相关产品推荐更多 >
万千商家帮你免费找货
0 人在求购买到急需产品
- 详细信息
- 文献和实验
- 技术资料
- 细胞类型:
源性细胞
- 供应商:
江西江蓝纯生物试剂有限公司
- 库存:
69
- 英文名:
NCI-H2126
- 生长状态:
良好
- 年限:
2年
- 运输方式:
常温避光
- 物种来源:
其他
- 规格:
T25
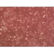
细胞特性:
1)来源:肺癌
2)形态:上皮细胞样,贴壁生长
3)含量:>lxl06 个/mL
4)污染:支原体、细菌、酵母和真菌检测为阴性
5)规格:T25瓶或者lmL冻存管包装
人肺癌细胞(NCI-H2126)运输和保存:使用含有胎牛血清的2ml冻存管发送存活细胞。收到细胞后,可在1000RPM,常温条件下,离心5min后,于洁净操作台弃去上清,加入推荐使用的培养基后转移至l〇cm培养皿或者T25培养瓶中培养,传代达细胞生长状态良时,再进行冻存。具体操作见细胞培养步骤。
细胞用途:仅供科研使用。
细胞培养步骤
1)培养基及培养冻存条件准备:
1.准备 DMEM/F12 培养基,85%;胎牛血清,5%,添加5ug/mL胰岛素,0.01mg/mL转铁蛋白,30nM硒钠,10nM氢化可的松,lOnMe-雌二醇,2mML-谷氨酰胺。
2.培养条件:气相:空气,95%;二氧化碳,5%。温度:37摄氏度,培养箱湿度为70%-80%。
3. 冻存液:90%完全培养基,10%DMSO,现用现配。液氮储存。
2)细胞处理:
复苏细胞:将含有lmL细胞悬液的冻存管在37°C水浴中迅速摇晃解冻,加入4mL培养基混合均匀。在1000RPM条件下离心4分钟,弃去上清液,补加l-2mL培养基后吹匀。然后将所有细胞悬液加入培养瓶中培养过夜(或将细胞悬液加入l〇cm皿中,加入约8ml培养基,培养过夜)。第二天换液并检查细胞密度。细胞传代:如果细胞密度达80%-90%,即可进行传代培养。
人肺癌细胞(NCI-H2126)对于贴壁细胞,传代可参考以下方法:
弃去培养上清,用不含钙、镁离子的PBS润洗细胞1-2次。
力口 2m丨消化液(0.25%Trypsin-0.53mMEDTA)于培养瓶中,置于37°C培养箱中消化1-2分钟,然后在显微镜下观察细胞消化情况,若细胞大部分变圆并脱落,迅速拿回操作台,轻敲几下培养瓶后加少量培养基终止消化。
按6-8ml/瓶补加培养基,轻轻打匀后吸出,在1000RPM条件下离心4分钟,弃去上清液,补加l-2mL培养液后吹匀。将细胞悬液按1: 2到1: 5的比例分到新的含8ml培养基的新皿中或者瓶中。
细胞冻存:待细胞生长状态良时,可进行细胞冻存。贴壁细胞冻存时,弃去培养基后加入少量胰酶,细胞变圆脱落后,加入约lml含血清的培养基后加入冻存管中,再添加1〇%DMSO后进行冻存。
注意事项:
收到细胞后,若发现干冰己挥发干净、冻存管瓶盖脱落、破损及细胞有污染,请立即与我们联系。
所有动物细胞均视为有潜在的生物危害性,必须在二级生物安全台内操作,并请注意防护,所有废液及接触过此细胞的器皿需要灭菌后方能丢弃。
风险提示:丁香通仅作为第三方平台,为商家信息发布提供平台空间。用户咨询产品时请注意保护个人信息及财产安全,合理判断,谨慎选购商品,商家和用户对交易行为负责。对于医疗器械类产品,请先查证核实企业经营资质和医疗器械产品注册证情况。
文献和实验littleyan0418 我现在的任务是要构建人肺癌细胞的cDNA文库,但我不是这个方面科班出身,好多地方还不是很明白,想请教师兄师姐的经验,应该注意些什么。现在对总RNA的提取我有点找不出头绪。麻烦师兄师姐们可以给我分享些这方面的资料和网址吗?非常感谢!! neuronboy http://www.takara.com.cn/ 价格、试剂盒和说明书都有。呵呵 littleyan0418
我培养过不少肺癌细胞(人类),其中绝大部分都是贴壁细胞,具体如: (1) A549(肺腺癌) (2) NCIH446(小肺细胞癌) (3) 801(非小肺细胞癌) (4) NCIH460 (大细胞肺癌) 在消化传代过程中,步骤基本一致: 吸去旧的培养液->用Hanks'(1X)清洗一两次->加入一定量的消化液(Trpsin-EDTA)->置显微镜下观察,待细胞大部分变圆时,回到超静台->吸去消化液->加入一定量的新培养液->反复吹打细胞->再置显微镜下观察,直到细胞全部悬浮起来->
所需的D-HANK'S液和胰酶和用1640配置的适当浓度小牛血清最好都放在37度预热十分钟左右,让它们和细胞生长环境的温度是一样的。这样能达到既对细胞没有外来刺激的作用又能达到反应的最佳条件。我用的是小培养瓶,方法是:先把旧的培养液倒掉,用D-HANK'S大约3ml洗一次,加浓度为0.1%的胰酶进行消化,添加量只要能均匀的覆盖培养瓶底,大约要1.5ml,最好把瓶盖旋紧放到37度培养箱里培养3-5分钟,在显微镜下观察细胞收缩,变圆,加入3ml的10%的血清终止消化。小心仔细的吹打培养瓶底使细胞
技术资料暂无技术资料 索取技术资料










