相关产品推荐更多 >
万千商家帮你免费找货
0 人在求购买到急需产品
- 详细信息
- 文献和实验
- 技术资料
- 品系:
详询
- ATCC Number:
无
- 细胞类型:
人膀胱癌细胞
- 肿瘤类型:
膀胱癌
- 供应商:
上海晅科生物科技有限公司
- 库存:
100
- 英文名:
J82
- 生长状态:
贴壁细胞
- 年限:
详见说明书
- 运输方式:
常温运输/干冰运输
- 器官来源:
男;58岁
- 是否是肿瘤细胞:
是
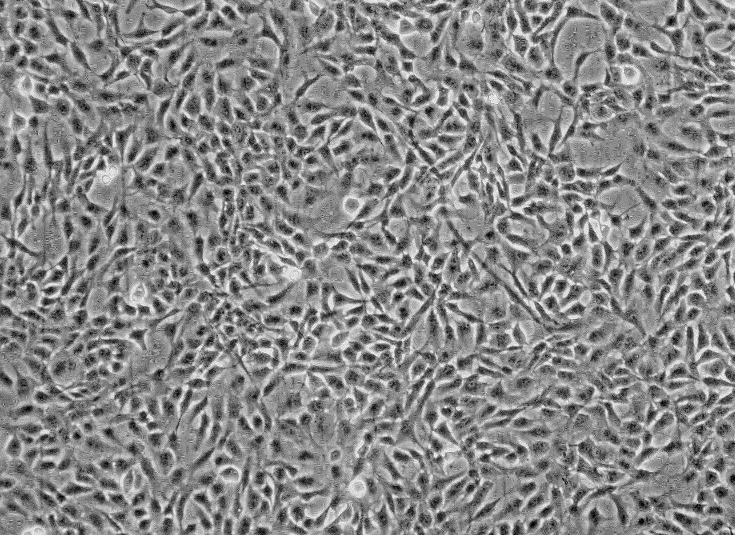
- 细胞形态:
上皮细胞样
- 免疫类型:
详询
- 物种来源:
人
- 相关疾病:
膀胱癌
- 组织来源:
器官:膀胱; 疾病:移行细胞癌
别称:J-82; J 82; J82COT; J82 COT
种属:人
年龄(性别):男;58岁
生长特性:贴壁细胞
细胞形态:上皮细胞样
生长培养基:MEM(PM150410)+10% FBS(164210-500)+1% P/S(PB180120)
推荐传代比例:1:2-1:4
推荐换液频率:2-3次/周
冻存条件:冻存液:50%基础培养基+40%胎牛血清+10%DMSO
温度:液氮
培养条件 :
气相:空气,95%;CO2,5%温度:37℃
背景描述:J82(人膀胱癌细胞) 通过STR鉴定源自一名58岁患有膀胱移行细胞癌的白人男性。J82细胞内无桥粒,有大量粗面内质网及突出绒毛,可表达ras基因。
细胞计数
原理:当待测细胞悬液中细胞均匀分布时,通过测定一定体积悬液中的细胞的数目即可换算出每mL细胞悬液中的细胞数量。
操作步骤:
1.将计数板及盖玻片擦拭干净,并将盖玻片盖在计数板上;
2.轻轻吹打细胞悬液,使细胞均匀分布;吸出少许细胞悬液滴在细胞入口,使细胞悬液充满盖玻片和计数板之间,静置1-2min,使细胞沉降;注意盖玻片下不要有气泡,也避免细胞悬液进入旁边的槽中;
3.在显微镜下对A/B/C/D四个大格内的细胞进行计数,压在大格四周边线上的细胞只计数压在2条边线上的细胞(如右侧和下方);若镜下有2个细胞组成的细胞团,则应按单个细胞计算;若细胞团数量较多,占细胞总量的10%左右,则说明细胞分散不好会导致计算不准确,需要重新制备细胞悬液;
4.按公式计数细胞数量:细胞数/mL=四个大格内细胞总数×104/4
(每一个大格的体积为长1mm×宽1mm×高0.1mm=0.1mm3,1mL=1000mm3,因此计算时需×104)
风险提示:丁香通仅作为第三方平台,为商家信息发布提供平台空间。用户咨询产品时请注意保护个人信息及财产安全,合理判断,谨慎选购商品,商家和用户对交易行为负责。对于医疗器械类产品,请先查证核实企业经营资质和医疗器械产品注册证情况。
文献和实验分离培养出可稳定扩增传代的膀胱癌细胞,该成果发表在 Protein&Cell 上,题为 Continuous culture of urine-derived bladder cancer cells for precision medicine。 该癌细胞的成功分离为膀胱癌早诊早治及晚期患者药敏筛选平台建立提供了基础 [2]。 图片来源:Protein & Cell尿液中脱落细胞的染色鉴定和分离培养虽然具有高特异性但缺乏敏感性,2020 年 10 月 9 日上海长海医院泌尿科徐传亮团队
PNAS:RAS 抑制剂又添一员,新型蛋白模拟物或为癌症治疗
-5 结合到了 Ras 的 Sos 结合位点。图片来源:PNASRas 突变调控细胞对 Sos 蛋白模拟物的摄取和作用Sos 蛋白模拟物对细胞发挥调节作用需要进入细胞内部。活细胞荧光显微镜和流式细胞术显示,Ras 突变的膀胱和肺癌细胞中,细胞显著摄取荧光素标记的 CHDSos-5 进入胞浆。Ras 突变的癌细胞对 CHDSos-5 的摄取增强表明 Sos 蛋白类似物可能对这些细胞有选择性的毒性。基于这一前提,研究团队探索了 CHDSos-5 与 H-Ras 突变型结合的可能性。野生型和 G
一、摘要 目的:建立兔膀胱平滑肌细胞的分离、培养和鉴定的方法。方法:成年新西兰白兔两只(正常及梗阻各一只),采用酶法分离技术获得膀胱平滑肌细胞后于10%小牛血清的DMEM中培养,观察细胞形态和扩增情况,用爬片染色、电镜、蛋白质α-肌动蛋白(α-actin)鉴定细胞类型。结果:倒置显微镜下观察均呈“谷和峰”样结构、细胞爬片HE染色及电镜检查均证实为平滑肌细胞。免疫组化染色检测α-actin呈阳性反应。从细胞爬片HE染色和免疫组化染色检测α-actin呈阳性反应中我们发现该方法所的膀胱平滑
技术资料暂无技术资料 索取技术资料










