万千商家帮你免费找货
0 人在求购买到急需产品
- 详细信息
- 文献和实验
- 技术资料
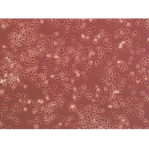
- 细胞类型:
原代细胞
- 供应商:
江西江蓝纯生物试剂有限公司
- 库存:
59
- 生长状态:
良好
- 年限:
2年
- 运输方式:
常温避光
- 物种来源:
兔
- 规格:
>5×105细胞数
细胞详述:
脾是重要的淋巴器官,有造血、滤血、清除衰老血细胞及参与免疫反应等功能。也是淋巴细胞迁移和接受抗原刺激后发生免疫应到、产生免疫效应分子的重要场所。脾基质细胞是脾脏中结缔组织细胞,起到为脾脏中实质细胞提供支持和营养的作用。
使用兔原代脾基质细胞:
1)本产品仅能用于科研
2)本产品未通过直接用于活体动物和人的审核
3)本产品未通过用于活体诊断的审核
细胞特性:
1)组织来源于实验动物的正常脾脏组织。
2)细胞鉴定:波形蛋白(Vimentin)免疫荧光染色为阳性。
3)经鉴定细胞纯度高于90%。
4)不含有 HIV-1、 HBV、HCV、支原体、细菌、酵母和真菌。
5)兔原代脾基质细胞生长方式:长梭形细胞,不规则细胞,贴壁培养。
产品兔原代脾基质细胞的运输和保存:
视天气状况和运输距离远近,公司与客户协商后选择下述方式中的一种进行。
1)1mL冻存细胞悬液装于1.8ml的冻存管中,置于装满干冰的泡沫保温盒中进行运输;收到细胞后请尽快解冻复苏细胞进行培养,如无法立刻进行复苏操作,冻存细胞可在-80℃的条件下保存1个月。
2)T-25培养瓶充满完全培养基后进行常温运输;收到细胞后请镜下观察细胞生长状态,如铺瓶率超过85%请立即进行传代操作,如悬浮的细胞较多,请将培养瓶至于培养箱中静置过夜以帮助未死亡的悬浮细胞能够再次贴壁。
风险提示:丁香通仅作为第三方平台,为商家信息发布提供平台空间。用户咨询产品时请注意保护个人信息及财产安全,合理判断,谨慎选购商品,商家和用户对交易行为负责。对于医疗器械类产品,请先查证核实企业经营资质和医疗器械产品注册证情况。
文献和实验二氧化碳孵箱 Farma Scientific美国 低温冰箱 Farma Scientific美国 倒置相差显微镜 Nikon 日本 细胞培养皿35Ф Corning 美国 6孔、96孔培养板 Corning 美国 2.方法 2.1原代细胞培养:于髓内钉内固定术扩髓前,用肝素化后的注射器抽取3-5ml骨髓,置入预装有DMEM培养液的无菌50ml离心管带至实验室。1000rpm离心10分钟弃上层脂肪,取沉淀细胞加入
我曾经做过原代培养的成骨细胞传代和骨髓基质细胞以及cos7细胞的传代。基本的操作过程都是:倒掉或者吸掉培养基37度预温的PBS洗涤细胞3次加入浓度为0.1%的胰酶和0.05%EDTA进行消化,添加的量看所用的培养瓶大小,可以在室温下消化,也可以在37度进行消化在显微镜下观察,等细胞成片脱离时,加入3毫升含血清培养基中止消化将细胞悬液转移到离心管中1000rpm离心5分钟收集细胞弃上清,再加入5毫升含血清培养基重悬细胞,再同样转速和时间离心一次弃上清,根据实际需要添加适量培养基重悬
实验材料: 1. 正常兔晶状体组织; 2. 不含Ca 2+ 和Mg 2+ 的1×PBS,添加200000IU/L青霉素、200mg/L链霉素,pH7.2; 3. 注射器; 4. 培养器具:培养瓶或皿( 用多聚赖氨酸包被)、眼科剪、镊子等; 培养方法: 1. 空气注射处死大兔,在无菌条件下清除巩膜外肌肉及结缔组织后将眼球浸入含双抗的1×PBS(pH7. 2 )浸泡5min ,移入超净工作台内; 2. 用含双抗的1×PBS(pH7. 2 )冲洗 组织
技术资料暂无技术资料 索取技术资料









