相关产品推荐更多 >
万千商家帮你免费找货
0 人在求购买到急需产品
- 详细信息
- 询价记录
- 文献和实验
- 技术资料
- 免疫原:
mucin 1, cell surface associated
- 亚型:
IgG
- 形态:
liquid
- 保存条件:
-20℃ 12月
- 克隆性:
polyclonal
- 标记物:
未标记
- 适应物种:
Human, Mouse, Rat
- 保质期:
-20℃ 12月
- 抗原来源:
mucin 1, cell surface associated
- 目录编号:
FNab05427
- 级别:
科研
- 库存:
100
- 供应商:
武汉菲恩生物科技有限公司
- 宿主:
Rabbit
- 应用范围:
ELISA, WB, IHC
- 靶点:
MUC1
- 抗体英文名:
MUC1 antibody
- 抗体名:
MUC1抗体
- 规格:
50ug/100ug
| 规格: | 50ug | 产品价格: | ¥1260.0 |
|---|---|---|---|
| 规格: | 100ug | 产品价格: | ¥2100.0 |

产品介绍
| 产品名称 | MUC1 antibody |
| 中文名称 | MUC1抗体 |
| 货号 | FNab05427 |
| 规格 | 50ug/100ug |
| 宿主 | Rabbit |
| 反应种属 | Human, Mouse, Rat |
| 验证应用 | ELISA, WB, IHC |
| 状态 | liquid |
| 纯化方法 | Immunogen affinity purified |
| 纯度 | ≥95% as determined by SDS-PAGE |
| 克隆性 | polyclonal |
| 亚型 | IgG |
| 免疫原 | mucin 1, cell surface associated |
| 免疫原别称 | Mucin-1 (MUC-1)|Breast carcinoma-associated antigen DF3|Cancer antigen 15-3 (CA 15-3)|Carcinoma-associated mucin|Episialin|H23AG|Krebs von den Lungen-6 (KL-6)|PEMT|Peanut-reactive urinary mucin (PUM)|Polymorphic epithelial mucin (PEM)|Tumor-associated epithelial membrane antigen (EMA)|Tumor-associated mucin|Mucin-1 subunit alpha (MUC1-NT, MUC1-alpha)|Mucin-1 subunit beta (MUC1-beta) Alternative names: MUC1-CT|MUC1|PUM |
| Uniprot ID | P15941 |
| 分子量 | 122 kDa、23-30 kDa |
| 建议稀释比例 | WB: 1:500-1:5000; IHC: 1:20-1:200 |
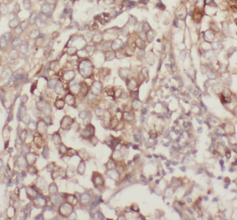
| 验证图片 | Immunohistochemistry of paraffin-embedded human lung cancer using FNab05427(CA15-3,MUC1 antibody) at dilution of 1:50 A431 cells were subjected to SDS PAGE followed by western blot with FNab05427(CA15-3,MUC1 antibody) at dilution of 1:1500 |
| 存储 | PBS with 0.02% sodium azide and 50% glycerol pH 7.3, -20℃ for 12 months(Avoid repeated freeze / thaw cycles.) |
| 注意事项 | MUC1 antibody仅供科研使用 |
菲恩生物抗体产品优势
种类齐全:有10000多种经过验证的免多抗和小鼠单抗,包括流式抗体、内参抗体、标签抗体、小分子化合物抗体、对照抗体等;
多种标记/非标记二抗:针对兔、羊、小鼠、大鼠、人等多个种属。100多种标记二抗,标记物包括HRP、Biotin、FITC、Cy3、Alexa Fluor 488、Alexa Fluor 594等,通过了蛋白质印迹、免疫荧光、免疫组织化学、流式细胞术和ELISA等免疫学相关应用的充分验证,可满足各种实验需求;
验证过多种实验:ELISA、WB、IHC、IF、IP、FC等应用,并进行了广泛的物种交叉实验。
风险提示:丁香通仅作为第三方平台,为商家信息发布提供平台空间。用户咨询产品时请注意保护个人信息及财产安全,合理判断,谨慎选购商品,商家和用户对交易行为负责。对于医疗器械类产品,请先查证核实企业经营资质和医疗器械产品注册证情况。
- 作者
- 内容
- 询问日期
文献和实验Isolation of Human Fab Fragments Against Ovarian Carcinoma Using Guided Selection
on aspects such as mechanisms of action, preclinical screening, and clinical results, see specific references in Table 1 and an excellent recent review (1 ). Table 1 Target Antigens Potentially Suited for Antibody-Based Immunotherapy of Ovarian
多篇 SCI 发现用 RIPA 提蛋白存在问题,我们该如何应对?
公司把它变成了现实,来自美国专利技术离心管柱蛋白提取法,只需您加入裂解液,过柱离心,不产生不可溶组分,1 分钟轻松解决蛋白提取丢失问题。参考文献Alcaraz, C, et al. (1990) . Comparison of a radioimmunoprecipitation assay to immunoblotting and ELISA for detection of antibody to African swine fever virus. J. Vet. Diagn
技术资料暂无技术资料 索取技术资料







