相关产品推荐更多 >
万千商家帮你免费找货
0 人在求购买到急需产品
- 详细信息
- 询价记录
- 文献和实验
- 技术资料
- 免疫原:
matrix metallopeptidase 2 (gelatinase A, 72kDa gelatinase, 72kDa type IV collagenase)
- 亚型:
IgG
- 形态:
liquid
- 保存条件:
-20℃ 12月
- 克隆性:
polyclonal
- 标记物:
未标记
- 适应物种:
Human, Mouse, Rat
- 保质期:
-20℃ 12月
- 抗原来源:
matrix metallopeptidase 2 (gelatinase A, 72kDa gelatinase, 72kDa type IV collagenase)
- 目录编号:
FNab05238
- 级别:
科研
- 库存:
100
- 供应商:
武汉菲恩生物科技有限公司
- 宿主:
Rabbit
- 应用范围:
ELISA, WB, IHC
- 靶点:
MMP2
- 抗体英文名:
MMP2 antibody
- 抗体名:
MMP2抗体
- 规格:
50ug/100ug
| 规格: | 50ug | 产品价格: | ¥900.0 |
|---|---|---|---|
| 规格: | 100ug | 产品价格: | ¥1500.0 |

产品介绍
| 产品名称 | MMP2 antibody |
| 中文名称 | MMP2抗体 |
| 货号 | FNab05238 |
| 规格 | 50ug/100ug |
| 宿主 | Rabbit |
| 反应种属 | Human, Mouse, Rat |
| 验证应用 | ELISA, WB, IHC |
| 状态 | liquid |
| 纯化方法 | Immunogen affinity purified |
| 纯度 | ≥95% as determined by SDS-PAGE |
| 克隆性 | polyclonal |
| 亚型 | IgG |
| 免疫原 | matrix metallopeptidase 2 (gelatinase A, 72kDa gelatinase, 72kDa type IV collagenase) |
| 免疫原别称 | 72 kDa type IV collagenase|72 kDa gelatinase|Gelatinase A|Matrix metalloproteinase-2 (MMP-2)|TBE-1|PEX|MMP2|CLG4A |
| Uniprot ID | P08253 |
| 分子量 | 72 kDa |
| 建议稀释比例 | WB: 1:500 - 1:2000; IHC: 1:50 - 1:200 |
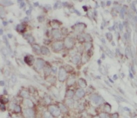
| 验证图片 | Immunohistochemistry of paraffin-embedded human breast cancer tissue slide using FNab05238( MMP2 Antibody) at dilution of 1:200 MCF7 cells were subjected to SDS PAGE followed by western blot with FNab05238(MMP2 antibody) at dilution of 1:1000 |
| 存储 | PBS with 0.02% sodium azide and 50% glycerol pH 7.3, -20℃ for 12 months (Avoid repeated freeze / thaw cycles.) |
| 注意事项 | MMP2 antibody仅供科研使用 |
菲恩生物抗体产品优势
种类齐全:有10000多种经过验证的免多抗和小鼠单抗,包括流式抗体、内参抗体、标签抗体、小分子化合物抗体、对照抗体等;
多种标记/非标记二抗:针对兔、羊、小鼠、大鼠、人等多个种属。100多种标记二抗,标记物包括HRP、Biotin、FITC、Cy3、Alexa Fluor 488、Alexa Fluor 594等,通过了蛋白质印迹、免疫荧光、免疫组织化学、流式细胞术和ELISA等免疫学相关应用的充分验证,可满足各种实验需求;
验证过多种实验:ELISA、WB、IHC、IF、IP、FC等应用,并进行了广泛的物种交叉实验。
风险提示:丁香通仅作为第三方平台,为商家信息发布提供平台空间。用户咨询产品时请注意保护个人信息及财产安全,合理判断,谨慎选购商品,商家和用户对交易行为负责。对于医疗器械类产品,请先查证核实企业经营资质和医疗器械产品注册证情况。
- 作者
- 内容
- 询问日期
文献和实验Western Blot与Southern或Northern杂交方法类似,不同的是其采用聚丙烯酰胺凝胶电泳,被检测物是蛋白质,“探针”是抗体,“显色”用标记的二抗。经过PAGE分离的蛋白质样品,转移到固相载体(如硝酸纤维素薄膜)上,固相载体以非共价键形式吸附蛋白质,且能保持电泳分离的多肽的类型及其生物学活性不变。以固相载体上的蛋白质或多肽作为抗原,与对应的抗体起免疫反应,再与酶标记的二抗起反应,并经过底物显色检测电泳分离的特异性目的基因表达的蛋白。该技术也广泛应用于检测蛋白水平的表达。 万类
High‐Throughput, Multiplexed Analysis of 3‐Nitrotyrosine in Individual Proteins
. In addition, modifications in single?tissue?associated proteins released into blood can provide insight into the tissue localization of the inflammation or oxidative stress. We have developed an enzyme?linked immunosorbent assay antibody microarray platform
【资源】蛋白版2006年04月无人应助帖,请广大战友积极应助,加分从优!
/post/view?bid=65&id=5898850&sty=1&tpg=23&age=0 【求助】细胞上清中MMP2活性的检测? http://www.dxy.cn/bbs/post/view?bid=65&id=5898093&sty=1&tpg=23&age=0 【求助】请问想检测血液中的b-内腓肽和脑脊液中的神经肽可以用Western blot吗? http://www.dxy.cn/bbs/post/view?bid=65&id=5896625&sty=1&tpg=23
技术资料暂无技术资料 索取技术资料









