP、FC等应用,并进行了广泛的物种交叉实验。
风险提示:丁香通仅作为第三方平台,为商家信息发布提供平台空间。用户咨询产品时请注意保护个人信息及财产安全,合理判断,谨慎选购商品,商家和用户对交易行为负责。对于医疗器械类产品,请先查证核实企业经营资质和医疗器械产品注册证情况。
文献和实验Purification, Quantification, and Functional Analysis of Complement Factor H
a monoclonal anti-FH antibody as ligand. Other affinity chromatography ligands, including cardiolipin and trinitrophenyl-bovine serum albumin (TNP-BSA), can be used to purify human FH and also FH from a wide range of vertebrates, including mammals, birds, bony
a variety of cellular sources from human olfactory epithelium (Hahn et al., 2005) and neural progenitors (Nieoullon et al., 2005) to neural stem cells (Chu et al., 2004). BrdU antibody from Abcam Identification of the labelled cells can be applied
免疫诊断产品开发的基础——蛋白质,是一种生物大分子,它根据希腊神话中一位多变的艺术形象——Proteus(希腊海神)而命名。如同他们共通的名字所展示的那样,蛋白质具有改变自身构型的能力,不过这也导致了其活性的丧失。因此,例如抗体、凝集素、酶等蛋白质试剂所具有的特异性结合、催化反应功能,对在预处理、贮存、使用加工等操作过程中存在的潜在有害影响非常敏感。本文将对关系到体外诊断产品的各种蛋白质稳定性问题进行讨论。一部分问题是关于进行干燥处理的蛋白质的稳定性,另一部分是关于保持在溶液状态的蛋白质的稳定
技术资料暂无技术资料 索取技术资料








