相关产品推荐更多 >
万千商家帮你免费找货
0 人在求购买到急需产品
- 详细信息
- 文献和实验
- 技术资料
- 免疫原:
orosomucoid 1
- 亚型:
IgG1
- 形态:
liquid
- 保存条件:
-20℃ 12月
- 克隆性:
monoclonal
- 标记物:
未标记
- 适应物种:
Human
- 保质期:
-20℃ 12月
- 抗原来源:
orosomucoid 1
- 目录编号:
FNab06012
- 级别:
科研
- 库存:
100
- 供应商:
武汉菲恩生物科技有限公司
- 宿主:
Mouse
- 应用范围:
ELISA, WB, IF, IHC
- 靶点:
ORM1/2
- 抗体英文名:
ORM1/2 antibody
- 抗体名:
ORM1/2抗体
- 规格:
50ug/100ug
| 规格: | 50ug | 产品价格: | ¥1260.0 |
|---|---|---|---|
| 规格: | 100ug | 产品价格: | ¥2100.0 |

产品介绍
| 产品名称 | ORM1/2 antibody |
| 中文名称 | ORM1/2抗体 |
| 货号 | FNab06012 |
| 规格 | 50ug/100ug |
| 宿主 | Mouse |
| 反应种属 | Human |
| 验证应用 | ELISA, WB, IF, IHC |
| 状态 | liquid |
| 纯化方法 | Protein A+G purification |
| 纯度 | ≥95% as determined by SDS-PAGE |
| 克隆性 | monoclonal |
| 亚型 | IgG1 |
| 免疫原 | orosomucoid 1 |
| 免疫原别称 | Alpha-1-acid glycoprotein 1 (AGP 1)|Orosomucoid-1 (OMD 1)|ORM1|AGP1 |
| Uniprot ID | P02763 |
| 分子量 | 41 kDa |
| 建议稀释比例 | WB: 1:5000-1:50000; IHC: 1:20-1:200; IF: 1:10-1:100 |
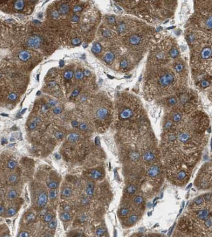
| 验证图片 | Immunohistochemistry of paraffin-embedded human liver slide using FNab06012(ORM1 Antibody) at dilution of 1:50 human blood tissue were subjected to SDS PAGE followed by western blot with FNab06012(ORM1 antibody) at dilution of 1:2000 |
| 存储 | PBS with 0.02% sodium azide and 50% glycerol pH 7.3, -20℃ for 12 months(Avoid repeated freeze / thaw cycles.) |
| 注意事项 | ORM1/2 antibody仅供科研使用 |
菲恩生物抗体产品优势
种类齐全:有10000多种经过验证的免多抗和小鼠单抗,包括流式抗体、内参抗体、标签抗体、小分子化合物抗体、对照抗体等;
多种标记/非标记二抗:针对兔、羊、小鼠、大鼠、人等多个种属。100多种标记二抗,标记物包括HRP、Biotin、FITC、Cy3、Alexa Fluor 488、Alexa Fluor 594等,通过了蛋白质印迹、免疫荧光、免疫组织化学、流式细胞术和ELISA等免疫学相关应用的充分验证,可满足各种实验需求;
验证过多种实验:ELISA、WB、IHC、IF、IP、FC等应用,并进行了广泛的物种交叉实验。
风险提示:丁香通仅作为第三方平台,为商家信息发布提供平台空间。用户咨询产品时请注意保护个人信息及财产安全,合理判断,谨慎选购商品,商家和用户对交易行为负责。对于医疗器械类产品,请先查证核实企业经营资质和医疗器械产品注册证情况。
文献和实验(3)同上。两个磷酸化位点都要做,但是可能在不同的病理条件下,侧重点有所不同,这主要体现在你的论文的讨论中。因此建议实验前多做论文研究,查阅一下别人的发表文章,看看与你的病理模型更相关的是哪个位点。 真爱满行囊 非常感谢你 的回复,现在我遇到的问题是我做出来蛋白总量还有216位点是有变化的,9位因为买的是santa curz的抗体,现在死活做不出来,很头痛,我要说明的问题是他的活性降低,我也看到216位点磷酸化水平降低了,可是现在没有第九位的结果(就是没有办法得到第九
并吸空预洗槽。 3)放置酶标板:放置好酶标板,酶标板行的孔数定于清洗头孔数,二者一致。 4)行选择、洗板:在控制面板上设置好要清洗的行数,按下Start键,开始洗板。 5)复位:按下控制面板上的Reset键,将在任一时间停止当前的清洗程序,系统复位到程序前状态。 6)清洗:仪器用完后,将洗液瓶、废液瓶内液体倒出,用蒸馏水将管道彻底清洗。 (2)Wellwash 4 Mk2洗板机程序卡操作 转换卡上有4个旋式和9个双向式开关,各开关的设置控制洗板机功能可完成不同的洗板程序
博士课题要检测机体免疫功能方面的变化,其中部分使用基因芯片做,在网上查到有以下几种免疫相关基因芯片,不知道哪个更能反映机体的免疫功能改变,有高手指点一下吗?该用哪个基因芯片? 1。免疫信号通路基因芯片(395个基因) 免疫信号通路基因芯片包含了介导免疫应答和炎症的信号转导通路中的重要基因。芯片上的信号转导通路包括:NF-κB信号通路、Calcium/NFAT信号通路、MAP Kinase信号通路、JAK/STAT信号通路、PI3-AKT信号通路、及Toll-like受体信号通路。芯片
技术资料暂无技术资料 索取技术资料







