相关产品推荐更多 >
万千商家帮你免费找货
0 人在求购买到急需产品
- 详细信息
- 文献和实验
- 技术资料
- 免疫原:
family with sequence similarity 175, member A
- 亚型:
IgG
- 形态:
liquid
- 保存条件:
-20℃ 12月
- 克隆性:
polyclonal
- 标记物:
未标记
- 适应物种:
Human, Mouse, Rat
- 保质期:
-20℃ 12月
- 抗原来源:
family with sequence similarity 175, member A
- 目录编号:
FNab02974
- 级别:
科研
- 库存:
100
- 供应商:
武汉菲恩生物科技有限公司
- 宿主:
Rabbit
- 应用范围:
ELISA, WB, IHC, IF
- 靶点:
ABRAXAS1
- 抗体英文名:
ABRAXAS1 antibody
- 抗体名:
ABRAXAS1抗体
- 规格:
50ug/100ug
| 规格: | 50ug | 产品价格: | ¥1140.0 |
|---|---|---|---|
| 规格: | 100ug | 产品价格: | ¥1900.0 |

产品介绍
| 产品名称 | ABRAXAS1 antibody |
| 中文名称 | ABRAXAS1抗体 |
| 货号 | FNab02974 |
| 规格 | 50ug/100ug |
| 宿主 | Rabbit |
| 反应种属 | Human, Mouse, Rat |
| 验证应用 | ELISA, WB, IHC, IF |
| 状态 | liquid |
| 纯化方法 | Immunogen affinity purified |
| 纯度 | ≥95% as determined by SDS-PAGE |
| 克隆性 | polyclonal |
| 亚型 | IgG |
| 免疫原 | family with sequence similarity 175, member A |
| 免疫原别称 | BRCA1-A complex subunit Abraxas 1|Coiled-coil domain-containing protein 98|Protein FAM175A|ABRAXAS1|ABRA1|CCDC98|FAM175A |
| Uniprot ID | Q6UWZ7 |
| 分子量 | 46 kDa |
| 建议稀释比例 | WB: 1:500-1:2400; IHC: 1:20-1:200; IF: 1:20-1:200 |
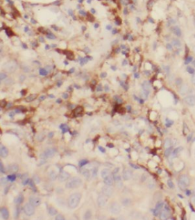
| 验证图片 | Immunohistochemistry of paraffin-embedded human breast cancer using FNab02974(FAM175A antibody) at dilution of 1:100 human testis tissue were subjected to SDS PAGE followed by western blot with FNab02974(FAM175A antibody) at dilution of 1:500 |
| 存储 | PBS with 0.02% sodium azide and 50% glycerol pH 7.3, -20℃ for 12 months(Avoid repeated freeze / thaw cycles.) |
| 注意事项 | ABRAXAS1 antibody仅供科研使用 |
菲恩生物抗体产品优势
种类齐全:有10000多种经过验证的免多抗和小鼠单抗,包括流式抗体、内参抗体、标签抗体、小分子化合物抗体、对照抗体等;
多种标记/非标记二抗:针对兔、羊、小鼠、大鼠、人等多个种属。100多种标记二抗,标记物包括HRP、Biotin、FITC、Cy3、Alexa Fluor 488、Alexa Fluor 594等,通过了蛋白质印迹、免疫荧光、免疫组织化学、流式细胞术和ELISA等免疫学相关应用的充分验证,可满足各种实验需求;
验证过多种实验:ELISA、WB、IHC、IF、IP、FC等应用,并进行了广泛的物种交叉实验。
风险提示:丁香通仅作为第三方平台,为商家信息发布提供平台空间。用户咨询产品时请注意保护个人信息及财产安全,合理判断,谨慎选购商品,商家和用户对交易行为负责。对于医疗器械类产品,请先查证核实企业经营资质和医疗器械产品注册证情况。
文献和实验指母亲性状传给雄性子代,父亲性状传给雌性子代的现象。在性别决定为雄异配型的种属中(即 XY型或 XO型)。具有隐性纯合的伴性基因的母体与正常父体交配时, F1 即显示交叉遗传现象。相反,在雌异配型的种属中,交叉遗传只发生母体正常、父体具有隐性纯合伴性基因的杂交组合中。一般来说, Y染色体上或 W染色体上,大部分为不活性区段,因而不具有与 X和 Z染色体上基因相对应的等位基因。摩尔根( 1911)在红眼果蝇与朱砂眼果蝇的杂交试验中最先使用了交叉
抗肝肾微粒体抗体(LKM)是一种自身抗体。是诊断II型自身免疫性肝炎的血清学指标,靶抗原为LKM-1(细胞色素P450IID6)、LKM-2、LKM-3和肝微粒体。 自身免疫性肝炎按血清学标志至少可分为三型:Ⅰ型(“狼疮样”肝炎)以出现抗核抗体(ANA)、平滑肌抗体(ASMA)、肝细胞膜抗体(LMA抗体)为特征;Ⅱ型以出现LKM抗体为特征;Ⅲ型以出现可溶性肝抗原抗体(SLA抗体)为特征。 LKM-1抗体为自身免疫性肝炎Ⅱ型的血清
附加FLAG tag、PA tag、IDH1 (IDH1-FLAG-PA)的骨肉瘤细胞裂解液为电泳样品。(A)泳道1在一次抗体中加入1μg/Mlnz-1,二抗使用抗大鼠Pa tag NZ-1抗体,泳道2在一抗中加入3.5μg/Mlm2,二抗使用抗小鼠FLAG抗体,这两个条件的样品的转录膜经CBB染色再进行比较。结果由于二抗不同产生了一些差别,用PA TAG/NZ-1法可以很好地见到目的条带。(B)在一抗中加入1μg/Mlnz-1,二抗使用抗大鼠Pa tag NZ-1抗体的条件下,对一次抗体
技术资料暂无技术资料 索取技术资料







