相关产品推荐更多 >
万千商家帮你免费找货
0 人在求购买到急需产品
- 详细信息
- 文献和实验
- 技术资料
- 免疫原:
vimentin
- 亚型:
IgG1
- 形态:
liquid
- 保存条件:
-20℃ 12月
- 克隆性:
monoclonal
- 标记物:
未标记
- 适应物种:
Human, Mouse, Rat
- 保质期:
-20℃ 12月
- 抗原来源:
vimentin
- 目录编号:
FNab09410
- 级别:
科研
- 库存:
100
- 供应商:
武汉菲恩生物科技有限公司
- 宿主:
Mouse
- 应用范围:
ELISA, WB, IHC
- 靶点:
VIM
- 抗体英文名:
VIM antibody
- 抗体名:
VIM抗体
- 规格:
50ug/100ug
| 规格: | 50ug | 产品价格: | ¥1260.0 |
|---|---|---|---|
| 规格: | 100ug | 产品价格: | ¥2100.0 |

产品介绍
| 产品名称 | VIM antibody |
| 中文名称 | VIM抗体 |
| 货号 | FNab09410 |
| 规格 | 50ug/100ug |
| 宿主 | Mouse |
| 反应种属 | Human, Mouse, Rat |
| 验证应用 | ELISA, WB, IHC |
| 状态 | liquid |
| 纯化方法 | Protein A+G purification |
| 纯度 | ≥95% as determined by SDS-PAGE |
| 克隆性 | monoclonal |
| 亚型 | IgG1 |
| 免疫原 | vimentin |
| 免疫原别称 | Vimentin|VIM |
| Uniprot ID | P08670 |
| 分子量 | 55 kDa |
| 建议稀释比例 | WB: 1:1000-1:10000; IHC: 1:200-1:2000; IF: 1:20-1:200 |
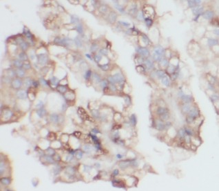
| 验证图片 | Immunohistochemistry of paraffin-embedded human renal cell carcinoma tissue slide using FNab09410(Vimentin Antibody) at dilution of 1:500. Jurkat cells were subjected to SDS PAGE followed by western blot with FNab09410(Vimentin Antibody) at dilution of 1:2000 |
| 存储 | PBS with 0.02% sodium azide and 50% glycerol pH 7.3, -20℃ for 12 months(Avoid repeated freeze / thaw cycles.) |
| 注意事项 | VIM antibody仅供科研使用 |
菲恩生物抗体产品优势
种类齐全:有10000多种经过验证的免多抗和小鼠单抗,包括流式抗体、内参抗体、标签抗体、小分子化合物抗体、对照抗体等;
多种标记/非标记二抗:针对兔、羊、小鼠、大鼠、人等多个种属。100多种标记二抗,标记物包括HRP、Biotin、FITC、Cy3、Alexa Fluor 488、Alexa Fluor 594等,通过了蛋白质印迹、免疫荧光、免疫组织化学、流式细胞术和ELISA等免疫学相关应用的充分验证,可满足各种实验需求;
验证过多种实验:ELISA、WB、IHC、IF、IP、FC等应用,并进行了广泛的物种交叉实验。
风险提示:丁香通仅作为第三方平台,为商家信息发布提供平台空间。用户咨询产品时请注意保护个人信息及财产安全,合理判断,谨慎选购商品,商家和用户对交易行为负责。对于医疗器械类产品,请先查证核实企业经营资质和医疗器械产品注册证情况。
文献和实验CD65/CD65s 分子 CD65 常用单克隆抗体或代号: VIM2,HE10,CF4 主要表达细胞: PMN [M] 分子质量(kDa)和结构: 岩藻糖基神经节苷脂 功 能: 中性粒细胞活化 CD65s 常用单克隆抗体或代号: 88H7 主要表达细胞: PMN,M [M] 分子质量(kDa)和结构: Siapoly- sialyl- n
所发生的肿瘤,是肿瘤病理学中最棘手和最疑难的问题之一。随着免疫组化技术在肿瘤鉴别诊断中的应用,已经克服了许多以往无法克服或者难以克服的问题。当前,应用于这方面检测的抗体越来越多,下面将介绍几种常用的抗体: 1.波形蛋白(Vimentin ,Vim) Vim是原始的中间丝,它存在于所有的间叶组织细胞中,可以向神经胶质,肌源性细胞和上皮细胞中间丝演变。Vim是一种单克隆抗体,临床应用来作鉴别诊断的有:鉴别癌与内癌,前者阴性,后者阳性;鉴别小细胞性肿瘤,这时应多用几种抗体,如CK
缩写 全称 中文 AA autoantibody 自身抗体 AAF aminoacetylfluorescence 氨乙酰基荧光 Ab antibody 抗体 ABC avidin-biotin peroxidase complex 抗生物素(亲合素)-生物素-过氧化物酶复合物 ACh acetycholine 乙酰胆碱 AChR acetycholine receptor 乙酰胆碱受体 AChRAb acetycholine
技术资料暂无技术资料 索取技术资料








