相关产品推荐更多 >
万千商家帮你免费找货
0 人在求购买到急需产品
- 详细信息
- 文献和实验
- 技术资料
- 免疫原:
intercellular adhesion molecule 1
- 亚型:
IgG1
- 形态:
liquid
- 保存条件:
-20℃ 12月
- 克隆性:
monoclonal
- 标记物:
未标记
- 适应物种:
Human
- 保质期:
-20℃ 12月
- 抗原来源:
intercellular adhesion molecule 1
- 目录编号:
FNab04103
- 级别:
科研
- 库存:
100
- 供应商:
武汉菲恩生物科技有限公司
- 宿主:
Mouse
- 应用范围:
ELISA, IHC, WB, FC
- 靶点:
ICAM1
- 抗体英文名:
ICAM1 antibody
- 抗体名:
ICAM1抗体
- 规格:
50ug/100ug
| 规格: | 50ug | 产品价格: | ¥1140.0 |
|---|---|---|---|
| 规格: | 100ug | 产品价格: | ¥1900.0 |

产品介绍
| 产品名称 | ICAM1 antibody |
| 中文名称 | ICAM1抗体 |
| 货号 | FNab04103 |
| 规格 | 50ug/100ug |
| 宿主 | Mouse |
| 反应种属 | Human |
| 验证应用 | ELISA, IHC, WB, FC |
| 状态 | liquid |
| 纯化方法 | Protein A+G purification |
| 纯度 | ≥95% as determined by SDS-PAGE |
| 克隆性 | monoclonal |
| 亚型 | IgG1 |
| 免疫原 | intercellular adhesion molecule 1 |
| 免疫原别称 | Intercellular adhesion molecule 1 (ICAM-1)|Major group rhinovirus receptor|ICAM1 |
| Uniprot ID | P05362 |
| 分子量 | 85-95 kDa |
| 建议稀释比例 | WB: 1:1000-1:4000; IHC: 1:50-1:500 |
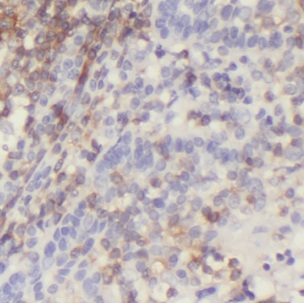
| 验证图片 | Immunohistochemistry of paraffin-embedded human tonsillitis tissue slide using FNab04103(ICAM-1 Antibody) at dilution of 1:50.heat mediated antigen retrieved with Tris-EDTA buffer(pH9). Raji cells were subjected to SDS PAGE followed by western blot with FNab04103(ICAM-1 Antibody) at dilution of 1:2000 |
| 存储 | PBS with 0.02% sodium azide and 50% glycerol pH 7.3, -20℃ for 12 months(Avoid repeated freeze / thaw cycles.) |
| 注意事项 | ICAM1 antibody仅供科研使用 |
菲恩生物抗体产品优势
种类齐全:有10000多种经过验证的免多抗和小鼠单抗,包括流式抗体、内参抗体、标签抗体、小分子化合物抗体、对照抗体等;
多种标记/非标记二抗:针对兔、羊、小鼠、大鼠、人等多个种属。100多种标记二抗,标记物包括HRP、Biotin、FITC、Cy3、Alexa Fluor 488、Alexa Fluor 594等,通过了蛋白质印迹、免疫荧光、免疫组织化学、流式细胞术和ELISA等免疫学相关应用的充分验证,可满足各种实验需求;
验证过多种实验:ELISA、WB、IHC、IF、IP、FC等应用,并进行了广泛的物种交叉实验。
风险提示:丁香通仅作为第三方平台,为商家信息发布提供平台空间。用户咨询产品时请注意保护个人信息及财产安全,合理判断,谨慎选购商品,商家和用户对交易行为负责。对于医疗器械类产品,请先查证核实企业经营资质和医疗器械产品注册证情况。
文献和实验多样的,但它与在大脑小血管中隔离受感染的红细胞(iRBCs)有关。这导致微血管阻塞和到达组织的氧气不足。细胞粘附一些寄生虫起源的分子已经被证实与细胞粘附有关。它们被输出到iRBCs表面,聚集在称为结节的突起中,并与内皮细胞表面表达的粘附分子结合。这种结合被发现通过Rho激酶激活Rho激酶信号通路,Rho激酶是一个小的gtpase家族,充当分子开关。这种激活可以触发内皮细胞的变化,影响血脑屏障。一些研究表明,逆转细胞粘附的治疗可以挽救生命,包括使用单克隆抗体治疗阻断配体-受体相互作用。新方法来自大肠杆菌的蛋白毒素
突起;(2)细胞表面具有丰富的有助于抗原提呈的分子,如持续、高水平的表达MHCⅠ类、Ⅱ类分子,共刺激分子CD80(B71)和CD86(B72),细胞粘附分子CD11a(LFA1),CD11c,CD50(ICAM2),CD54(ICAM1),CD58(LFA3)和CD102(ICAM2),以及淋巴细胞功能相关抗原LFA1、LFA3等。人血中的DC前体开始表达CD2,4,13,16,32,33,但随着成熟渐渐失去表达,而粘附分子、共刺激分子、MHC抗原随着成熟而表达增加[2]。活化后,特别是CD
of ERBB-2 (C), VE-cadherin (D, E), and ICAM-1 (F). Blue, A431 cells infected with the selected pMX-TFZF pools and stained with the corresponding antibody; orange, A431 cells infected with the 3ZF or 6ZF unselected libraries; green, mock-infected cells
技术资料暂无技术资料 索取技术资料









