相关产品推荐更多 >
万千商家帮你免费找货
0 人在求购买到急需产品
- 详细信息
- 文献和实验
- 技术资料
- 品系:
详询
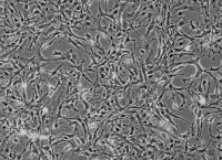
- 细胞类型:
小细胞肺癌
- 肿瘤类型:
详询
- 供应商:
上海晅科生物科技有限公司
- 库存:
100
- 英文名:
NCI-H446
- 生长状态:
贴壁/悬浮
- 年限:
详见说明书
- 运输方式:
常温运输/干冰运输
- 器官来源:
男;61岁
- 是否是肿瘤细胞:
是
- 细胞形态:
上皮细胞样
- 免疫类型:
详询
- 物种来源:
人
- 相关疾病:
小细胞肺癌
- 组织来源:
肺;转移灶:肋膜渗出癌;小细胞肺癌
别称:H446; H-446; NCI-446; NCIH446
种属:人
年龄(性别):男;61岁
生长特性:半贴半悬
细胞形态:上皮细胞样
生长培养基:RPMI-1640(PM150110)+10% FBS(164210-500)+1% P/S(PB180120)
推荐传代比例:1:3-1:4
推荐换液频率:2-3次/周
冻存条件:冻存液:50%基础培养基+40%胎牛血清+10%DMSO
温度:液氮
培养条件 :
气相:空气,95%;CO2,5%温度:37℃
背景描述:NCI-H446人小细胞肺癌(通过STR鉴定)是从一位小细胞肺癌患者的胸水中建立的,NCI-H446细胞的原始形态并不具有小细胞肺癌特征。NCI-H446细胞是小细胞肺癌的生化和形态学上的变种,表达神经元特有的烯醇酶和脑部肌酸激酶同功酶。NCI-H446细胞内左旋多巴脱羧酶、蚕素、抗利尿激素、催产素或胃泌激素释放肽未达到可检测水平。C-myc DNA序列扩增约20倍,c-myc RNA比正常细胞增加15倍。最初,传代培养基用RPMI-1640(含5%胎牛血清、10nM氢化可的松、0.005mg/ml胰岛素、0.01mg/
细胞计数
原理:当待测细胞悬液中细胞均匀分布时,通过测定一定体积悬液中的细胞的数目即可换算出每mL细胞悬液中的细胞数量。
操作步骤:
1.将计数板及盖玻片擦拭干净,并将盖玻片盖在计数板上;
2.轻轻吹打细胞悬液,使细胞均匀分布;吸出少许细胞悬液滴在细胞入口,使细胞悬液充满盖玻片和计数板之间,静置1-2min,使细胞沉降;注意盖玻片下不要有气泡,也避免细胞悬液进入旁边的槽中;
3.在显微镜下对A/B/C/D四个大格内的细胞进行计数,压在大格四周边线上的细胞只计数压在2条边线上的细胞(如右侧和下方);若镜下有2个细胞组成的细胞团,则应按单个细胞计算;若细胞团数量较多,占细胞总量的10%左右,则说明细胞分散不好会导致计算不准确,需要重新制备细胞悬液;
4.按公式计数细胞数量:细胞数/mL=四个大格内细胞总数×104/4
(每一个大格的体积为长1mm×宽1mm×高0.1mm=0.1mm3,1mL=1000mm3,因此计算时需×104)
风险提示:丁香通仅作为第三方平台,为商家信息发布提供平台空间。用户咨询产品时请注意保护个人信息及财产安全,合理判断,谨慎选购商品,商家和用户对交易行为负责。对于医疗器械类产品,请先查证核实企业经营资质和医疗器械产品注册证情况。
文献和实验据统计约 30% 细胞系被交叉污染或错误辨识,因使用了交叉污染或错误辨识的细胞而导致研究结论错误、结果不可重复、临床细胞治疗灾难性后果……,这浪费大量时间、精力和金钱。Everything was going along fine until they discovered their HeLa cell line expressed Y chromosome markers因此近年 NIH、ATCC、Nature 和 Science 等对此多次发出呼吁,要求研究者对细胞进行鉴定。STR 基因
、 miRNA靶基因的验证与miRNA靶基因 的预测方法相比,对miRNA靶基因进行实验验证的方法并不多,目前还没有一个快速、简便、高通量的鉴定方法。最直接的鉴定方法是, 利用荧光定量PCR及Westernblot方法分别检测转染或敲低miRNA后细胞中mRNA水平及蛋白水平的变化,从而确定miRNA与靶基因的对应关系。这种方法能够直接鉴定出miRNA的靶基因, 准确度高但不能鉴定miRNA的靶位点。转染或敲低miRNA:方式主要有两种,一种是构建miRNA过表达载体的稳定表达系统,一种是人工合成miRNA
关于如何鉴定收到的新细胞是否有污染,很多站友,特别是新接触细胞培养的站友通常没有太多经验,在此我分享下我这边接收到新细胞后是如何判断是否有污染的。一、肉眼观察以下几项:1. 细胞瓶身:如果瓶身上没有裂缝,正常;如果瓶身上有裂缝,则污染几率非常大。2. 培养基颜色:如果培养基颜色是红色或者粉色,正常;如果是橙色,则可能是污染或者细胞过密;如果是黄色,则污染几率非常大。3. 培养基澄清度:如果培养基澄清,正常;如果有少许漂浮物,则可能是污染或者有细胞凋亡;如果培养基很浑浊,甚至出现絮状物,则污染
技术资料暂无技术资料 索取技术资料









