相关产品推荐更多 >
万千商家帮你免费找货
0 人在求购买到急需产品
- 详细信息
- 文献和实验
- 技术资料
- 免疫原:
Kruppel-like factor 4 (gut)
- 亚型:
IgG
- 形态:
liquid
- 保存条件:
-20℃ 12月
- 克隆性:
polyclonal
- 标记物:
未标记
- 适应物种:
Human, Mouse, Rat
- 保质期:
-20℃ 12月
- 抗原来源:
Kruppel-like factor 4 (gut)
- 目录编号:
FNab04602
- 级别:
科研
- 库存:
100
- 供应商:
武汉菲恩生物科技有限公司
- 宿主:
Rabbit
- 应用范围:
ELISA, IHC, WB
- 靶点:
KLF4
- 抗体英文名:
KLF4 antibody
- 抗体名:
KLF4抗体
- 规格:
50ug/100ug
| 规格: | 50ug | 产品价格: | ¥1050.0 |
|---|---|---|---|
| 规格: | 100ug | 产品价格: | ¥1750.0 |

产品介绍
| 产品名称 | KLF4 antibody |
| 中文名称 | KLF4抗体 |
| 货号 | FNab04602 |
| 规格 | 50ug/100ug |
| 宿主 | Rabbit |
| 反应种属 | Human, Mouse, Rat |
| 验证应用 | ELISA, IHC, WB |
| 状态 | liquid |
| 纯化方法 | Immunogen affinity purified |
| 纯度 | ≥95% as determined by SDS-PAGE |
| 克隆性 | polyclonal |
| 亚型 | IgG |
| 免疫原 | Kruppel-like factor 4 (gut) |
| 免疫原别称 | Krueppel-like factor 4|Epithelial zinc finger protein EZF|Gut-enriched krueppel-like factor|KLF4|EZF|GKLF |
| Uniprot ID | O43474 |
| 分子量 | 50 kDa |
| 建议稀释比例 | WB: 1:500 - 1:2000; IHC: 1:50 - 1:200 |
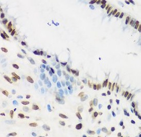
| 验证图片 | Immunohistochemistry of paraffin-embedded human stomach cancer using FNab04602(KLF4 antibody) at dilution of 1:50 HeLa cells were subjected to SDS PAGE followed by western blot with FNab04602(KLF4 antibody) at dilution of 1:1000 |
| 存储 | PBS with 0.02% sodium azide and 50% glycerol pH 7.3, -20℃ for 12 months (Avoid repeated freeze / thaw cycles.) |
| 注意事项 | KLF4 antibody仅供科研使用 |
菲恩生物抗体产品优势
种类齐全:有10000多种经过验证的免多抗和小鼠单抗,包括流式抗体、内参抗体、标签抗体、小分子化合物抗体、对照抗体等;
多种标记/非标记二抗:针对兔、羊、小鼠、大鼠、人等多个种属。100多种标记二抗,标记物包括HRP、Biotin、FITC、Cy3、Alexa Fluor 488、Alexa Fluor 594等,通过了蛋白质印迹、免疫荧光、免疫组织化学、流式细胞术和ELISA等免疫学相关应用的充分验证,可满足各种实验需求;
验证过多种实验:ELISA、WB、IHC、IF、IP、FC等应用,并进行了广泛的物种交叉实验。
风险提示:丁香通仅作为第三方平台,为商家信息发布提供平台空间。用户咨询产品时请注意保护个人信息及财产安全,合理判断,谨慎选购商品,商家和用户对交易行为负责。对于医疗器械类产品,请先查证核实企业经营资质和医疗器械产品注册证情况。
文献和实验NEB 发布:GenomONE™ 为诱导 iPSC 形成「保驾护航」
系统中的重要作用,怎么样能高效地,精准地利用诱导性多能性间充质干细胞(iPSC)生成骨髓间充质干细胞呢?研究发现使用灭活的病毒颗粒,包装和表达四个纯化重组 Yamanaka 转录因子(Sox2、Oct4,Klf4 和 c-Myc),从而引起人初级成纤维细胞的重编程。全基因组亚硫酸盐测序分析人类 iPMSCs 的全基因组 CpG 甲基化。使用 Western blot、荧光定量 PCR、免疫荧光,和体外分化评估 iPMSCs 的多能性。结果表明这些 iPS 细胞在体外和体内都成功分化成三个胚层的细胞
8.9 Science鉴定出引发过敏反应的免疫细胞亚型Tfh13细胞;Nature子刊发现体细胞重编程的起始分子机制
。Tfh13 细胞负责指导产生抗体的 B 细胞产生高亲和力的 IgE,并且 Tfh13 细胞可能是包括过敏性休克在内的过敏性疾病所必需的。他们说,靶向 Tfh13 细胞可能代表着一种预防或治疗过敏性疾病的新策略。原文检索:Identification of a T follicular helper cell subset that drives anaphylactic IgE ② Nature 子刊提出新观点:体细胞重编程的起始分子机制体细胞多能性重编程技术可通过使用重编程转录因子 (主要
京都大学再生医学研究所的山中伸弥教授等确立的方法,即用逆转录病毒载体,将KLF4、SOX2、OCT4、c—MYC 四种因子导入细胞。在检查培养的iPS细胞和患者是否携带相同基因变异的同时,也考察了基因表达谱和抗原一抗体反应谱,据此确认所得到的iPS细胞是ES细胞样细胞。iPS细胞分化为运动性神经元和神经胶质细胞的程序,借用了小鼠和人细胞诱导分化的做法。虽然因使用逆转录病毒载体可能将外源基因在多处随机导入,但不会对诱导分化产生影响。经过诱导分化处理之后,已经确认在运动性神经元细胞有特异性转录因子的表达
技术资料暂无技术资料 索取技术资料








